> Antigen, Antibodies, ELISA, Western Blot > Primary Antibody > Polyclonal Antibodies > SF1 Polyclonal AntibodyBrand |
Leading Biology | Catalog Number |
APR26517N |
Product Type |
Polyclonal Antibodies | Field of Research |
Epigenetics & Nuclear Signaling>RNA Binding |
Product Overview |
We constantly strive to ensure we provide our customers with the best antibodies. As a result of this work we offer this antibody in purified format.
We are in the process of updating our datasheets. If you have any questions regarding this update, please feel free to contact our technical support team.
This product is a high quality SF1 Polyclonal Antibody.
|
||
Molecular Weight |
Calculated MW:
59kDa/61kDa/65kDa/67kDa/68kDa/71kDa
Observed MW:
68kDa
|
||
Species Reactivity |
Rabbit
|
||
Immunogen |
Recombinant fusion protein of human SF1 (NP_973727.1).
|
||
Cross Reactivity |
Human,Mouse
|
||
Isotype |
IgG
|
||
GeneID |
|||
UniProt ID |
|||
Purity |
Affinity purification |
||
Storage & Stability |
Store at +4°C short term. For long-term storage, aliquot and store at -20°C or below. Stable for 12 months at -20°C. Avoid repeated freeze-thaw cycles.
|
||
Storage Buffer |
Buffer: PBS with 50% glycerol, pH7.3.
|
||
Applications |
WB,IHC
|
||
Dilution |
WB 1:500 - 1:2000
IHC 1:50 - 1:200
|
||
Product Description |
This gene encodes a nuclear pre-mRNA splicing factor. The encoded protein specifically recognizes the intron branch point sequence at the 3' splice site, together with the large subunit of U2 auxiliary factor (U2AF), and is required for the early stages of spliceosome assembly. It also plays a role in nuclear pre-mRNA retention and transcriptional repression. The encoded protein contains an N-terminal U2AF ligand motif, a central hnRNP K homology motif and quaking 2 region which bind a key branch-site adenosine within the branch point sequence, a zinc knuckles domain, and a C-terminal proline-rich domain. Alternative splicing results in multiple transcript variants.
|
||
Synonyms |
SF1; BBP; D11S636; MBBP; ZCCHC25; ZFM1; ZNF162; splicing factor 1
|
||
Images |
Western blot analysis of extracts of HepG2 cells, using SF1 antibody.
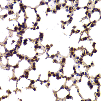
Immunohistochemistry of paraffin-embedded mouse lung using SF1 Antibody.
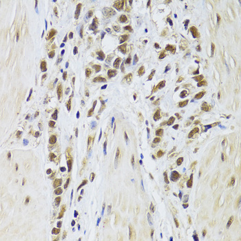
Immunohistochemistry of paraffin-embedded human gastric cancer using SF1 Antibody. |
||
Specification |
|||
Quantity |
|
||
| Select | Brand | Catalog No. | Product Name | Pack Size | Type | Field of Research | Specification | Quantity | Price(USD) | |
| 1 | Leading Biology | APR03440G | ITGA11 Antibody (N-term) | 100 μl | Polyclonal Antibodies |
|
$495.00 | Add Ask | ||
| 2 | Leading Biology | APR04537G | CMIP Antibody (C-term) | 100 μl | Polyclonal Antibodies |
|
$495.00 | Add Ask | ||
| 3 | Leading Biology | APR12422G | Human H4 Histamine Receptor (extracellular) Antibody | 50 μl | Polyclonal Antibodies |
|
$695.00 | Add Ask | ||
| 4 | Leading Biology | APR03844G | UBE2W Antibody (C-term) | 100 μl | Polyclonal Antibodies |
|
$495.00 | Add Ask | ||
| 5 | Leading Biology | APR04349G | HECTD2 Antibody (N-term) | 100 μl | Polyclonal Antibodies |
|
$495.00 | Add Ask | ||
| 6 | Leading Biology | APR03502G | IGHG1 Antibody (Center) | 100 μl | Polyclonal Antibodies |
|
$495.00 | Add Ask |
Leading Biology Inc.
2600 Hilltop DR, Building G, B Suite C138
Richmond, CA, 94806
Tel: 1-661-524(LBI)-0262
Email: info@leadingbiology.com
Complete this form and click send to ask us a question, request a quote or simply say hello.

You have 0 item in your cart

You have 0 item in your inquiry list