> Antigen, Antibodies, ELISA, Western Blot > Primary Antibody > Polyclonal Antibodies > MAPKBP1 Polyclonal AntibodyBrand |
Leading Biology | Catalog Number |
APR24889N |
Product Type |
Polyclonal Antibodies | Field of Research |
Signal Transduction>Kinase |
Product Overview |
We constantly strive to ensure we provide our customers with the best antibodies. As a result of this work we offer this antibody in purified format.
We are in the process of updating our datasheets. If you have any questions regarding this update, please feel free to contact our technical support team.
This product is a high quality MAPKBP1 Polyclonal Antibody.
|
||
Molecular Weight |
Calculated MW:
23kDa/109kDa/134kDa/149kDa/163kDa
Observed MW:
164kDa
|
||
Species Reactivity |
Rabbit
|
||
Immunogen |
A synthetic peptide of human MAPKBP1 (NP_001122080.1).
|
||
Cross Reactivity |
Human,Mouse,Rat
|
||
Isotype |
IgG
|
||
GeneID |
|||
UniProt ID |
|||
Purity |
Affinity purification |
||
Storage & Stability |
Store at +4°C short term. For long-term storage, aliquot and store at -20°C or below. Stable for 12 months at -20°C. Avoid repeated freeze-thaw cycles.
|
||
Storage Buffer |
Buffer: PBS with 50% glycerol, pH7.3.
|
||
Applications |
WB,IHC
|
||
Dilution |
WB 1:500 - 1:2000
IHC 1:50 - 1:100
|
||
Product Description |
This gene encodes a scaffold protein that regulates the JNK (c-Jun N-terminal kinase) and NOD2 (nucleotide-binding oligomerization domain-containing protein 2) signaling pathways. The encoded protein interacts with another related JNK pathway scaffold protein, WDR62, via a conserved dimerization domain, and enhances JNK signaling. This protein may play a role in bacterial immunity by binding to the NOD2 receptor and negatively regulating downstream antibacterial and pro-inflammatory signaling. Mutations in this gene that impair cellular localization of the encoded protein cause a form of nephronophthisis, an autosomal-recessive kidney disorder, in human patients.
|
||
Synonyms |
MAPKBP1; JNKBP-1; JNKBP1; NPHP20; mitogen-activated protein kinase-binding protein 1
|
||
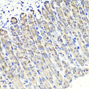
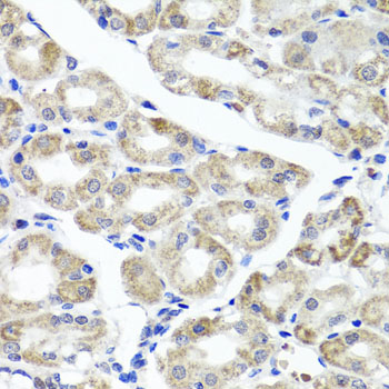
Images |
Western blot analysis of extracts of various cell lines, using MAPKBP1 antibody.
Immunohistochemistry of paraffin-embedded mouse stomach using MAPKBP1 antibody.
Immunohistochemistry of paraffin-embedded human stomach using MAPKBP1 antibody. |
||
Specification |
|||
Quantity |
|
||
| Select | Brand | Catalog No. | Product Name | Pack Size | Type | Field of Research | Specification | Quantity | Price(USD) | |
| 1 | Leading Biology | APR03440G | ITGA11 Antibody (N-term) | 100 μl | Polyclonal Antibodies |
|
$495.00 | Add Ask | ||
| 2 | Leading Biology | APR04537G | CMIP Antibody (C-term) | 100 μl | Polyclonal Antibodies |
|
$495.00 | Add Ask | ||
| 3 | Leading Biology | APR12422G | Human H4 Histamine Receptor (extracellular) Antibody | 50 μl | Polyclonal Antibodies |
|
$695.00 | Add Ask | ||
| 4 | Leading Biology | APR03844G | UBE2W Antibody (C-term) | 100 μl | Polyclonal Antibodies |
|
$495.00 | Add Ask | ||
| 5 | Leading Biology | APR04349G | HECTD2 Antibody (N-term) | 100 μl | Polyclonal Antibodies |
|
$495.00 | Add Ask | ||
| 6 | Leading Biology | APR03502G | IGHG1 Antibody (Center) | 100 μl | Polyclonal Antibodies |
|
$495.00 | Add Ask |
Leading Biology Inc.
2600 Hilltop DR, Building G, B Suite C138
Richmond, CA, 94806
Tel: 1-661-524(LBI)-0262
Email: info@leadingbiology.com
Complete this form and click send to ask us a question, request a quote or simply say hello.

You have 0 item in your cart

You have 0 item in your inquiry list