> Antigen, Antibodies, ELISA, Western Blot > Primary Antibody > Polyclonal Antibodies > SKAP2 Polyclonal AntibodyBrand |
Leading Biology | Catalog Number |
APR26528N |
Product Type |
Polyclonal Antibodies | Field of Research |
Signal Transduction>Kinase |
Product Overview |
We constantly strive to ensure we provide our customers with the best antibodies. As a result of this work we offer this antibody in purified format.
We are in the process of updating our datasheets. If you have any questions regarding this update, please feel free to contact our technical support team.
This product is a high quality SKAP2 Polyclonal Antibody.
|
||
Molecular Weight |
Calculated MW:
41kDa
Observed MW:
50kDa
|
||
Species Reactivity |
Rabbit
|
||
Immunogen |
Recombinant fusion protein of human SKAP2 (NP_003921.2).
|
||
Cross Reactivity |
Human,Mouse,Rat
|
||
Isotype |
IgG
|
||
GeneID |
|||
UniProt ID |
|||
Purity |
Affinity purification |
||
Storage & Stability |
Store at +4°C short term. For long-term storage, aliquot and store at -20°C or below. Stable for 12 months at -20°C. Avoid repeated freeze-thaw cycles.
|
||
Storage Buffer |
Buffer: PBS with 50% glycerol, pH7.3.
|
||
Applications |
WB,IHC,IF
|
||
Dilution |
WB 1:500 - 1:2000
IHC 1:50 - 1:100
IF 1:50 - 1:100
|
||
Product Description |
The protein encoded by this gene shares homology with Src kinase-associated phosphoprotein 1, and is a substrate of Src family kinases. It is an adaptor protein that is thought to play an essential role in the Src signaling pathway, and in regulating proper activation of the immune system. This protein contains an amino terminal coiled-coil domain for self-dimerization, a plecskstrin homology (PH) domain required for interactions with lipids at the membrane, and a Src homology (SH3) domain at the carboxy terminus. Some reports indicate that this protein inhibits actin polymerization through interactions with actin assembly factors, and might negatively regulate the invasiveness of tumors by modulating actin assembly. Alternative splicing results in multiple transcript variants encoding different isoforms.
|
||
Synonyms |
SKAP2; PRAP; RA70; SAPS; SCAP2; SKAP-HOM; SKAP55R; src kinase-associated phosphoprotein 2
|
||
Images |
Western blot analysis of extracts of mouse lung, using SKAP2 antibody.
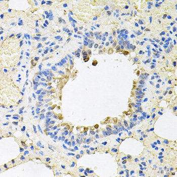
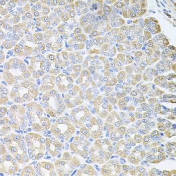
Immunohistochemistry of paraffin-embedded mouse stomach using SKAP2 antibody.
Immunohistochemistry of paraffin-embedded rat lung using SKAP2 antibody. |
||
Specification |
|||
Quantity |
|
||
| Select | Brand | Catalog No. | Product Name | Pack Size | Type | Field of Research | Specification | Quantity | Price(USD) | |
| 1 | Leading Biology | APR03440G | ITGA11 Antibody (N-term) | 100 μl | Polyclonal Antibodies |
|
$495.00 | Add Ask | ||
| 2 | Leading Biology | APR04537G | CMIP Antibody (C-term) | 100 μl | Polyclonal Antibodies |
|
$495.00 | Add Ask | ||
| 3 | Leading Biology | APR12422G | Human H4 Histamine Receptor (extracellular) Antibody | 50 μl | Polyclonal Antibodies |
|
$695.00 | Add Ask | ||
| 4 | Leading Biology | APR03844G | UBE2W Antibody (C-term) | 100 μl | Polyclonal Antibodies |
|
$495.00 | Add Ask | ||
| 5 | Leading Biology | APR04349G | HECTD2 Antibody (N-term) | 100 μl | Polyclonal Antibodies |
|
$495.00 | Add Ask | ||
| 6 | Leading Biology | APR03502G | IGHG1 Antibody (Center) | 100 μl | Polyclonal Antibodies |
|
$495.00 | Add Ask |
Leading Biology Inc.
2600 Hilltop DR, Building G, B Suite C138
Richmond, CA, 94806
Tel: 1-661-524(LBI)-0262
Email: info@leadingbiology.com
Complete this form and click send to ask us a question, request a quote or simply say hello.

You have 0 item in your cart

You have 0 item in your inquiry list