> Antigen, Antibodies, ELISA, Western Blot > Primary Antibody > Polyclonal Antibodies > PSTPIP1 Polyclonal AntibodyBrand |
Leading Biology | Catalog Number |
APR27675N |
Product Type |
Polyclonal Antibodies | Field of Research |
Cell Biology & Developmental Biology>Cytoskeleton |
Product Overview |
We constantly strive to ensure we provide our customers with the best antibodies. As a result of this work we offer this antibody in purified format.
We are in the process of updating our datasheets. If you have any questions regarding this update, please feel free to contact our technical support team.
This product is a high quality PSTPIP1 Polyclonal Antibody.
|
||
Molecular Weight |
Calculated MW:
45kDa/47kDa
Observed MW:
48kDa
|
||
Species Reactivity |
Rabbit
|
||
Immunogen |
Recombinant fusion protein of human PSTPIP1 (NP_003969.2).
|
||
Cross Reactivity |
Human,Mouse,Rat
|
||
Isotype |
IgG
|
||
GeneID |
|||
UniProt ID |
|||
Purity |
Affinity purification |
||
Storage & Stability |
Store at +4°C short term. For long-term storage, aliquot and store at -20°C or below. Stable for 12 months at -20°C. Avoid repeated freeze-thaw cycles.
|
||
Storage Buffer |
Buffer: PBS with 50% glycerol, pH7.3.
|
||
Applications |
WB,IHC
|
||
Dilution |
WB 1:500 - 1:2000
IHC 1:50 - 1:200
|
||
Product Description |
This gene encodes a cytoskeletal protein that is highly expressed in hemopoietic tissues. This protein functions via its interaction with several different proteins involved in cytoskeletal organization and inflammatory processes. It binds to the cytoplasmic tail of CD2, an effector of T cell activation and adhesion, downregulating CD2-triggered adhesion. It binds PEST-type protein tyrosine phosphatases (PTP) and directs them to c-Abl kinase to mediate c-Abl dephosphorylation, thereby, regulating c-Abl activity. It also interacts with pyrin, which is found in association with the cytoskeleton in myeloid/monocytic cells and modulates immunoregulatory functions. Mutations in this gene are associated with PAPA (pyogenic sterile arthritis, pyoderma gangrenosum, and acne) syndrome. It is hypothesized that the disease-causing mutations compromise physiologic signaling necessary for the maintenance of a proper inflammatory response.
|
||
Synonyms |
PSTPIP1; CD2BP1; CD2BP1L; CD2BP1S; H-PIP; PAPAS; PSTPIP; proline-serine-threonine phosphatase-interacting protein 1
|
||
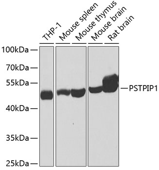
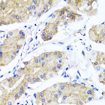
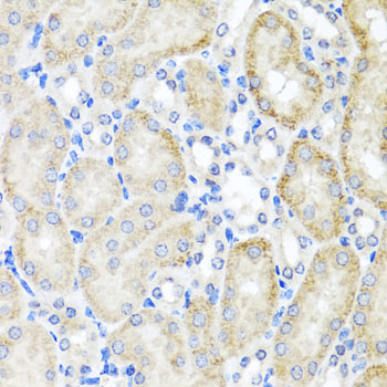
Images |
Western blot analysis of extracts of various cell lines, using PSTPIP1 antibody.
Immunohistochemistry of paraffin-embedded human stomach using PSTPIP1 antibody.
Immunohistochemistry of paraffin-embedded mouse kidney using PSTPIP1 antibody. |
||
Specification |
|||
Quantity |
|
||
| Select | Brand | Catalog No. | Product Name | Pack Size | Type | Field of Research | Specification | Quantity | Price(USD) | |
| 1 | Leading Biology | APR03440G | ITGA11 Antibody (N-term) | 100 μl | Polyclonal Antibodies |
|
$495.00 | Add Ask | ||
| 2 | Leading Biology | APR04537G | CMIP Antibody (C-term) | 100 μl | Polyclonal Antibodies |
|
$495.00 | Add Ask | ||
| 3 | Leading Biology | APR12422G | Human H4 Histamine Receptor (extracellular) Antibody | 50 μl | Polyclonal Antibodies |
|
$695.00 | Add Ask | ||
| 4 | Leading Biology | APR03844G | UBE2W Antibody (C-term) | 100 μl | Polyclonal Antibodies |
|
$495.00 | Add Ask | ||
| 5 | Leading Biology | APR04349G | HECTD2 Antibody (N-term) | 100 μl | Polyclonal Antibodies |
|
$495.00 | Add Ask | ||
| 6 | Leading Biology | APR03502G | IGHG1 Antibody (Center) | 100 μl | Polyclonal Antibodies |
|
$495.00 | Add Ask |
Leading Biology Inc.
2600 Hilltop DR, Building G, B Suite C138
Richmond, CA, 94806
Tel: 1-661-524(LBI)-0262
Email: info@leadingbiology.com
Complete this form and click send to ask us a question, request a quote or simply say hello.

You have 0 item in your cart

You have 0 item in your inquiry list