> Antigen, Antibodies, ELISA, Western Blot > Primary Antibody > Polyclonal Antibodies > TSC22D3 Polyclonal AntibodyBrand |
Leading Biology | Catalog Number |
APR26841N |
Product Type |
Polyclonal Antibodies | Field of Research |
Cell Biology & Developmental Biology>Apoptosis |
Product Overview |
We constantly strive to ensure we provide our customers with the best antibodies. As a result of this work we offer this antibody in purified format.
We are in the process of updating our datasheets. If you have any questions regarding this update, please feel free to contact our technical support team.
This product is a high quality TSC22D3 Polyclonal Antibody.
|
||
Molecular Weight |
Calculated MW:
13kDa/14kDa/22kDa
Observed MW:
15kDa
|
||
Species Reactivity |
Rabbit
|
||
Immunogen |
Recombinant fusion protein of human TSC22D3 (NP_001015881.1).
|
||
Cross Reactivity |
Human,Mouse,Rat
|
||
Isotype |
IgG
|
||
GeneID |
|||
UniProt ID |
|||
Purity |
Affinity purification |
||
Storage & Stability |
Store at +4°C short term. For long-term storage, aliquot and store at -20°C or below. Stable for 12 months at -20°C. Avoid repeated freeze-thaw cycles.
|
||
Storage Buffer |
Buffer: PBS with 50% glycerol, pH7.3.
|
||
Applications |
WB,IHC,IF,IP
|
||
Dilution |
WB 1:500 - 1:2000
IHC 1:50 - 1:200
IF 1:50 - 1:200
|
||
Product Description |
This gene encodes the anti-inflammatory protein glucocorticoid (GC)-induced leucine zipper. Expression of this gene stimulated by glucocorticoids and interleukin 10 and it appears to play a key role in the anti-inflammatory and immunosuppressive effects of this steroid. This protein has also been shown to inhibit pro-inflammatory molecules including nuclear factor κB. Alternate splicing results in multiple transcript variants.
|
||
Synonyms |
TSC22D3; DIP; DSIPI; GILZ; TSC-22R; TSC22 domain family member 3
|
||
Images |
Western blot analysis of extracts of various cell lines, using TSC22D3 antibody.
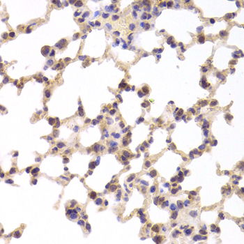
Immunohistochemistry of paraffin-embedded mouse lung using TSC22D3 Antibody.
Immunofluorescence analysis of U2OS cells using TSC22D3 antibody. |
||
Specification |
|||
Quantity |
|
||
| Select | Brand | Catalog No. | Product Name | Pack Size | Type | Field of Research | Specification | Quantity | Price(USD) | |
| 1 | Leading Biology | APR03440G | ITGA11 Antibody (N-term) | 100 μl | Polyclonal Antibodies |
|
$495.00 | Add Ask | ||
| 2 | Leading Biology | APR04537G | CMIP Antibody (C-term) | 100 μl | Polyclonal Antibodies |
|
$495.00 | Add Ask | ||
| 3 | Leading Biology | APR12422G | Human H4 Histamine Receptor (extracellular) Antibody | 50 μl | Polyclonal Antibodies |
|
$695.00 | Add Ask | ||
| 4 | Leading Biology | APR03844G | UBE2W Antibody (C-term) | 100 μl | Polyclonal Antibodies |
|
$495.00 | Add Ask | ||
| 5 | Leading Biology | APR04349G | HECTD2 Antibody (N-term) | 100 μl | Polyclonal Antibodies |
|
$495.00 | Add Ask | ||
| 6 | Leading Biology | APR03502G | IGHG1 Antibody (Center) | 100 μl | Polyclonal Antibodies |
|
$495.00 | Add Ask |
Leading Biology Inc.
2600 Hilltop DR, Building G, B Suite C138
Richmond, CA, 94806
Tel: 1-661-524(LBI)-0262
Email: info@leadingbiology.com
Complete this form and click send to ask us a question, request a quote or simply say hello.

You have 0 item in your cart

You have 0 item in your inquiry list