> Antigen, Antibodies, ELISA, Western Blot > Primary Antibody > Polyclonal Antibodies > COL9A3 Polyclonal AntibodyBrand |
Leading Biology | Catalog Number |
APR28665N |
Product Type |
Polyclonal Antibodies | Field of Research |
Cell Biology & Developmental Biology>Cytoskeleton |
Product Overview |
We constantly strive to ensure we provide our customers with the best antibodies. As a result of this work we offer this antibody in purified format.
We are in the process of updating our datasheets. If you have any questions regarding this update, please feel free to contact our technical support team.
This product is a high quality COL9A3 Polyclonal Antibody.
|
||
Molecular Weight |
Calculated MW:
63kDa
Observed MW:
_
|
||
Species Reactivity |
Rabbit
|
||
Immunogen |
Recombinant fusion protein of human COL9A3 (NP_001844.3).
|
||
Cross Reactivity |
Mouse
|
||
Isotype |
IgG
|
||
GeneID |
|||
UniProt ID |
|||
Purity |
Affinity purification |
||
Storage & Stability |
Store at +4°C short term. For long-term storage, aliquot and store at -20°C or below. Stable for 12 months at -20°C. Avoid repeated freeze-thaw cycles.
|
||
Storage Buffer |
Buffer: PBS with 50% glycerol, pH7.3.
|
||
Applications |
IHC
|
||
Dilution |
IHC 1:100 - 1:200
|
||
Product Description |
This gene encodes one of the three alpha chains of type IX collagen, the major collagen component of hyaline cartilage. Type IX collagen, a heterotrimeric molecule, is usually found in tissues containing type II collagen, a fibrillar collagen. Mutations in this gene are associated with multiple epiphyseal dysplasia type 3.
|
||
Synonyms |
COL9A3; DJ885L7.4.1; EDM3; IDD; MED; collagen alpha-3(IX) chain
|
||
Images |
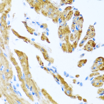
Immunohistochemistry of paraffin-embedded mouse heart using COL9A3 antibody. |
||
Specification |
|||
Quantity |
|
||
| Select | Brand | Catalog No. | Product Name | Pack Size | Type | Field of Research | Specification | Quantity | Price(USD) | |
| 1 | Leading Biology | APR03440G | ITGA11 Antibody (N-term) | 100 μl | Polyclonal Antibodies |
|
$495.00 | Add Ask | ||
| 2 | Leading Biology | APR04537G | CMIP Antibody (C-term) | 100 μl | Polyclonal Antibodies |
|
$495.00 | Add Ask | ||
| 3 | Leading Biology | APR12422G | Human H4 Histamine Receptor (extracellular) Antibody | 50 μl | Polyclonal Antibodies |
|
$695.00 | Add Ask | ||
| 4 | Leading Biology | APR03844G | UBE2W Antibody (C-term) | 100 μl | Polyclonal Antibodies |
|
$495.00 | Add Ask | ||
| 5 | Leading Biology | APR04349G | HECTD2 Antibody (N-term) | 100 μl | Polyclonal Antibodies |
|
$495.00 | Add Ask | ||
| 6 | Leading Biology | APR03502G | IGHG1 Antibody (Center) | 100 μl | Polyclonal Antibodies |
|
$495.00 | Add Ask |
Leading Biology Inc.
2600 Hilltop DR, Building G, B Suite C138
Richmond, CA, 94806
Tel: 1-661-524(LBI)-0262
Email: info@leadingbiology.com
Complete this form and click send to ask us a question, request a quote or simply say hello.

You have 0 item in your cart

You have 0 item in your inquiry list