> Antigen, Antibodies, ELISA, Western Blot > Primary Antibody > Polyclonal Antibodies > SPTLC1 Polyclonal AntibodyBrand |
Leading Biology | Catalog Number |
APR26813N |
Product Type |
Polyclonal Antibodies | Field of Research |
Cardiovascular>Lipids |
Product Overview |
We constantly strive to ensure we provide our customers with the best antibodies. As a result of this work we offer this antibody in purified format.
We are in the process of updating our datasheets. If you have any questions regarding this update, please feel free to contact our technical support team.
This product is a high quality SPTLC1 Polyclonal Antibody.
|
||
Molecular Weight |
Calculated MW:
16kDa/52kDa
Observed MW:
53kDa
|
||
Species Reactivity |
Rabbit
|
||
Immunogen |
Recombinant fusion protein of human SPTLC1 (NP_006406.1).
|
||
Cross Reactivity |
Human,Mouse,Rat
|
||
Isotype |
IgG
|
||
GeneID |
|||
UniProt ID |
|||
Purity |
Affinity purification |
||
Storage & Stability |
Store at +4°C short term. For long-term storage, aliquot and store at -20°C or below. Stable for 12 months at -20°C. Avoid repeated freeze-thaw cycles.
|
||
Storage Buffer |
Buffer: PBS with 50% glycerol, pH7.3.
|
||
Applications |
WB,IHC
|
||
Dilution |
WB 1:500 - 1:2000
IHC 1:50 - 1:200
|
||
Product Description |
This gene encodes a member of the class-II pyridoxal-phosphate-dependent aminotransferase family. The encoded protein is the long chain base subunit 1 of serine palmitoyltransferase. Serine palmitoyltransferase converts L-serine and palmitoyl-CoA to 3-oxosphinganine with pyridoxal 5'-phosphate and is the key enzyme in sphingolipid biosynthesis. Mutations in this gene were identified in patients with hereditary sensory neuropathy type 1. Alternatively spliced variants encoding different isoforms have been identified. Pseudogenes of this gene have been defined on chromosomes 1, 6, 10, and 13.
|
||
Synonyms |
SPTLC1; HSAN1; HSN1; LBC1; LCB1; SPT1; SPTI; serine palmitoyltransferase 1
|
||
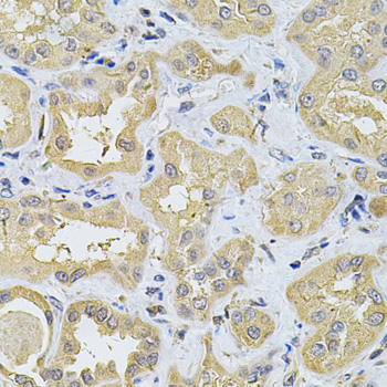
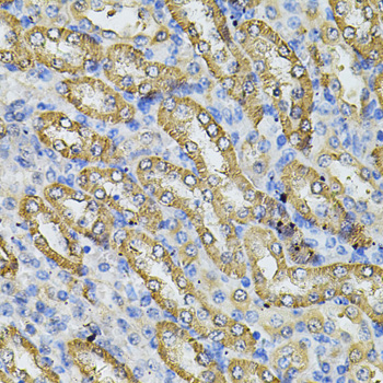
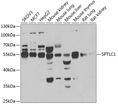
Images |
Western blot analysis of extracts of various cell lines, using SPTLC1 antibody.
Immunohistochemistry of paraffin-embedded human kidney using SPTLC1 Antibody.
Immunohistochemistry of paraffin-embedded mouse kidney using SPTLC1 Antibody. |
||
Specification |
|||
Quantity |
|
||
| Select | Brand | Catalog No. | Product Name | Pack Size | Type | Field of Research | Specification | Quantity | Price(USD) | |
| 1 | Leading Biology | APR03440G | ITGA11 Antibody (N-term) | 100 μl | Polyclonal Antibodies |
|
$495.00 | Add Ask | ||
| 2 | Leading Biology | APR04537G | CMIP Antibody (C-term) | 100 μl | Polyclonal Antibodies |
|
$495.00 | Add Ask | ||
| 3 | Leading Biology | APR12422G | Human H4 Histamine Receptor (extracellular) Antibody | 50 μl | Polyclonal Antibodies |
|
$695.00 | Add Ask | ||
| 4 | Leading Biology | APR03844G | UBE2W Antibody (C-term) | 100 μl | Polyclonal Antibodies |
|
$495.00 | Add Ask | ||
| 5 | Leading Biology | APR04349G | HECTD2 Antibody (N-term) | 100 μl | Polyclonal Antibodies |
|
$495.00 | Add Ask | ||
| 6 | Leading Biology | APR03502G | IGHG1 Antibody (Center) | 100 μl | Polyclonal Antibodies |
|
$495.00 | Add Ask |
Leading Biology Inc.
2600 Hilltop DR, Building G, B Suite C138
Richmond, CA, 94806
Tel: 1-661-524(LBI)-0262
Email: info@leadingbiology.com
Complete this form and click send to ask us a question, request a quote or simply say hello.

You have 0 item in your cart

You have 0 item in your inquiry list