> Antigen, Antibodies, ELISA, Western Blot > Primary Antibody > Polyclonal Antibodies > TPH2 Polyclonal AntibodyBrand |
Leading Biology | Catalog Number |
APR27152N |
Product Type |
Polyclonal Antibodies | Field of Research |
|
Product Overview |
We constantly strive to ensure we provide our customers with the best antibodies. As a result of this work we offer this antibody in purified format.
We are in the process of updating our datasheets. If you have any questions regarding this update, please feel free to contact our technical support team.
This product is a high quality TPH2 Polyclonal Antibody.
|
||
Molecular Weight |
Calculated MW:
56kDa
Observed MW:
56kDa
|
||
Species Reactivity |
Rabbit
|
||
Immunogen |
Recombinant fusion protein of human TPH2 (NP_775489.2).
|
||
Cross Reactivity |
Human,Mouse,Rat
|
||
Isotype |
IgG
|
||
GeneID |
|||
UniProt ID |
|||
Purity |
Affinity purification |
||
Storage & Stability |
Store at +4°C short term. For long-term storage, aliquot and store at -20°C or below. Stable for 12 months at -20°C. Avoid repeated freeze-thaw cycles.
|
||
Storage Buffer |
Buffer: PBS with 50% glycerol, pH7.3.
|
||
Applications |
WB,IHC,IF
|
||
Dilution |
WB 1:500 - 1:2000
IHC 1:50 - 1:200
IF 1:50 - 1:100
|
||
Product Description |
This gene encodes a member of the pterin-dependent aromatic acid hydroxylase family. The encoded protein catalyzes the first and rate limiting step in the biosynthesis of serotonin, an important hormone and neurotransmitter. Mutations in this gene may be associated with psychiatric diseases such as bipolar affective disorder and major depression.
|
||
Synonyms |
TPH2; ADHD7; NTPH; tryptophan hydroxylase 2
|
||
Images |
Western blot analysis of extracts of various cell lines, using TPH2 antibody.
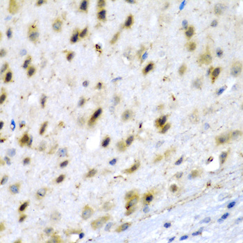
Immunohistochemistry of paraffin-embedded mouse brain using TPH2 antibody.
Immunofluorescence analysis of A549 cells using TPH2 antibody. |
||
Specification |
|||
Quantity |
|
||
| Select | Brand | Catalog No. | Product Name | Pack Size | Type | Field of Research | Specification | Quantity | Price(USD) | |
| 1 | Leading Biology | APR03440G | ITGA11 Antibody (N-term) | 100 μl | Polyclonal Antibodies |
|
$495.00 | Add Ask | ||
| 2 | Leading Biology | APR04537G | CMIP Antibody (C-term) | 100 μl | Polyclonal Antibodies |
|
$495.00 | Add Ask | ||
| 3 | Leading Biology | APR12422G | Human H4 Histamine Receptor (extracellular) Antibody | 50 μl | Polyclonal Antibodies |
|
$695.00 | Add Ask | ||
| 4 | Leading Biology | APR03844G | UBE2W Antibody (C-term) | 100 μl | Polyclonal Antibodies |
|
$495.00 | Add Ask | ||
| 5 | Leading Biology | APR04349G | HECTD2 Antibody (N-term) | 100 μl | Polyclonal Antibodies |
|
$495.00 | Add Ask | ||
| 6 | Leading Biology | APR03502G | IGHG1 Antibody (Center) | 100 μl | Polyclonal Antibodies |
|
$495.00 | Add Ask |
Leading Biology Inc.
2600 Hilltop DR, Building G, B Suite C138
Richmond, CA, 94806
Tel: 1-661-524(LBI)-0262
Email: info@leadingbiology.com
Complete this form and click send to ask us a question, request a quote or simply say hello.

You have 0 item in your cart

You have 0 item in your inquiry list