> Antigen, Antibodies, ELISA, Western Blot > Primary Antibody > Polyclonal Antibodies > CHMP4B Polyclonal AntibodyBrand |
Leading Biology | Catalog Number |
APR27362N |
Product Type |
Polyclonal Antibodies | Field of Research |
Cell Biology & Developmental Biology>Autophagy |
Product Overview |
We constantly strive to ensure we provide our customers with the best antibodies. As a result of this work we offer this antibody in purified format.
We are in the process of updating our datasheets. If you have any questions regarding this update, please feel free to contact our technical support team.
This product is a high quality CHMP4B Polyclonal Antibody.
|
||
Molecular Weight |
Calculated MW:
24kDa
Observed MW:
36kDa
|
||
Species Reactivity |
Rabbit
|
||
Immunogen |
Recombinant fusion protein of human CHMP4B (NP_789782.1).
|
||
Cross Reactivity |
Human,Mouse,Rat
|
||
Isotype |
IgG
|
||
GeneID |
|||
UniProt ID |
|||
Purity |
Affinity purification |
||
Storage & Stability |
Store at +4°C short term. For long-term storage, aliquot and store at -20°C or below. Stable for 12 months at -20°C. Avoid repeated freeze-thaw cycles.
|
||
Storage Buffer |
Buffer: PBS with 50% glycerol, pH7.3.
|
||
Applications |
WB,IHC
|
||
Dilution |
WB 1:500 - 1:2000
IHC 1:50 - 1:200
|
||
Product Description |
This gene encodes a member of the chromatin-modifying protein/charged multivesicular body protein (CHMP) protein family. The protein is part of the endosomal sorting complex required for transport (ESCRT) complex III (ESCRT-III), which functions in the sorting of endocytosed cell-surface receptors into multivesicular endosomes. The ESCRT machinery also functions in the final abscisson stage of cytokinesis and in the budding of enveloped viruses such as HIV-1. The three proteins of the CHMP4 subfamily interact with programmed cell death 6 interacting protein (PDCD6IP, also known as ALIX), which also functions in the ESCRT pathway. The CHMP4 proteins assemble into membrane-attached 5-nm filaments that form circular scaffolds and promote or stabilize outward budding. These polymers are proposed to help generate the luminal vesicles of multivesicular bodies. Mutations in this gene result in autosomal dominant posterior polar cataracts.
|
||
Synonyms |
CHMP4B; C20orf178; CHMP4A; CTPP3; CTRCT31; SNF7; SNF7-2; Shax1; VPS32B; Vps32-2; dJ553F4.4; charged multivesicular body protein 4b
|
||
Images |
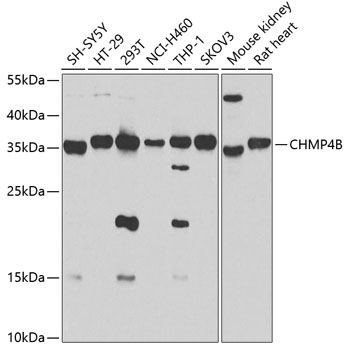
Western blot analysis of extracts of various cell lines, using CHMP4B antibody.
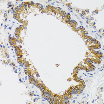
Immunohistochemistry of paraffin-embedded rat lung using CHMP4B antibody.
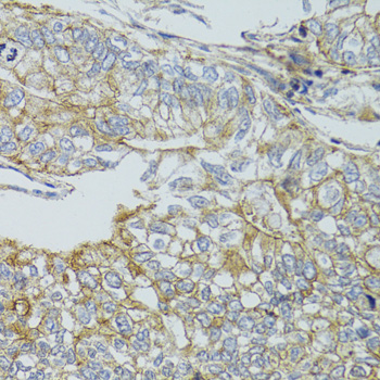
Immunohistochemistry of paraffin-embedded human gastric cancer using CHMP4B antibody. |
||
Specification |
|||
Quantity |
|
||
| Select | Brand | Catalog No. | Product Name | Pack Size | Type | Field of Research | Specification | Quantity | Price(USD) | |
| 1 | Leading Biology | APR03440G | ITGA11 Antibody (N-term) | 100 μl | Polyclonal Antibodies |
|
$495.00 | Add Ask | ||
| 2 | Leading Biology | APR04537G | CMIP Antibody (C-term) | 100 μl | Polyclonal Antibodies |
|
$495.00 | Add Ask | ||
| 3 | Leading Biology | APR12422G | Human H4 Histamine Receptor (extracellular) Antibody | 50 μl | Polyclonal Antibodies |
|
$695.00 | Add Ask | ||
| 4 | Leading Biology | APR03844G | UBE2W Antibody (C-term) | 100 μl | Polyclonal Antibodies |
|
$495.00 | Add Ask | ||
| 5 | Leading Biology | APR04349G | HECTD2 Antibody (N-term) | 100 μl | Polyclonal Antibodies |
|
$495.00 | Add Ask | ||
| 6 | Leading Biology | APR03502G | IGHG1 Antibody (Center) | 100 μl | Polyclonal Antibodies |
|
$495.00 | Add Ask |
Leading Biology Inc.
2600 Hilltop DR, Building G, B Suite C138
Richmond, CA, 94806
Tel: 1-661-524(LBI)-0262
Email: info@leadingbiology.com
Complete this form and click send to ask us a question, request a quote or simply say hello.

You have 0 item in your cart

You have 0 item in your inquiry list