> Antigen, Antibodies, ELISA, Western Blot > Primary Antibody > Polyclonal Antibodies > ILF2 Polyclonal AntibodyBrand |
Leading Biology | Catalog Number |
APR26180N |
Product Type |
Polyclonal Antibodies | Field of Research |
Epigenetics & Nuclear Signaling>RNA Binding |
Product Overview |
We constantly strive to ensure we provide our customers with the best antibodies. As a result of this work we offer this antibody in purified format.
We are in the process of updating our datasheets. If you have any questions regarding this update, please feel free to contact our technical support team.
This product is a high quality ILF2 Polyclonal Antibody.
|
||
Molecular Weight |
Calculated MW:
43kDa
Observed MW:
50kDa
|
||
Species Reactivity |
Rabbit
|
||
Immunogen |
Recombinant fusion protein of human ILF2 (NP_004506.2).
|
||
Cross Reactivity |
Human,Mouse,Rat
|
||
Isotype |
IgG
|
||
GeneID |
|||
UniProt ID |
|||
Purity |
Affinity purification |
||
Storage & Stability |
Store at +4°C short term. For long-term storage, aliquot and store at -20°C or below. Stable for 12 months at -20°C. Avoid repeated freeze-thaw cycles.
|
||
Storage Buffer |
Buffer: PBS with 50% glycerol, pH7.3.
|
||
Applications |
WB,IHC,IF
|
||
Dilution |
WB 1:500 - 1:2000
IHC 1:50 - 1:200
IF 1:50 - 1:200
|
||
Product Description |
The protein encoded by this gene is a transcription factor required for T-cell expression of the interleukin 2 gene. It also binds RNA and is an essential component for encapsidation and protein priming of hepatitis B viral polymerase. The encoded 45 kDa protein (NF45, ILF2) forms a complex with the 90 kDa interleukin enhancer-binding factor 3 (NF90, ILF3), and this complex has been shown to affect the redistribution of nuclear mRNA to the cytoplasm, to repair DNA breaks by nonhomologous end joining, and to negatively regulate the microRNA processing pathway. Knockdown of NF45 or NF90 protein retards cell growth, possibly by inhibition of mRNA stabilization. Alternative splicing results in multiple transcript variants. Related pseudogenes have been found on chromosomes 3 and 14.
|
||
Synonyms |
ILF2; NF45; PRO3063; interleukin enhancer-binding factor 2
|
||
Images |
Western blot analysis of extracts of various cell lines, using ILF2 antibody.
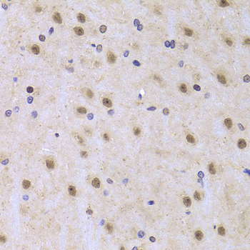
Immunohistochemistry of paraffin-embedded rat brain using ILF2 Antibody.
Immunofluorescence analysis of MCF7 cells using ILF2 antibody. |
||
Specification |
|||
Quantity |
|
||
| Select | Brand | Catalog No. | Product Name | Pack Size | Type | Field of Research | Specification | Quantity | Price(USD) | |
| 1 | Leading Biology | APR03440G | ITGA11 Antibody (N-term) | 100 μl | Polyclonal Antibodies |
|
$495.00 | Add Ask | ||
| 2 | Leading Biology | APR04537G | CMIP Antibody (C-term) | 100 μl | Polyclonal Antibodies |
|
$495.00 | Add Ask | ||
| 3 | Leading Biology | APR12422G | Human H4 Histamine Receptor (extracellular) Antibody | 50 μl | Polyclonal Antibodies |
|
$695.00 | Add Ask | ||
| 4 | Leading Biology | APR03844G | UBE2W Antibody (C-term) | 100 μl | Polyclonal Antibodies |
|
$495.00 | Add Ask | ||
| 5 | Leading Biology | APR04349G | HECTD2 Antibody (N-term) | 100 μl | Polyclonal Antibodies |
|
$495.00 | Add Ask | ||
| 6 | Leading Biology | APR03502G | IGHG1 Antibody (Center) | 100 μl | Polyclonal Antibodies |
|
$495.00 | Add Ask |
Leading Biology Inc.
2600 Hilltop DR, Building G, B Suite C138
Richmond, CA, 94806
Tel: 1-661-524(LBI)-0262
Email: info@leadingbiology.com
Complete this form and click send to ask us a question, request a quote or simply say hello.

You have 0 item in your cart

You have 0 item in your inquiry list