> Antigen, Antibodies, ELISA, Western Blot > Primary Antibody > Polyclonal Antibodies > WNT1 Polyclonal AntibodyBrand |
Leading Biology | Catalog Number |
APR24778N |
Product Type |
Polyclonal Antibodies | Field of Research |
Cell Biology & Developmental Biology>ESC Pluripotency and Differentiation |
Product Overview |
We constantly strive to ensure we provide our customers with the best antibodies. As a result of this work we offer this antibody in purified format.
We are in the process of updating our datasheets. If you have any questions regarding this update, please feel free to contact our technical support team.
This product is a high quality WNT1 Polyclonal Antibody.
|
||
Molecular Weight |
Calculated MW:
40kDa
Observed MW:
49kDa
|
||
Species Reactivity |
Rabbit
|
||
Immunogen |
Recombinant fusion protein of human WNT1 (NP_005421.1).
|
||
Cross Reactivity |
Human,Mouse,Rat
|
||
Isotype |
IgG
|
||
GeneID |
|||
UniProt ID |
|||
Purity |
Affinity purification |
||
Storage & Stability |
Store at +4°C short term. For long-term storage, aliquot and store at -20°C or below. Stable for 12 months at -20°C. Avoid repeated freeze-thaw cycles.
|
||
Storage Buffer |
Buffer: PBS with 50% glycerol, pH7.3.
|
||
Applications |
WB,IHC
|
||
Dilution |
WB 1:1000 - 1:4000
IHC 1:50 - 1:200
|
||
Product Description |
The WNT gene family consists of structurally related genes which encode secreted signaling proteins. These proteins have been implicated in oncogenesis and in several developmental processes, including regulation of cell fate and patterning during embryogenesis. This gene is a member of the WNT gene family. It is very conserved in evolution, and the protein encoded by this gene is known to be 98% identical to the mouse Wnt1 protein at the amino acid level. The studies in mouse indicate that the Wnt1 protein functions in the induction of the mesencephalon and cerebellum. This gene was originally considered as a candidate gene for Joubert syndrome, an autosomal recessive disorder with cerebellar hypoplasia as a leading feature. However, further studies suggested that the gene mutations might not have a significant role in Joubert syndrome. This gene is clustered with another family member, WNT10B, in the chromosome 12q13 region.
|
||
Synonyms |
WNT1; BMND16; INT1; OI15; Wnt family member 1
|
||
Images |
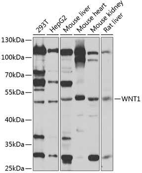
Western blot analysis of extracts of various cell lines, using WNT1 antibody.
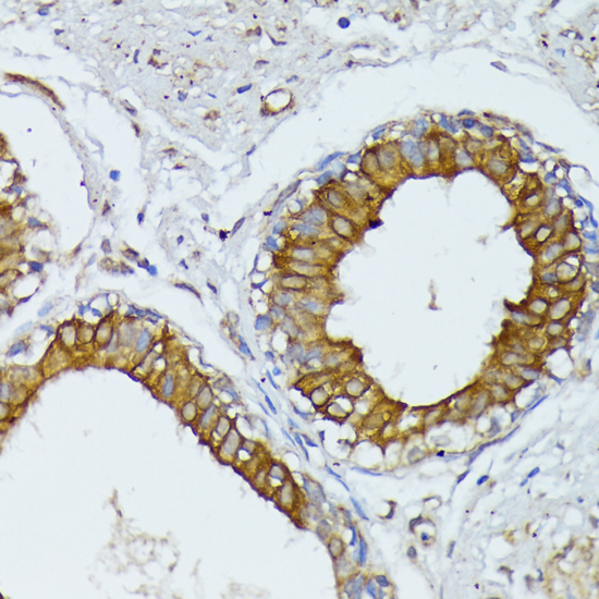
Immunohistochemistry of paraffin-embedded human mammary cancer using WNT1 antibody.
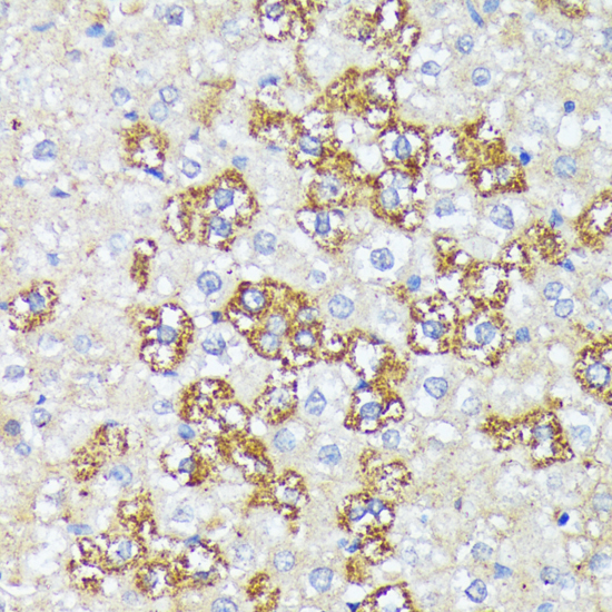
Immunohistochemistry of paraffin-embedded rat liver using WNT1 antibody. |
||
Specification |
|||
Quantity |
|
||
| Select | Brand | Catalog No. | Product Name | Pack Size | Type | Field of Research | Specification | Quantity | Price(USD) | |
| 1 | Leading Biology | APR03440G | ITGA11 Antibody (N-term) | 100 μl | Polyclonal Antibodies |
|
$495.00 | Add Ask | ||
| 2 | Leading Biology | APR04537G | CMIP Antibody (C-term) | 100 μl | Polyclonal Antibodies |
|
$495.00 | Add Ask | ||
| 3 | Leading Biology | APR12422G | Human H4 Histamine Receptor (extracellular) Antibody | 50 μl | Polyclonal Antibodies |
|
$695.00 | Add Ask | ||
| 4 | Leading Biology | APR03844G | UBE2W Antibody (C-term) | 100 μl | Polyclonal Antibodies |
|
$495.00 | Add Ask | ||
| 5 | Leading Biology | APR04349G | HECTD2 Antibody (N-term) | 100 μl | Polyclonal Antibodies |
|
$495.00 | Add Ask | ||
| 6 | Leading Biology | APR03502G | IGHG1 Antibody (Center) | 100 μl | Polyclonal Antibodies |
|
$495.00 | Add Ask |
Leading Biology Inc.
2600 Hilltop DR, Building G, B Suite C138
Richmond, CA, 94806
Tel: 1-661-524(LBI)-0262
Email: info@leadingbiology.com
Complete this form and click send to ask us a question, request a quote or simply say hello.

You have 0 item in your cart

You have 0 item in your inquiry list