> Antigen, Antibodies, ELISA, Western Blot > Primary Antibody > Polyclonal Antibodies > NR2C2 Polyclonal AntibodyBrand |
Leading Biology | Catalog Number |
APR26515N |
Product Type |
Polyclonal Antibodies | Field of Research |
Cell Biology & Developmental Biology>ESC Pluripotency and Differentiation |
Product Overview |
We constantly strive to ensure we provide our customers with the best antibodies. As a result of this work we offer this antibody in purified format.
We are in the process of updating our datasheets. If you have any questions regarding this update, please feel free to contact our technical support team.
This product is a high quality NR2C2 Polyclonal Antibody.
|
||
Molecular Weight |
Calculated MW:
65kDa/67kDa
Observed MW:
65kDa
|
||
Species Reactivity |
Rabbit
|
||
Immunogen |
Recombinant fusion protein of human NR2C2 (NP_003289.2).
|
||
Cross Reactivity |
Human,Mouse,Rat
|
||
Isotype |
IgG
|
||
GeneID |
|||
UniProt ID |
|||
Purity |
Affinity purification |
||
Storage & Stability |
Store at +4°C short term. For long-term storage, aliquot and store at -20°C or below. Stable for 12 months at -20°C. Avoid repeated freeze-thaw cycles.
|
||
Storage Buffer |
Buffer: PBS with 50% glycerol, pH7.3.
|
||
Applications |
WB
|
||
Dilution |
WB 1:500 - 1:2000
|
||
Product Description |
This gene encodes a protein that belongs to the nuclear hormone receptor family. Members of this family act as ligand-activated transcription factors and function in many biological processes such as development, cellular differentiation and homeostasis. The activated receptor/ligand complex is translocated to the nucleus where it binds to hormone response elements of target genes. The protein encoded by this gene plays a role in protecting cells from oxidative stress and damage induced by ionizing radiation. The lack of a similar gene in mouse results in growth retardation, severe spinal curvature, subfertility, premature aging, and prostatic intraepithelial neoplasia (PIN) development. Alternative splicing results in multiple transcript variants encoding different isoforms.
|
||
Synonyms |
NR2C2; TAK1; TR4; nuclear receptor subfamily 2 group C member 2
|
||
Images |
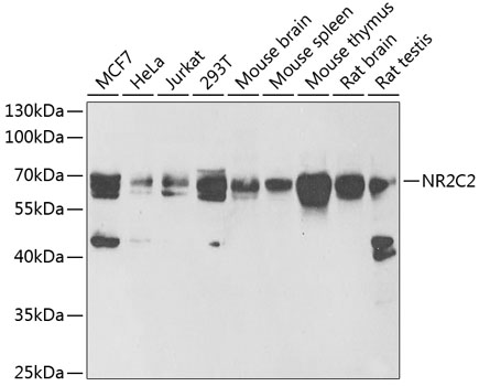
Western blot analysis of extracts of various cell lines, using NR2C2 antibody. |
||
Specification |
|||
Quantity |
|
||
| Select | Brand | Catalog No. | Product Name | Pack Size | Type | Field of Research | Specification | Quantity | Price(USD) | |
| 1 | Leading Biology | APR03440G | ITGA11 Antibody (N-term) | 100 μl | Polyclonal Antibodies |
|
$495.00 | Add Ask | ||
| 2 | Leading Biology | APR04537G | CMIP Antibody (C-term) | 100 μl | Polyclonal Antibodies |
|
$495.00 | Add Ask | ||
| 3 | Leading Biology | APR12422G | Human H4 Histamine Receptor (extracellular) Antibody | 50 μl | Polyclonal Antibodies |
|
$695.00 | Add Ask | ||
| 4 | Leading Biology | APR03844G | UBE2W Antibody (C-term) | 100 μl | Polyclonal Antibodies |
|
$495.00 | Add Ask | ||
| 5 | Leading Biology | APR04349G | HECTD2 Antibody (N-term) | 100 μl | Polyclonal Antibodies |
|
$495.00 | Add Ask | ||
| 6 | Leading Biology | APR03502G | IGHG1 Antibody (Center) | 100 μl | Polyclonal Antibodies |
|
$495.00 | Add Ask |
Leading Biology Inc.
2600 Hilltop DR, Building G, B Suite C138
Richmond, CA, 94806
Tel: 1-661-524(LBI)-0262
Email: info@leadingbiology.com
Complete this form and click send to ask us a question, request a quote or simply say hello.

You have 0 item in your cart

You have 0 item in your inquiry list