> Antigen, Antibodies, ELISA, Western Blot > Primary Antibody > Polyclonal Antibodies > GABPA Polyclonal AntibodyBrand |
Leading Biology | Catalog Number |
APR28206N |
Product Type |
Polyclonal Antibodies | Field of Research |
Epigenetics & Nuclear Signaling>Transcription Factors |
Product Overview |
We constantly strive to ensure we provide our customers with the best antibodies. As a result of this work we offer this antibody in purified format.
We are in the process of updating our datasheets. If you have any questions regarding this update, please feel free to contact our technical support team.
This product is a high quality GABPA Polyclonal Antibody.
|
||
Molecular Weight |
Calculated MW:
51kDa
Observed MW:
56kDa
|
||
Species Reactivity |
Rabbit
|
||
Immunogen |
Recombinant fusion protein of human GABPA (NP_002031.2).
|
||
Cross Reactivity |
Human,Mouse,Rat
|
||
Isotype |
IgG
|
||
GeneID |
|||
UniProt ID |
|||
Purity |
Affinity purification |
||
Storage & Stability |
Store at +4°C short term. For long-term storage, aliquot and store at -20°C or below. Stable for 12 months at -20°C. Avoid repeated freeze-thaw cycles.
|
||
Storage Buffer |
Buffer: PBS with 50% glycerol, pH7.3.
|
||
Applications |
WB,IHC,IF
|
||
Dilution |
WB 1:500 - 1:2000
IHC 1:50 - 1:200
IF 1:50 - 1:200
|
||
Product Description |
This gene encodes one of three GA-binding protein transcription factor subunits which functions as a DNA-binding subunit. Since this subunit shares identity with a subunit encoding the nuclear respiratory factor 2 gene, it is likely involved in activation of cytochrome oxidase expression and nuclear control of mitochondrial function. This subunit also shares identity with a subunit constituting the transcription factor E4TF1, responsible for expression of the adenovirus E4 gene. Because of its chromosomal localization and ability to form heterodimers with other polypeptides, this gene may play a role in the Down Syndrome phenotype. Two transcript variants encoding the same protein have been found for this gene.
|
||
Synonyms |
GABPA; E4TF1-60; E4TF1A; NFT2; NRF2; NRF2A; RCH04A07; GA-binding protein alpha chain
|
||
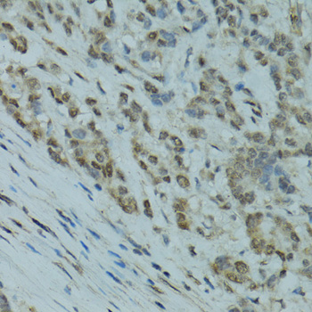
Images |
Western blot analysis of extracts of various cell lines, using GABPA antibody.
Immunohistochemistry of paraffin-embedded human uterine cancer using GABPA antibody.
Immunohistochemistry of paraffin-embedded human colon carcinoma using GABPA antibody. |
||
Specification |
|||
Quantity |
|
||
| Select | Brand | Catalog No. | Product Name | Pack Size | Type | Field of Research | Specification | Quantity | Price(USD) | |
| 1 | Leading Biology | APR03440G | ITGA11 Antibody (N-term) | 100 μl | Polyclonal Antibodies |
|
$495.00 | Add Ask | ||
| 2 | Leading Biology | APR04537G | CMIP Antibody (C-term) | 100 μl | Polyclonal Antibodies |
|
$495.00 | Add Ask | ||
| 3 | Leading Biology | APR12422G | Human H4 Histamine Receptor (extracellular) Antibody | 50 μl | Polyclonal Antibodies |
|
$695.00 | Add Ask | ||
| 4 | Leading Biology | APR03844G | UBE2W Antibody (C-term) | 100 μl | Polyclonal Antibodies |
|
$495.00 | Add Ask | ||
| 5 | Leading Biology | APR04349G | HECTD2 Antibody (N-term) | 100 μl | Polyclonal Antibodies |
|
$495.00 | Add Ask | ||
| 6 | Leading Biology | APR03502G | IGHG1 Antibody (Center) | 100 μl | Polyclonal Antibodies |
|
$495.00 | Add Ask |
Leading Biology Inc.
2600 Hilltop DR, Building G, B Suite C138
Richmond, CA, 94806
Tel: 1-661-524(LBI)-0262
Email: info@leadingbiology.com
Complete this form and click send to ask us a question, request a quote or simply say hello.

You have 0 item in your cart

You have 0 item in your inquiry list