> Antigen, Antibodies, ELISA, Western Blot > Primary Antibody > Polyclonal Antibodies > WDR77 Polyclonal AntibodyBrand |
Leading Biology | Catalog Number |
APR27141N |
Product Type |
Polyclonal Antibodies | Field of Research |
Epigenetics & Nuclear Signaling>Chromatin Remodeling |
Product Overview |
We constantly strive to ensure we provide our customers with the best antibodies. As a result of this work we offer this antibody in purified format.
We are in the process of updating our datasheets. If you have any questions regarding this update, please feel free to contact our technical support team.
This product is a high quality WDR77 Polyclonal Antibody.
|
||
Molecular Weight |
Calculated MW:
29kDa/36kDa
Observed MW:
Refer to figures
|
||
Species Reactivity |
Rabbit
|
||
Immunogen |
Recombinant fusion protein of human WDR77 (NP_077007.1).
|
||
Cross Reactivity |
Human,Mouse
|
||
Isotype |
IgG
|
||
GeneID |
|||
UniProt ID |
|||
Purity |
Affinity purification |
||
Storage & Stability |
Store at +4°C short term. For long-term storage, aliquot and store at -20°C or below. Stable for 12 months at -20°C. Avoid repeated freeze-thaw cycles.
|
||
Storage Buffer |
Buffer: PBS with 50% glycerol, pH7.3.
|
||
Applications |
WB,IHC,IF
|
||
Dilution |
WB 1:500 - 1:2000
IHC 1:50 - 1:200
IF 1:50 - 1:100
|
||
Product Description |
The protein encoded by this gene is an androgen receptor coactivator that forms a complex with protein arginine methyltransferase 5, which modifies specific arginines to dimethylarginines in several spliceosomal Sm proteins. The encoded protein may be involved in the early stages of prostate cancer, with most of the protein being nuclear-localized in benign cells but cytoplasmic in cancer cells. Several transcript variants encoding different isoforms have been found for this gene.
|
||
Synonyms |
WDR77; HKMT1069; MEP-50; MEP50; Nbla10071; p44; p44/Mep50; WD repeat domain 77
|
||
Images |
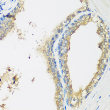
Immunohistochemistry of paraffin-embedded human prostate using WDR77 antibody.
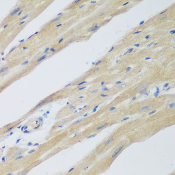
Immunohistochemistry of paraffin-embedded mouse heart using WDR77 antibody.
Immunofluorescence analysis of A-549 cells using WDR77 antibody. |
||
Specification |
|||
Quantity |
|
||
| Select | Brand | Catalog No. | Product Name | Pack Size | Type | Field of Research | Specification | Quantity | Price(USD) | |
| 1 | Leading Biology | APR03440G | ITGA11 Antibody (N-term) | 100 μl | Polyclonal Antibodies |
|
$495.00 | Add Ask | ||
| 2 | Leading Biology | APR04537G | CMIP Antibody (C-term) | 100 μl | Polyclonal Antibodies |
|
$495.00 | Add Ask | ||
| 3 | Leading Biology | APR12422G | Human H4 Histamine Receptor (extracellular) Antibody | 50 μl | Polyclonal Antibodies |
|
$695.00 | Add Ask | ||
| 4 | Leading Biology | APR03844G | UBE2W Antibody (C-term) | 100 μl | Polyclonal Antibodies |
|
$495.00 | Add Ask | ||
| 5 | Leading Biology | APR04349G | HECTD2 Antibody (N-term) | 100 μl | Polyclonal Antibodies |
|
$495.00 | Add Ask | ||
| 6 | Leading Biology | APR03502G | IGHG1 Antibody (Center) | 100 μl | Polyclonal Antibodies |
|
$495.00 | Add Ask |
Leading Biology Inc.
2600 Hilltop DR, Building G, B Suite C138
Richmond, CA, 94806
Tel: 1-661-524(LBI)-0262
Email: info@leadingbiology.com
Complete this form and click send to ask us a question, request a quote or simply say hello.

You have 0 item in your cart

You have 0 item in your inquiry list