> Antigen, Antibodies, ELISA, Western Blot > Primary Antibody > Polyclonal Antibodies > STX16 Polyclonal AntibodyBrand |
Leading Biology | Catalog Number |
APR28010N |
Product Type |
Polyclonal Antibodies | Field of Research |
|
Product Overview |
We constantly strive to ensure we provide our customers with the best antibodies. As a result of this work we offer this antibody in purified format.
We are in the process of updating our datasheets. If you have any questions regarding this update, please feel free to contact our technical support team.
This product is a high quality STX16 Polyclonal Antibody.
|
||
Molecular Weight |
Calculated MW:
13kDa/31kDa/34kDa/35kDa/36kDa/37kDa
Observed MW:
44kDa
|
||
Species Reactivity |
Rabbit
|
||
Immunogen |
Recombinant fusion protein of human STX16 (NP_001128244.1).
|
||
Cross Reactivity |
Human,Mouse
|
||
Isotype |
IgG
|
||
GeneID |
|||
UniProt ID |
|||
Purity |
Affinity purification |
||
Storage & Stability |
Store at +4°C short term. For long-term storage, aliquot and store at -20°C or below. Stable for 12 months at -20°C. Avoid repeated freeze-thaw cycles.
|
||
Storage Buffer |
Buffer: PBS with 50% glycerol, pH7.3.
|
||
Applications |
WB,IHC
|
||
Dilution |
WB 1:500 - 1:2000
IHC 1:50 - 1:100
|
||
Product Description |
This gene encodes a protein that is a member of the syntaxin or t-SNARE (target-SNAP receptor) family. These proteins are found on cell membranes and serve as the targets for V-SNARES (vesicle-SNAP receptors) permitting specific synaptic vesicle docking and fusion. A microdeletion in the region of chromosome 20 where this gene is located has been associated with pseudohypoparathyroidism type Ib. Multiple transcript variants have been found for this gene. Read-through transcription also exists between this gene and the neighboring downstream aminopeptidase-like 1 (NPEPL1) gene.
|
||
Synonyms |
STX16; SYN16; syntaxin-16
|
||
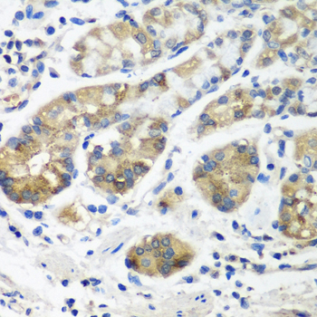
Images |
Western blot analysis of extracts of various cell lines, using STX16 antibody.
Immunohistochemistry of paraffin-embedded human stomach using STX16 antibody. |
||
Specification |
|||
Quantity |
|
||
| Select | Brand | Catalog No. | Product Name | Pack Size | Type | Field of Research | Specification | Quantity | Price(USD) | |
| 1 | Leading Biology | APR03440G | ITGA11 Antibody (N-term) | 100 μl | Polyclonal Antibodies |
|
$495.00 | Add Ask | ||
| 2 | Leading Biology | APR04537G | CMIP Antibody (C-term) | 100 μl | Polyclonal Antibodies |
|
$495.00 | Add Ask | ||
| 3 | Leading Biology | APR12422G | Human H4 Histamine Receptor (extracellular) Antibody | 50 μl | Polyclonal Antibodies |
|
$695.00 | Add Ask | ||
| 4 | Leading Biology | APR03844G | UBE2W Antibody (C-term) | 100 μl | Polyclonal Antibodies |
|
$495.00 | Add Ask | ||
| 5 | Leading Biology | APR04349G | HECTD2 Antibody (N-term) | 100 μl | Polyclonal Antibodies |
|
$495.00 | Add Ask | ||
| 6 | Leading Biology | APR03502G | IGHG1 Antibody (Center) | 100 μl | Polyclonal Antibodies |
|
$495.00 | Add Ask |
Leading Biology Inc.
2600 Hilltop DR, Building G, B Suite C138
Richmond, CA, 94806
Tel: 1-661-524(LBI)-0262
Email: info@leadingbiology.com
Complete this form and click send to ask us a question, request a quote or simply say hello.

You have 0 item in your cart

You have 0 item in your inquiry list