> Antigen, Antibodies, ELISA, Western Blot > Primary Antibody > Polyclonal Antibodies > ACTL6B Polyclonal AntibodyBrand |
Leading Biology | Catalog Number |
APR27115N |
Product Type |
Polyclonal Antibodies | Field of Research |
Neuroscience>Cell Type Marker |
Product Overview |
We constantly strive to ensure we provide our customers with the best antibodies. As a result of this work we offer this antibody in purified format.
We are in the process of updating our datasheets. If you have any questions regarding this update, please feel free to contact our technical support team.
This product is a high quality ACTL6B Polyclonal Antibody.
|
||
Molecular Weight |
Calculated MW:
46kDa
Observed MW:
47-55kDa
|
||
Species Reactivity |
Rabbit
|
||
Immunogen |
Recombinant fusion protein of human ACTL6B (NP_057272.1).
|
||
Cross Reactivity |
Human,Mouse,Rat
|
||
Isotype |
IgG
|
||
GeneID |
|||
UniProt ID |
|||
Purity |
Affinity purification |
||
Storage & Stability |
Store at +4°C short term. For long-term storage, aliquot and store at -20°C or below. Stable for 12 months at -20°C. Avoid repeated freeze-thaw cycles.
|
||
Storage Buffer |
Buffer: PBS with 50% glycerol, pH7.3.
|
||
Applications |
WB,IHC,IF
|
||
Dilution |
WB 1:500 - 1:2000
IHC 1:50 - 1:200
IF 1:50 - 1:100
|
||
Product Description |
The protein encoded by this gene is a member of a family of actin-related proteins (ARPs) which share significant amino acid sequence identity to conventional actins. Both actins and ARPs have an actin fold, which is an ATP-binding cleft, as a common feature. The ARPs are involved in diverse cellular processes, including vesicular transport, spindle orientation, nuclear migration and chromatin remodeling. This gene encodes a subunit of the BAF (BRG1/brm-associated factor) complex in mammals, which is functionally related to SWI/SNF complex in S. cerevisiae and Drosophila; the latter is thought to facilitate transcriptional activation of specific genes by antagonizing chromatin-mediated transcriptional repression. This subunit may be involved in the regulation of genes by structural modulation of their chromatin, specifically in the brain. Alternative splicing results in multiple transcript variants.
|
||
Synonyms |
ACTL6B; ACTL6; BAF53B; arpNalpha; actin like 6B
|
||
Images |
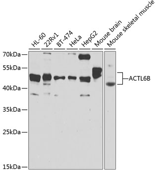
Western blot analysis of extracts of various cell lines, using ACTL6B antibody.
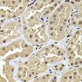
Immunohistochemistry of paraffin-embedded human kidney using ACTL6B antibody.
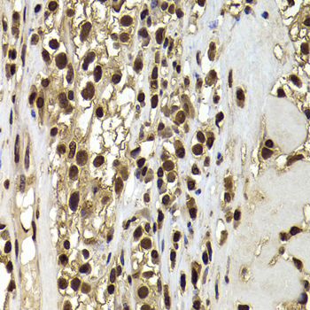
Immunohistochemistry of paraffin-embedded human kidney cancer using ACTL6B antibody. |
||
Specification |
|||
Quantity |
|
||
| Select | Brand | Catalog No. | Product Name | Pack Size | Type | Field of Research | Specification | Quantity | Price(USD) | |
| 1 | Leading Biology | APR03440G | ITGA11 Antibody (N-term) | 100 μl | Polyclonal Antibodies |
|
$495.00 | Add Ask | ||
| 2 | Leading Biology | APR04537G | CMIP Antibody (C-term) | 100 μl | Polyclonal Antibodies |
|
$495.00 | Add Ask | ||
| 3 | Leading Biology | APR12422G | Human H4 Histamine Receptor (extracellular) Antibody | 50 μl | Polyclonal Antibodies |
|
$695.00 | Add Ask | ||
| 4 | Leading Biology | APR03844G | UBE2W Antibody (C-term) | 100 μl | Polyclonal Antibodies |
|
$495.00 | Add Ask | ||
| 5 | Leading Biology | APR04349G | HECTD2 Antibody (N-term) | 100 μl | Polyclonal Antibodies |
|
$495.00 | Add Ask | ||
| 6 | Leading Biology | APR03502G | IGHG1 Antibody (Center) | 100 μl | Polyclonal Antibodies |
|
$495.00 | Add Ask |
Leading Biology Inc.
2600 Hilltop DR, Building G, B Suite C138
Richmond, CA, 94806
Tel: 1-661-524(LBI)-0262
Email: info@leadingbiology.com
Complete this form and click send to ask us a question, request a quote or simply say hello.

You have 0 item in your cart

You have 0 item in your inquiry list