> Antigen, Antibodies, ELISA, Western Blot > Primary Antibody > Polyclonal Antibodies > XPC Polyclonal AntibodyBrand |
Leading Biology | Catalog Number |
APR28144N |
Product Type |
Polyclonal Antibodies | Field of Research |
Epigenetics & Nuclear Signaling>DNA Damage & Repair |
Product Overview |
We constantly strive to ensure we provide our customers with the best antibodies. As a result of this work we offer this antibody in purified format.
We are in the process of updating our datasheets. If you have any questions regarding this update, please feel free to contact our technical support team.
This product is a high quality XPC Polyclonal Antibody.
|
||
Molecular Weight |
Calculated MW:
15kDa/101kDa/105kDa
Observed MW:
130kDa
|
||
Species Reactivity |
Rabbit
|
||
Immunogen |
Recombinant fusion protein of human XPC (NP_004619.3).
|
||
Cross Reactivity |
Human
|
||
Isotype |
IgG
|
||
GeneID |
|||
UniProt ID |
|||
Purity |
Affinity purification |
||
Storage & Stability |
Store at +4°C short term. For long-term storage, aliquot and store at -20°C or below. Stable for 12 months at -20°C. Avoid repeated freeze-thaw cycles.
|
||
Storage Buffer |
Buffer: PBS with 50% glycerol, pH7.3.
|
||
Applications |
WB,IHC,IP
|
||
Dilution |
WB 1:500 - 1:2000
IHC 1:50 - 1:100
IP 1:50 - 1:100
|
||
Product Description |
This gene encodes a component of the nucleotide excision repair (NER) pathway. There are multiple components involved in the NER pathway, including Xeroderma pigmentosum (XP) A-G and V, Cockayne syndrome (CS) A and B, and trichothiodystrophy (TTD) group A, etc. This component, XPC, plays an important role in the early steps of global genome NER, especially in damage recognition, open complex formation, and repair protein complex formation. Mutations in this gene or some other NER components result in Xeroderma pigmentosum, a rare autosomal recessive disorder characterized by increased sensitivity to sunlight with the development of carcinomas at an early age. Alternatively spliced transcript variants have been found for this gene.
|
||
Synonyms |
XPC; RAD4; XP3; XPCC; p125; DNA repair protein complementing XP-C cells
|
||
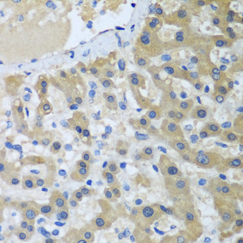
Images |
Western blot analysis of extracts of various cell lines, using XPC antibody.
Immunohistochemistry of paraffin-embedded human liver cancer using XPC antibody. |
||
Specification |
|||
Quantity |
|
||
| Select | Brand | Catalog No. | Product Name | Pack Size | Type | Field of Research | Specification | Quantity | Price(USD) | |
| 1 | Leading Biology | APR03440G | ITGA11 Antibody (N-term) | 100 μl | Polyclonal Antibodies |
|
$495.00 | Add Ask | ||
| 2 | Leading Biology | APR04537G | CMIP Antibody (C-term) | 100 μl | Polyclonal Antibodies |
|
$495.00 | Add Ask | ||
| 3 | Leading Biology | APR12422G | Human H4 Histamine Receptor (extracellular) Antibody | 50 μl | Polyclonal Antibodies |
|
$695.00 | Add Ask | ||
| 4 | Leading Biology | APR03844G | UBE2W Antibody (C-term) | 100 μl | Polyclonal Antibodies |
|
$495.00 | Add Ask | ||
| 5 | Leading Biology | APR04349G | HECTD2 Antibody (N-term) | 100 μl | Polyclonal Antibodies |
|
$495.00 | Add Ask | ||
| 6 | Leading Biology | APR03502G | IGHG1 Antibody (Center) | 100 μl | Polyclonal Antibodies |
|
$495.00 | Add Ask |
Leading Biology Inc.
2600 Hilltop DR, Building G, B Suite C138
Richmond, CA, 94806
Tel: 1-661-524(LBI)-0262
Email: info@leadingbiology.com
Complete this form and click send to ask us a question, request a quote or simply say hello.

You have 0 item in your cart

You have 0 item in your inquiry list