> Antigen, Antibodies, ELISA, Western Blot > Primary Antibody > Polyclonal Antibodies > HTR2B Polyclonal AntibodyBrand |
Leading Biology | Catalog Number |
APR25998N |
Product Type |
Polyclonal Antibodies | Field of Research |
Endocrine & Metabolism>Endocrine and metabolic diseases |
Product Overview |
We constantly strive to ensure we provide our customers with the best antibodies. As a result of this work we offer this antibody in purified format.
We are in the process of updating our datasheets. If you have any questions regarding this update, please feel free to contact our technical support team.
This product is a high quality HTR2B Polyclonal Antibody.
|
||
Molecular Weight |
Calculated MW:
54kDa
Observed MW:
54kDa
|
||
Species Reactivity |
Rabbit
|
||
Immunogen |
Recombinant fusion protein of human HTR2B (NP_000858.3).
|
||
Cross Reactivity |
Human,Mouse,Rat
|
||
Isotype |
IgG
|
||
GeneID |
|||
UniProt ID |
|||
Purity |
Affinity purification |
||
Storage & Stability |
Store at +4°C short term. For long-term storage, aliquot and store at -20°C or below. Stable for 12 months at -20°C. Avoid repeated freeze-thaw cycles.
|
||
Storage Buffer |
Buffer: PBS with 50% glycerol, pH7.3.
|
||
Applications |
WB,IHC,IF
|
||
Dilution |
WB 1:500 - 1:2000
IHC 1:50 - 1:200
IF 1:10 - 1:100
|
||
Product Description |
This gene encodes one of the several different receptors for 5-hydroxytryptamine (serotonin) that belongs to the G-protein coupled receptor 1 family. Serotonin is a biogenic hormone that functions as a neurotransmitter, a hormone, and a mitogen. Serotonin receptors mediate many of the central and peripheral physiologic functions of serotonin, including regulation of cardiovascular functions and impulsive behavior. Population and family-based analyses of a minor allele (glutamine-to-stop substitution, designated Q20*) which blocks expression of this protein, and knockout studies in mice, suggest a role for this gene in impulsivity. However, other factors, such as elevated testosterone levels, may also be involved. Alternatively spliced transcript variants have been found for this gene.
|
||
Synonyms |
HTR2B; 5-HT(2B); 5-HT-2B; 5-HT2B; 5-hydroxytryptamine receptor 2B
|
||
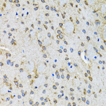
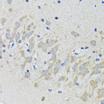
Images |
Western blot analysis of extracts of various cell lines, using HTR2B antibody.
Immunohistochemistry of paraffin-embedded rat brain using HTR2B antibody.
Immunohistochemistry of paraffin-embedded mouse brain using HTR2B antibody. |
||
Specification |
|||
Quantity |
|
||
| Select | Brand | Catalog No. | Product Name | Pack Size | Type | Field of Research | Specification | Quantity | Price(USD) | |
| 1 | Leading Biology | APR03440G | ITGA11 Antibody (N-term) | 100 μl | Polyclonal Antibodies |
|
$495.00 | Add Ask | ||
| 2 | Leading Biology | APR04537G | CMIP Antibody (C-term) | 100 μl | Polyclonal Antibodies |
|
$495.00 | Add Ask | ||
| 3 | Leading Biology | APR12422G | Human H4 Histamine Receptor (extracellular) Antibody | 50 μl | Polyclonal Antibodies |
|
$695.00 | Add Ask | ||
| 4 | Leading Biology | APR03844G | UBE2W Antibody (C-term) | 100 μl | Polyclonal Antibodies |
|
$495.00 | Add Ask | ||
| 5 | Leading Biology | APR04349G | HECTD2 Antibody (N-term) | 100 μl | Polyclonal Antibodies |
|
$495.00 | Add Ask | ||
| 6 | Leading Biology | APR03502G | IGHG1 Antibody (Center) | 100 μl | Polyclonal Antibodies |
|
$495.00 | Add Ask |
Leading Biology Inc.
2600 Hilltop DR, Building G, B Suite C138
Richmond, CA, 94806
Tel: 1-661-524(LBI)-0262
Email: info@leadingbiology.com
Complete this form and click send to ask us a question, request a quote or simply say hello.

You have 0 item in your cart

You have 0 item in your inquiry list