> Antigen, Antibodies, ELISA, Western Blot > Primary Antibody > Polyclonal Antibodies > OAZ1 Polyclonal AntibodyBrand |
Leading Biology | Catalog Number |
APR27396N |
Product Type |
Polyclonal Antibodies | Field of Research |
Endocrine & Metabolism>Amino acid metabolism |
Product Overview |
We constantly strive to ensure we provide our customers with the best antibodies. As a result of this work we offer this antibody in purified format.
We are in the process of updating our datasheets. If you have any questions regarding this update, please feel free to contact our technical support team.
This product is a high quality OAZ1 Polyclonal Antibody.
|
||
Molecular Weight |
Calculated MW:
25kDa
Observed MW:
27kDa
|
||
Species Reactivity |
Rabbit
|
||
Immunogen |
Recombinant fusion protein of human OAZ1 (NP_004143.1).
|
||
Cross Reactivity |
Human,Mouse,Rat
|
||
Isotype |
IgG
|
||
GeneID |
|||
UniProt ID |
|||
Purity |
Affinity purification |
||
Storage & Stability |
Store at +4°C short term. For long-term storage, aliquot and store at -20°C or below. Stable for 12 months at -20°C. Avoid repeated freeze-thaw cycles.
|
||
Storage Buffer |
Buffer: PBS with 50% glycerol, pH7.3.
|
||
Applications |
WB,IHC
|
||
Dilution |
WB 1:500 - 1:2000
IHC 1:50 - 1:200
|
||
Product Description |
The protein encoded by this gene belongs to the ornithine decarboxylase antizyme family, which plays a role in cell growth and proliferation by regulating intracellular polyamine levels. Expression of antizymes requires +1 ribosomal frameshifting, which is enhanced by high levels of polyamines. Antizymes in turn bind to and inhibit ornithine decarboxylase (ODC), the key enzyme in polyamine biosynthesis; thus, completing the auto-regulatory circuit. This gene encodes antizyme 1, the first member of the antizyme family, that has broad tissue distribution, and negatively regulates intracellular polyamine levels by binding to and targeting ODC for degradation, as well as inhibiting polyamine uptake. Antizyme 1 mRNA contains two potential in-frame AUGs; and studies in rat suggest that alternative use of the two translation initiation sites results in N-terminally distinct protein isoforms with different subcellular localization. Alternatively spliced transcript variants have also been noted for this gene.
|
||
Synonyms |
OAZ1; AZ1; AZI; OAZ; ornithine decarboxylase antizyme 1
|
||
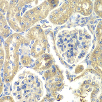
Images |
Western blot analysis of extracts of various cell lines, using OAZ1 antibody.
Immunohistochemistry of paraffin-embedded rat kidney using OAZ1 antibody. |
||
Specification |
|||
Quantity |
|
||
| Select | Brand | Catalog No. | Product Name | Pack Size | Type | Field of Research | Specification | Quantity | Price(USD) | |
| 1 | Leading Biology | APR03440G | ITGA11 Antibody (N-term) | 100 μl | Polyclonal Antibodies |
|
$495.00 | Add Ask | ||
| 2 | Leading Biology | APR04537G | CMIP Antibody (C-term) | 100 μl | Polyclonal Antibodies |
|
$495.00 | Add Ask | ||
| 3 | Leading Biology | APR12422G | Human H4 Histamine Receptor (extracellular) Antibody | 50 μl | Polyclonal Antibodies |
|
$695.00 | Add Ask | ||
| 4 | Leading Biology | APR03844G | UBE2W Antibody (C-term) | 100 μl | Polyclonal Antibodies |
|
$495.00 | Add Ask | ||
| 5 | Leading Biology | APR04349G | HECTD2 Antibody (N-term) | 100 μl | Polyclonal Antibodies |
|
$495.00 | Add Ask | ||
| 6 | Leading Biology | APR03502G | IGHG1 Antibody (Center) | 100 μl | Polyclonal Antibodies |
|
$495.00 | Add Ask |
Leading Biology Inc.
2600 Hilltop DR, Building G, B Suite C138
Richmond, CA, 94806
Tel: 1-661-524(LBI)-0262
Email: info@leadingbiology.com
Complete this form and click send to ask us a question, request a quote or simply say hello.

You have 0 item in your cart

You have 0 item in your inquiry list