> Antigen, Antibodies, ELISA, Western Blot > Primary Antibody > Polyclonal Antibodies > IMPA1 Polyclonal AntibodyBrand |
Leading Biology | Catalog Number |
APR26475N |
Product Type |
Polyclonal Antibodies | Field of Research |
Endocrine & Metabolism>Lipid Metabolism |
Product Overview |
We constantly strive to ensure we provide our customers with the best antibodies. As a result of this work we offer this antibody in purified format.
We are in the process of updating our datasheets. If you have any questions regarding this update, please feel free to contact our technical support team.
This product is a high quality IMPA1 Polyclonal Antibody.
|
||
Molecular Weight |
Calculated MW:
21kDa/30kDa/36kDa
Observed MW:
30kDa
|
||
Species Reactivity |
Rabbit
|
||
Immunogen |
Recombinant fusion protein of human IMPA1 (NP_005527.1).
|
||
Cross Reactivity |
Human,Mouse,Rat
|
||
Isotype |
IgG
|
||
GeneID |
|||
UniProt ID |
|||
Purity |
Affinity purification |
||
Storage & Stability |
Store at +4°C short term. For long-term storage, aliquot and store at -20°C or below. Stable for 12 months at -20°C. Avoid repeated freeze-thaw cycles.
|
||
Storage Buffer |
Buffer: PBS with 50% glycerol, pH7.3.
|
||
Applications |
WB,IHC,IF
|
||
Dilution |
WB 1:500 - 1:2000
IHC 1:50 - 1:200
IF 1:10 - 1:100
|
||
Product Description |
This gene encodes an enzyme that dephosphorylates myo-inositol monophosphate to generate free myo-inositol, a precursor of phosphatidylinositol, and is therefore an important modulator of intracellular signal transduction via the production of the second messengers myoinositol 1,4,5-trisphosphate and diacylglycerol. This enzyme can also use myo-inositol-1,3-diphosphate, myo-inositol-1,4-diphosphate, scyllo-inositol-phosphate, glucose-1-phosphate, glucose-6-phosphate, fructose-1-phosphate, beta-glycerophosphate, and 2'-AMP as substrates. This enzyme shows magnesium-dependent phosphatase activity and is inhibited by therapeutic concentrations of lithium. Inhibition of inositol monophosphate hydroylosis and subsequent depletion of inositol for phosphatidylinositol synthesis may explain the anti-manic and anti-depressive effects of lithium administered to treat bipolar disorder. Alternative splicing results in multiple transcript variants encoding distinct isoforms. A pseudogene of this gene is also present on chromosome 8q21.13.
|
||
Synonyms |
IMPA1; IMP; IMPA; MRT59; inositol monophosphatase 1
|
||
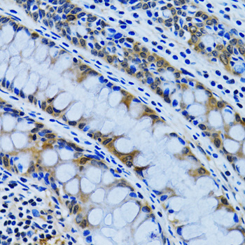
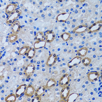
Images |
Western blot analysis of extracts of various cell lines, using IMPA1 antibody.
Immunohistochemistry of paraffin-embedded rat kidney using IMPA1 antibody.
Immunohistochemistry of paraffin-embedded human colon using IMPA1 antibody. |
||
Specification |
|||
Quantity |
|
||
| Select | Brand | Catalog No. | Product Name | Pack Size | Type | Field of Research | Specification | Quantity | Price(USD) | |
| 1 | Leading Biology | APR03440G | ITGA11 Antibody (N-term) | 100 μl | Polyclonal Antibodies |
|
$495.00 | Add Ask | ||
| 2 | Leading Biology | APR04537G | CMIP Antibody (C-term) | 100 μl | Polyclonal Antibodies |
|
$495.00 | Add Ask | ||
| 3 | Leading Biology | APR12422G | Human H4 Histamine Receptor (extracellular) Antibody | 50 μl | Polyclonal Antibodies |
|
$695.00 | Add Ask | ||
| 4 | Leading Biology | APR03844G | UBE2W Antibody (C-term) | 100 μl | Polyclonal Antibodies |
|
$495.00 | Add Ask | ||
| 5 | Leading Biology | APR04349G | HECTD2 Antibody (N-term) | 100 μl | Polyclonal Antibodies |
|
$495.00 | Add Ask | ||
| 6 | Leading Biology | APR03502G | IGHG1 Antibody (Center) | 100 μl | Polyclonal Antibodies |
|
$495.00 | Add Ask |
Leading Biology Inc.
2600 Hilltop DR, Building G, B Suite C138
Richmond, CA, 94806
Tel: 1-661-524(LBI)-0262
Email: info@leadingbiology.com
Complete this form and click send to ask us a question, request a quote or simply say hello.

You have 0 item in your cart

You have 0 item in your inquiry list