> Antigen, Antibodies, ELISA, Western Blot > Primary Antibody > Polyclonal Antibodies > EIF4G1 Polyclonal AntibodyBrand |
Leading Biology | Catalog Number |
APR27493N |
Product Type |
Polyclonal Antibodies | Field of Research |
Signal Transduction>PI3K-Akt Signaling Pathway |
Product Overview |
We constantly strive to ensure we provide our customers with the best antibodies. As a result of this work we offer this antibody in purified format.
We are in the process of updating our datasheets. If you have any questions regarding this update, please feel free to contact our technical support team.
This product is a high quality EIF4G1 Polyclonal Antibody.
|
||
Molecular Weight |
Calculated MW:
154kDa/158kDa/166kDa/171kDa/175kDa/176kDa
Observed MW:
230kDa
|
||
Species Reactivity |
Rabbit
|
||
Immunogen |
A synthetic peptide of human EIF4G1 (NP_886553.3).
|
||
Cross Reactivity |
Human
|
||
Isotype |
IgG
|
||
GeneID |
|||
UniProt ID |
|||
Purity |
Affinity purification |
||
Storage & Stability |
Store at +4°C short term. For long-term storage, aliquot and store at -20°C or below. Stable for 12 months at -20°C. Avoid repeated freeze-thaw cycles.
|
||
Storage Buffer |
Buffer: PBS with 50% glycerol, pH7.3.
|
||
Applications |
WB,IHC,IF
|
||
Dilution |
WB 1:500 - 1:2000
IHC 1:50 - 1:200
IF 1:50 - 1:200
|
||
Product Description |
The protein encoded by this gene is a component of the multi-subunit protein complex EIF4F. This complex facilitates the recruitment of mRNA to the ribosome, which is a rate-limiting step during the initiation phase of protein synthesis. The recognition of the mRNA cap and the ATP-dependent unwinding of 5'-terminal secondary structure is catalyzed by factors in this complex. The subunit encoded by this gene is a large scaffolding protein that contains binding sites for other members of the EIF4F complex. A domain at its N-terminus can also interact with the poly(A)-binding protein, which may mediate the circularization of mRNA during translation. Alternative splicing results in multiple transcript variants, some of which are derived from alternative promoter usage.
|
||
Synonyms |
EIF4G1; EIF-4G1; EIF4F; EIF4G; EIF4GI; P220; PARK18; eukaryotic translation initiation factor 4 gamma 1
|
||
Images |
Western blot analysis of extracts of THP-1 cells, using EIF4G1 Antibody.
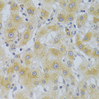
Immunohistochemistry of paraffin-embedded human liver damage using EIF4G1 Antibody.
Immunohistochemistry of paraffin-embedded human liver cancer using EIF4G1 Antibody. |
||
Specification |
|||
Quantity |
|
||
| Select | Brand | Catalog No. | Product Name | Pack Size | Type | Field of Research | Specification | Quantity | Price(USD) | |
| 1 | Leading Biology | APR03440G | ITGA11 Antibody (N-term) | 100 μl | Polyclonal Antibodies |
|
$495.00 | Add Ask | ||
| 2 | Leading Biology | APR04537G | CMIP Antibody (C-term) | 100 μl | Polyclonal Antibodies |
|
$495.00 | Add Ask | ||
| 3 | Leading Biology | APR12422G | Human H4 Histamine Receptor (extracellular) Antibody | 50 μl | Polyclonal Antibodies |
|
$695.00 | Add Ask | ||
| 4 | Leading Biology | APR03844G | UBE2W Antibody (C-term) | 100 μl | Polyclonal Antibodies |
|
$495.00 | Add Ask | ||
| 5 | Leading Biology | APR04349G | HECTD2 Antibody (N-term) | 100 μl | Polyclonal Antibodies |
|
$495.00 | Add Ask | ||
| 6 | Leading Biology | APR03502G | IGHG1 Antibody (Center) | 100 μl | Polyclonal Antibodies |
|
$495.00 | Add Ask |
Leading Biology Inc.
2600 Hilltop DR, Building G, B Suite C138
Richmond, CA, 94806
Tel: 1-661-524(LBI)-0262
Email: info@leadingbiology.com
Complete this form and click send to ask us a question, request a quote or simply say hello.

You have 0 item in your cart

You have 0 item in your inquiry list