> Antigen, Antibodies, ELISA, Western Blot > Primary Antibody > Polyclonal Antibodies > TMED10 Polyclonal AntibodyBrand |
Leading Biology | Catalog Number |
APR26834N |
Product Type |
Polyclonal Antibodies | Field of Research |
Cell Biology & Developmental Biology>Hippo Signaling Pathway |
Product Overview |
We constantly strive to ensure we provide our customers with the best antibodies. As a result of this work we offer this antibody in purified format.
We are in the process of updating our datasheets. If you have any questions regarding this update, please feel free to contact our technical support team.
This product is a high quality TMED10 Polyclonal Antibody.
|
||
Molecular Weight |
Calculated MW:
24kDa
Observed MW:
21kDa
|
||
Species Reactivity |
Rabbit
|
||
Immunogen |
Recombinant fusion protein of human TMED10 (NP_006818.3).
|
||
Cross Reactivity |
Human,Mouse,Rat
|
||
Isotype |
IgG
|
||
GeneID |
|||
UniProt ID |
|||
Purity |
Affinity purification |
||
Storage & Stability |
Store at +4°C short term. For long-term storage, aliquot and store at -20°C or below. Stable for 12 months at -20°C. Avoid repeated freeze-thaw cycles.
|
||
Storage Buffer |
Buffer: PBS with 50% glycerol, pH7.3.
|
||
Applications |
WB,IHC,IF
|
||
Dilution |
WB 1:500 - 1:2000
IHC 1:50 - 1:200
IF 1:50 - 1:200
|
||
Product Description |
This gene is a member of the EMP24/GP25L/p24 family and encodes a protein with a GOLD domain. This type I membrane protein is localized to the plasma membrane and golgi cisternae and is involved in vesicular protein trafficking. The protein is also a member of a heteromeric secretase complex and regulates the complex's gamma-secretase activity without affecting its epsilon-secretase activity. Mutations in this gene have been associated with early-onset familial Alzheimer's disease. This gene has a pseudogene on chromosome 8.
|
||
Synonyms |
TMED10; P24(DELTA); S31I125; S31III125; TMP21; Tmp-21-I; p23; p24d1; transmembrane p24 trafficking protein 10
|
||
Images |
Western blot analysis of extracts of various cell lines, using TMED10 antibody.
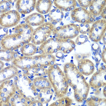
Immunohistochemistry of paraffin-embedded rat kidney using TMED10 Antibody.
Immunohistochemistry of paraffin-embedded mouse brain using TMED10 Antibody. |
||
Specification |
|||
Quantity |
|
||
| Select | Brand | Catalog No. | Product Name | Pack Size | Type | Field of Research | Specification | Quantity | Price(USD) | |
| 1 | Leading Biology | APR03440G | ITGA11 Antibody (N-term) | 100 μl | Polyclonal Antibodies |
|
$495.00 | Add Ask | ||
| 2 | Leading Biology | APR04537G | CMIP Antibody (C-term) | 100 μl | Polyclonal Antibodies |
|
$495.00 | Add Ask | ||
| 3 | Leading Biology | APR12422G | Human H4 Histamine Receptor (extracellular) Antibody | 50 μl | Polyclonal Antibodies |
|
$695.00 | Add Ask | ||
| 4 | Leading Biology | APR03844G | UBE2W Antibody (C-term) | 100 μl | Polyclonal Antibodies |
|
$495.00 | Add Ask | ||
| 5 | Leading Biology | APR04349G | HECTD2 Antibody (N-term) | 100 μl | Polyclonal Antibodies |
|
$495.00 | Add Ask | ||
| 6 | Leading Biology | APR03502G | IGHG1 Antibody (Center) | 100 μl | Polyclonal Antibodies |
|
$495.00 | Add Ask |
Leading Biology Inc.
2600 Hilltop DR, Building G, B Suite C138
Richmond, CA, 94806
Tel: 1-661-524(LBI)-0262
Email: info@leadingbiology.com
Complete this form and click send to ask us a question, request a quote or simply say hello.

You have 0 item in your cart

You have 0 item in your inquiry list