> Antigen, Antibodies, ELISA, Western Blot > Primary Antibody > Polyclonal Antibodies > ARFGAP3 Polyclonal AntibodyBrand |
Leading Biology | Catalog Number |
APR28037N |
Product Type |
Polyclonal Antibodies | Field of Research |
|
Product Overview |
We constantly strive to ensure we provide our customers with the best antibodies. As a result of this work we offer this antibody in purified format.
We are in the process of updating our datasheets. If you have any questions regarding this update, please feel free to contact our technical support team.
This product is a high quality ARFGAP3 Polyclonal Antibody.
|
||
Molecular Weight |
Calculated MW:
51kDa/56kDa
Observed MW:
57kDa
|
||
Species Reactivity |
Rabbit
|
||
Immunogen |
Recombinant fusion protein of human ARFGAP3 (NP_055385.3).
|
||
Cross Reactivity |
Human,Mouse
|
||
Isotype |
IgG
|
||
GeneID |
|||
UniProt ID |
|||
Purity |
Affinity purification |
||
Storage & Stability |
Store at +4°C short term. For long-term storage, aliquot and store at -20°C or below. Stable for 12 months at -20°C. Avoid repeated freeze-thaw cycles.
|
||
Storage Buffer |
Buffer: PBS with 50% glycerol, pH7.3.
|
||
Applications |
WB,IHC
|
||
Dilution |
WB 1:500 - 1:2000
IHC 1:50 - 1:100
|
||
Product Description |
The protein encoded by this gene is a GTPase-activating protein (GAP) that associates with the Golgi apparatus and regulates the early secretory pathway of proteins. The encoded protein promotes hydrolysis of ADP-ribosylation factor 1 (ARF1)-bound GTP, which is required for the dissociation of coat proteins from Golgi-derived membranes and vesicles. Dissociation of the coat proteins is a prerequisite for the fusion of these vesicles with target compartments. The activity of this protein is sensitive to phospholipids. Multiple transcript variants encoding different isoforms have been found for this gene. This gene was originally known as ARFGAP1, but that is now the name of a related but different gene.
|
||
Synonyms |
ARFGAP3; ARFGAP1; ADP-ribosylation factor GTPase-activating protein 3
|
||
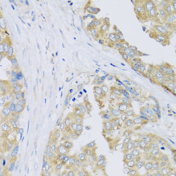
Images |
Western blot analysis of extracts of various cell lines, using ARFGAP3 antibody.
Immunohistochemistry of paraffin-embedded mouse stomach using ARFGAP3 antibody.
Immunohistochemistry of paraffin-embedded human liver cancer using ARFGAP3 antibody. |
||
Specification |
|||
Quantity |
|
||
| Select | Brand | Catalog No. | Product Name | Pack Size | Type | Field of Research | Specification | Quantity | Price(USD) | |
| 1 | Leading Biology | APR03440G | ITGA11 Antibody (N-term) | 100 μl | Polyclonal Antibodies |
|
$495.00 | Add Ask | ||
| 2 | Leading Biology | APR04537G | CMIP Antibody (C-term) | 100 μl | Polyclonal Antibodies |
|
$495.00 | Add Ask | ||
| 3 | Leading Biology | APR12422G | Human H4 Histamine Receptor (extracellular) Antibody | 50 μl | Polyclonal Antibodies |
|
$695.00 | Add Ask | ||
| 4 | Leading Biology | APR03844G | UBE2W Antibody (C-term) | 100 μl | Polyclonal Antibodies |
|
$495.00 | Add Ask | ||
| 5 | Leading Biology | APR04349G | HECTD2 Antibody (N-term) | 100 μl | Polyclonal Antibodies |
|
$495.00 | Add Ask | ||
| 6 | Leading Biology | APR03502G | IGHG1 Antibody (Center) | 100 μl | Polyclonal Antibodies |
|
$495.00 | Add Ask |
Leading Biology Inc.
2600 Hilltop DR, Building G, B Suite C138
Richmond, CA, 94806
Tel: 1-661-524(LBI)-0262
Email: info@leadingbiology.com
Complete this form and click send to ask us a question, request a quote or simply say hello.

You have 0 item in your cart

You have 0 item in your inquiry list