> Antigen, Antibodies, ELISA, Western Blot > Primary Antibody > Polyclonal Antibodies > C1GALT1 Polyclonal AntibodyBrand |
Leading Biology | Catalog Number |
APR19478N |
Product Type |
Polyclonal Antibodies | Field of Research |
Cardiovascular>Angiogenesis |
Product Overview |
We constantly strive to ensure we provide our customers with the best antibodies. As a result of this work we offer this antibody in purified format.
We are in the process of updating our datasheets. If you have any questions regarding this update, please feel free to contact our technical support team.
This product is a high quality C1GALT1 Polyclonal Antibody.
|
||
Molecular Weight |
Calculated MW:
35kDa/42kDa
Observed MW:
42kDa
|
||
Species Reactivity |
Rabbit
|
||
Immunogen |
Recombinant fusion protein of human C1GALT1 (NP_064541.1).
|
||
Cross Reactivity |
Human,Mouse
|
||
Isotype |
IgG
|
||
GeneID |
|||
UniProt ID |
|||
Purity |
Affinity purification |
||
Storage & Stability |
Store at +4°C short term. For long-term storage, aliquot and store at -20°C or below. Stable for 12 months at -20°C. Avoid repeated freeze-thaw cycles.
|
||
Storage Buffer |
Buffer: PBS with 50% glycerol, pH7.3.
|
||
Applications |
WB,IHC
|
||
Dilution |
WB 1:500 - 1:2000
IHC 1:50 - 1:100
|
||
Product Description |
The protein encoded by this gene generates the common core 1 O-glycan structure, Gal-beta-1-3GalNAc-R, by the transfer of Gal from UDP-Gal to GalNAc-alpha-1-R. Core 1 is a precursor for many extended mucin-type O-glycans on cell surface and secreted glycoproteins. Studies in mice suggest that this gene plays a key role in thrombopoiesis and kidney homeostasis.
|
||
Synonyms |
C1GALT1; C1GALT; T-synthase; glycoprotein-N-acetylgalactosamine 3-beta-galactosyltransferase 1
|
||
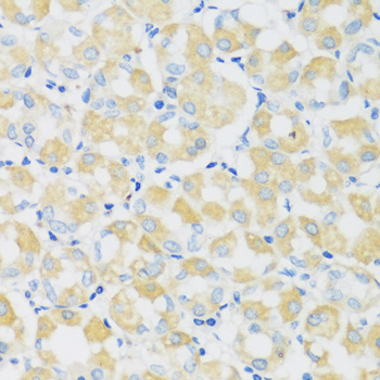
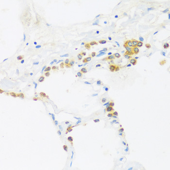
Images |
Western blot analysis of extracts of mouse kidney, using C1GALT1 antibody.
Immunohistochemistry of paraffin-embedded human lung using C1GALT1 antibody.
Immunohistochemistry of paraffin-embedded human stomach using C1GALT1 antibody. |
||
Specification |
|||
Quantity |
|
||
| Select | Brand | Catalog No. | Product Name | Pack Size | Type | Field of Research | Specification | Quantity | Price(USD) | |
| 1 | Leading Biology | APR03440G | ITGA11 Antibody (N-term) | 100 μl | Polyclonal Antibodies |
|
$495.00 | Add Ask | ||
| 2 | Leading Biology | APR04537G | CMIP Antibody (C-term) | 100 μl | Polyclonal Antibodies |
|
$495.00 | Add Ask | ||
| 3 | Leading Biology | APR12422G | Human H4 Histamine Receptor (extracellular) Antibody | 50 μl | Polyclonal Antibodies |
|
$695.00 | Add Ask | ||
| 4 | Leading Biology | APR03844G | UBE2W Antibody (C-term) | 100 μl | Polyclonal Antibodies |
|
$495.00 | Add Ask | ||
| 5 | Leading Biology | APR04349G | HECTD2 Antibody (N-term) | 100 μl | Polyclonal Antibodies |
|
$495.00 | Add Ask | ||
| 6 | Leading Biology | APR03502G | IGHG1 Antibody (Center) | 100 μl | Polyclonal Antibodies |
|
$495.00 | Add Ask |
Leading Biology Inc.
2600 Hilltop DR, Building G, B Suite C138
Richmond, CA, 94806
Tel: 1-661-524(LBI)-0262
Email: info@leadingbiology.com
Complete this form and click send to ask us a question, request a quote or simply say hello.

You have 0 item in your cart

You have 0 item in your inquiry list