> Antigen, Antibodies, ELISA, Western Blot > Primary Antibody > Polyclonal Antibodies > COLEC11 Polyclonal AntibodyBrand |
Leading Biology | Catalog Number |
APR25637N |
Product Type |
Polyclonal Antibodies | Field of Research |
|
Product Overview |
We constantly strive to ensure we provide our customers with the best antibodies. As a result of this work we offer this antibody in purified format.
We are in the process of updating our datasheets. If you have any questions regarding this update, please feel free to contact our technical support team.
This product is a high quality COLEC11 Polyclonal Antibody.
|
||
Molecular Weight |
Calculated MW:
21kDa/23kDa/24kDa/26kDa/28kDa/29kDa/30kDa
Observed MW:
35kDa
|
||
Species Reactivity |
Rabbit
|
||
Immunogen |
Recombinant fusion protein of human COLEC11 (NP_076932.1).
|
||
Cross Reactivity |
Human,Mouse,Rat
|
||
Isotype |
IgG
|
||
GeneID |
|||
UniProt ID |
|||
Purity |
Affinity purification |
||
Storage & Stability |
Store at +4°C short term. For long-term storage, aliquot and store at -20°C or below. Stable for 12 months at -20°C. Avoid repeated freeze-thaw cycles.
|
||
Storage Buffer |
Buffer: PBS with 50% glycerol, pH7.3.
|
||
Applications |
WB,IHC
|
||
Dilution |
WB 1:200 - 1:2000
IHC 1:50 - 1:100
|
||
Product Description |
This gene encodes a member of the collectin family of C-type lectins that possess collagen-like sequences and carbohydrate recognition domains. Collectins are secreted proteins that play important roles in the innate immune system by binding to carbohydrate antigens on microorganisms, facilitating their recognition and removal. The encoded protein binds to multiple sugars with a preference for fucose and mannose. Mutations in this gene are a cause of 3MC syndrome-2. Alternatively spliced transcript variants encoding multiple isoforms have been observed for this gene.
|
||
Synonyms |
COLEC11; 3MC2; CL-K1-I; CL-K1-II; CL-K1-IIa; CL-K1-IIb; CLK1; collectin-11
|
||
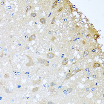
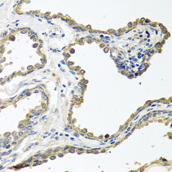
Images |
Western blot analysis of extracts of various cell lines, using COLEC11 antibody.
Immunohistochemistry of paraffin-embedded rat brain using COLEC11 antibody.
Immunohistochemistry of paraffin-embedded human prostate using COLEC11 antibody. |
||
Specification |
|||
Quantity |
|
||
| Select | Brand | Catalog No. | Product Name | Pack Size | Type | Field of Research | Specification | Quantity | Price(USD) | |
| 1 | Leading Biology | APR03440G | ITGA11 Antibody (N-term) | 100 μl | Polyclonal Antibodies |
|
$495.00 | Add Ask | ||
| 2 | Leading Biology | APR04537G | CMIP Antibody (C-term) | 100 μl | Polyclonal Antibodies |
|
$495.00 | Add Ask | ||
| 3 | Leading Biology | APR12422G | Human H4 Histamine Receptor (extracellular) Antibody | 50 μl | Polyclonal Antibodies |
|
$695.00 | Add Ask | ||
| 4 | Leading Biology | APR03844G | UBE2W Antibody (C-term) | 100 μl | Polyclonal Antibodies |
|
$495.00 | Add Ask | ||
| 5 | Leading Biology | APR04349G | HECTD2 Antibody (N-term) | 100 μl | Polyclonal Antibodies |
|
$495.00 | Add Ask | ||
| 6 | Leading Biology | APR03502G | IGHG1 Antibody (Center) | 100 μl | Polyclonal Antibodies |
|
$495.00 | Add Ask |
Leading Biology Inc.
2600 Hilltop DR, Building G, B Suite C138
Richmond, CA, 94806
Tel: 1-661-524(LBI)-0262
Email: info@leadingbiology.com
Complete this form and click send to ask us a question, request a quote or simply say hello.

You have 0 item in your cart

You have 0 item in your inquiry list