> Antigen, Antibodies, ELISA, Western Blot > Primary Antibody > Polyclonal Antibodies > TRPC1 Polyclonal AntibodyBrand |
Leading Biology | Catalog Number |
APR28791N |
Product Type |
Polyclonal Antibodies | Field of Research |
Neuroscience>Calcium Signaling |
Product Overview |
We constantly strive to ensure we provide our customers with the best antibodies. As a result of this work we offer this antibody in purified format.
We are in the process of updating our datasheets. If you have any questions regarding this update, please feel free to contact our technical support team.
This product is a high quality TRPC1 Polyclonal Antibody.
|
||
Molecular Weight |
Calculated MW:
87kDa/91kDa
Observed MW:
85kDa
|
||
Species Reactivity |
Rabbit
|
||
Immunogen |
A synthetic peptide of human TRPC1 (NP_001238774.1).
|
||
Cross Reactivity |
Human,Mouse,Rat
|
||
Isotype |
IgG
|
||
GeneID |
|||
UniProt ID |
|||
Purity |
Affinity purification |
||
Storage & Stability |
Store at +4°C short term. For long-term storage, aliquot and store at -20°C or below. Stable for 12 months at -20°C. Avoid repeated freeze-thaw cycles.
|
||
Storage Buffer |
Buffer: PBS with 50% glycerol, pH7.3.
|
||
Applications |
WB,IHC
|
||
Dilution |
WB 1:500 - 1:2000
IHC 1:50 - 1:200
|
||
Product Description |
The protein encoded by this gene is a membrane protein that can form a non-selective channel permeable to calcium and other cations. The encoded protein appears to be induced to form channels by a receptor tyrosine kinase-activated phosphatidylinositol second messenger system and also by depletion of intracellular calcium stores. Two transcript variants encoding different isoforms have been found for this gene.
|
||
Synonyms |
TRPC1; HTRP-1; TRP1; short transient receptor potential channel 1
|
||
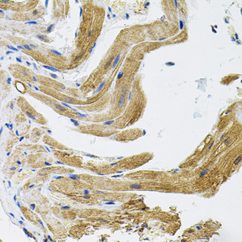
Images |
Western blot analysis of extracts of various cell lines, using TRPC1 antibody.
Immunohistochemistry of paraffin-embedded mouse heart using TRPC1 antibody.
Immunohistochemistry of paraffin-embedded rat brain using TRPC1 antibody. |
||
Specification |
|||
Quantity |
|
||
| Select | Brand | Catalog No. | Product Name | Pack Size | Type | Field of Research | Specification | Quantity | Price(USD) | |
| 1 | Leading Biology | APR03440G | ITGA11 Antibody (N-term) | 100 μl | Polyclonal Antibodies |
|
$495.00 | Add Ask | ||
| 2 | Leading Biology | APR04537G | CMIP Antibody (C-term) | 100 μl | Polyclonal Antibodies |
|
$495.00 | Add Ask | ||
| 3 | Leading Biology | APR12422G | Human H4 Histamine Receptor (extracellular) Antibody | 50 μl | Polyclonal Antibodies |
|
$695.00 | Add Ask | ||
| 4 | Leading Biology | APR03844G | UBE2W Antibody (C-term) | 100 μl | Polyclonal Antibodies |
|
$495.00 | Add Ask | ||
| 5 | Leading Biology | APR04349G | HECTD2 Antibody (N-term) | 100 μl | Polyclonal Antibodies |
|
$495.00 | Add Ask | ||
| 6 | Leading Biology | APR03502G | IGHG1 Antibody (Center) | 100 μl | Polyclonal Antibodies |
|
$495.00 | Add Ask |
Leading Biology Inc.
2600 Hilltop DR, Building G, B Suite C138
Richmond, CA, 94806
Tel: 1-661-524(LBI)-0262
Email: info@leadingbiology.com
Complete this form and click send to ask us a question, request a quote or simply say hello.

You have 0 item in your cart

You have 0 item in your inquiry list