> Antigen, Antibodies, ELISA, Western Blot > Primary Antibody > Polyclonal Antibodies > DGUOK Polyclonal AntibodyBrand |
Leading Biology | Catalog Number |
APR26913N |
Product Type |
Polyclonal Antibodies | Field of Research |
Signal Transduction>Kinase |
Product Overview |
We constantly strive to ensure we provide our customers with the best antibodies. As a result of this work we offer this antibody in purified format.
We are in the process of updating our datasheets. If you have any questions regarding this update, please feel free to contact our technical support team.
This product is a high quality DGUOK Polyclonal Antibody.
|
||
Molecular Weight |
Calculated MW:
9kDa/17kDa/21kDa/27kDa/29kDa/32kDa
Observed MW:
40kDa
|
||
Species Reactivity |
Rabbit
|
||
Immunogen |
Recombinant fusion protein of human DGUOK (NP_550438.1).
|
||
Cross Reactivity |
Human,Mouse,Rat
|
||
Isotype |
IgG
|
||
GeneID |
|||
UniProt ID |
|||
Purity |
Affinity purification |
||
Storage & Stability |
Store at +4°C short term. For long-term storage, aliquot and store at -20°C or below. Stable for 12 months at -20°C. Avoid repeated freeze-thaw cycles.
|
||
Storage Buffer |
Buffer: PBS with 50% glycerol, pH7.3.
|
||
Applications |
WB,IHC
|
||
Dilution |
WB 1:500 - 1:2000
IHC 1:50 - 1:200
|
||
Product Description |
In mammalian cells, the phosphorylation of purine deoxyribonucleosides is mediated predominantly by two deoxyribonucleoside kinases, cytosolic deoxycytidine kinase and mitochondrial deoxyguanosine kinase. The protein encoded by this gene is responsible for phosphorylation of purine deoxyribonucleosides in the mitochondrial matrix. In addition, this protein phosphorylates several purine deoxyribonucleoside analogs used in the treatment of lymphoproliferative disorders, and this phosphorylation is critical for the effectiveness of the analogs. Alternative splice variants encoding different protein isoforms have been described for this gene.
|
||
Synonyms |
DGUOK; MTDPS3; NCPH; PEOB4; dGK; deoxyguanosine kinase
|
||
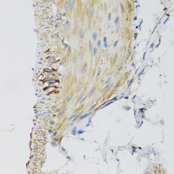
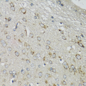
Images |
Western blot analysis of extracts of various cell lines, using DGUOK antibody.
Immunohistochemistry of paraffin-embedded mouse brain using DGUOK antibody.
Immunohistochemistry of paraffin-embedded mouse stomach using DGUOK antibody. |
||
Specification |
|||
Quantity |
|
||
| Select | Brand | Catalog No. | Product Name | Pack Size | Type | Field of Research | Specification | Quantity | Price(USD) | |
| 1 | Leading Biology | APR03440G | ITGA11 Antibody (N-term) | 100 μl | Polyclonal Antibodies |
|
$495.00 | Add Ask | ||
| 2 | Leading Biology | APR04537G | CMIP Antibody (C-term) | 100 μl | Polyclonal Antibodies |
|
$495.00 | Add Ask | ||
| 3 | Leading Biology | APR12422G | Human H4 Histamine Receptor (extracellular) Antibody | 50 μl | Polyclonal Antibodies |
|
$695.00 | Add Ask | ||
| 4 | Leading Biology | APR03844G | UBE2W Antibody (C-term) | 100 μl | Polyclonal Antibodies |
|
$495.00 | Add Ask | ||
| 5 | Leading Biology | APR04349G | HECTD2 Antibody (N-term) | 100 μl | Polyclonal Antibodies |
|
$495.00 | Add Ask | ||
| 6 | Leading Biology | APR03502G | IGHG1 Antibody (Center) | 100 μl | Polyclonal Antibodies |
|
$495.00 | Add Ask |
Leading Biology Inc.
2600 Hilltop DR, Building G, B Suite C138
Richmond, CA, 94806
Tel: 1-661-524(LBI)-0262
Email: info@leadingbiology.com
Complete this form and click send to ask us a question, request a quote or simply say hello.

You have 0 item in your cart

You have 0 item in your inquiry list