> Antigen, Antibodies, ELISA, Western Blot > Primary Antibody > Polyclonal Antibodies > UBE2B Polyclonal AntibodyBrand |
Leading Biology | Catalog Number |
APR26420N |
Product Type |
Polyclonal Antibodies | Field of Research |
Epigenetics & Nuclear Signaling>DNA Damage & Repair |
Product Overview |
We constantly strive to ensure we provide our customers with the best antibodies. As a result of this work we offer this antibody in purified format.
We are in the process of updating our datasheets. If you have any questions regarding this update, please feel free to contact our technical support team.
This product is a high quality UBE2B Polyclonal Antibody.
|
||
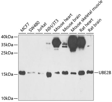
Molecular Weight |
Calculated MW:
17kDa
Observed MW:
16kDa
|
||
Species Reactivity |
Rabbit
|
||
Immunogen |
Recombinant fusion protein of human UBE2B (NP_003328.1).
|
||
Cross Reactivity |
Human,Mouse,Rat
|
||
Isotype |
IgG
|
||
GeneID |
|||
UniProt ID |
|||
Purity |
Affinity purification |
||
Storage & Stability |
Store at +4°C short term. For long-term storage, aliquot and store at -20°C or below. Stable for 12 months at -20°C. Avoid repeated freeze-thaw cycles.
|
||
Storage Buffer |
Buffer: PBS with 50% glycerol, pH7.3.
|
||
Applications |
WB,IHC
|
||
Dilution |
WB 1:500 - 1:2000
IHC 1:50 - 1:200
|
||
Product Description |
The modification of proteins with ubiquitin is an important cellular mechanism for targeting abnormal or short-lived proteins for degradation. Ubiquitination involves at least three classes of enzymes: ubiquitin-activating enzymes, or E1s, ubiquitin-conjugating enzymes, or E2s, and ubiquitin-protein ligases, or E3s. This gene encodes a member of the E2 ubiquitin-conjugating enzyme family. This enzyme is required for post-replicative DNA damage repair. Its protein sequence is 100% identical to the mouse, rat, and rabbit homologs, which indicates that this enzyme is highly conserved in eukaryotic evolution.
|
||
Synonyms |
UBE2B; E2-17kDa; HHR6B; HR6B; RAD6B; UBC2; ubiquitin-conjugating enzyme E2 B
|
||
Images |
Western blot analysis of extracts of various cell lines, using UBE2B antibody.
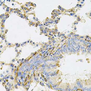
Immunohistochemistry of paraffin-embedded rat lung using UBE2B Antibody.
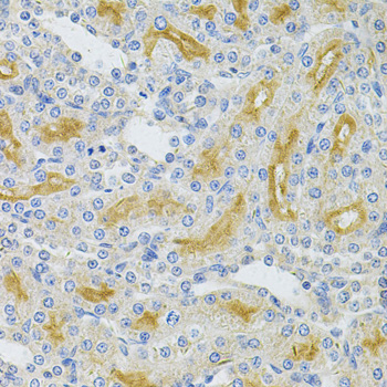
Immunohistochemistry of paraffin-embedded rat kidney using UBE2B Antibody. |
||
Specification |
|||
Quantity |
|
||
| Select | Brand | Catalog No. | Product Name | Pack Size | Type | Field of Research | Specification | Quantity | Price(USD) | |
| 1 | Leading Biology | APR03440G | ITGA11 Antibody (N-term) | 100 μl | Polyclonal Antibodies |
|
$495.00 | Add Ask | ||
| 2 | Leading Biology | APR04537G | CMIP Antibody (C-term) | 100 μl | Polyclonal Antibodies |
|
$495.00 | Add Ask | ||
| 3 | Leading Biology | APR12422G | Human H4 Histamine Receptor (extracellular) Antibody | 50 μl | Polyclonal Antibodies |
|
$695.00 | Add Ask | ||
| 4 | Leading Biology | APR03844G | UBE2W Antibody (C-term) | 100 μl | Polyclonal Antibodies |
|
$495.00 | Add Ask | ||
| 5 | Leading Biology | APR04349G | HECTD2 Antibody (N-term) | 100 μl | Polyclonal Antibodies |
|
$495.00 | Add Ask | ||
| 6 | Leading Biology | APR03502G | IGHG1 Antibody (Center) | 100 μl | Polyclonal Antibodies |
|
$495.00 | Add Ask |
Leading Biology Inc.
2600 Hilltop DR, Building G, B Suite C138
Richmond, CA, 94806
Tel: 1-661-524(LBI)-0262
Email: info@leadingbiology.com
Complete this form and click send to ask us a question, request a quote or simply say hello.

You have 0 item in your cart

You have 0 item in your inquiry list