> Antigen, Antibodies, ELISA, Western Blot > Primary Antibody > Polyclonal Antibodies > FCGR1B Polyclonal AntibodyBrand |
Leading Biology | Catalog Number |
APR23741N |
Product Type |
Polyclonal Antibodies | Field of Research |
|
Product Overview |
We constantly strive to ensure we provide our customers with the best antibodies. As a result of this work we offer this antibody in purified format.
We are in the process of updating our datasheets. If you have any questions regarding this update, please feel free to contact our technical support team.
This product is a high quality FCGR1B Polyclonal Antibody.
|
||
Molecular Weight |
Calculated MW:
_
Observed MW:
27kDa
|
||
Species Reactivity |
Rabbit
|
||
Immunogen |
A synthetic peptide of Human FCGR1B.
|
||
Cross Reactivity |
Human
|
||
Isotype |
IgG
|
||
GeneID |
|||
UniProt ID |
|||
Purity |
Affinity purification |
||
Storage & Stability |
Store at +4°C short term. For long-term storage, aliquot and store at -20°C or below. Stable for 12 months at -20°C. Avoid repeated freeze-thaw cycles.
|
||
Storage Buffer |
Buffer: PBS with 50% glycerol, pH7.3.
|
||
Applications |
WB,IHC
|
||
Dilution |
WB 1:500 - 1:2000
IHC 1:50 - 1:200
|
||
Product Description |
Three distinct, but closely related classes of receptors that bind the Fc portion of IgG have been identified (Fcgamma RI, II and III). The FcgammaRI family consists of three closely related genes termed A, B, and C. This gene encodes the low affinity FcgammaRIB receptor that may play an important role in humoral immune response. Alternatively spliced transcript variants encoding different isoforms have been described for this gene. [provided by RefSeq, Oct 2011]
|
||
Synonyms |
CD64b, IGFRB
|
||
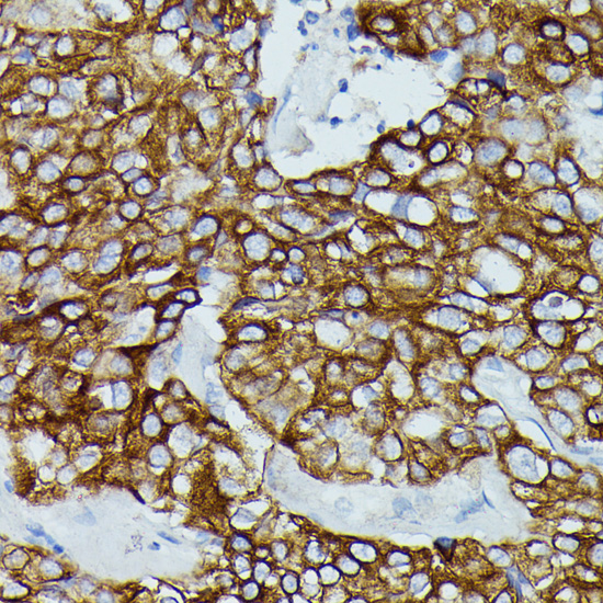
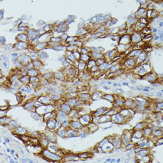
Images |
Western blot analysis of extracts of Mouse plasma, using FCGR1B antibody.
Immunohistochemistry of paraffin-embedded human lung cancer using FCGR1B antibody.
Immunohistochemistry of paraffin-embedded human mammary cancer using FCGR1B antibody. |
||
Specification |
|||
Quantity |
|
||
| Select | Brand | Catalog No. | Product Name | Pack Size | Type | Field of Research | Specification | Quantity | Price(USD) | |
| 1 | Leading Biology | APR03440G | ITGA11 Antibody (N-term) | 100 μl | Polyclonal Antibodies |
|
$495.00 | Add Ask | ||
| 2 | Leading Biology | APR04537G | CMIP Antibody (C-term) | 100 μl | Polyclonal Antibodies |
|
$495.00 | Add Ask | ||
| 3 | Leading Biology | APR12422G | Human H4 Histamine Receptor (extracellular) Antibody | 50 μl | Polyclonal Antibodies |
|
$695.00 | Add Ask | ||
| 4 | Leading Biology | APR03844G | UBE2W Antibody (C-term) | 100 μl | Polyclonal Antibodies |
|
$495.00 | Add Ask | ||
| 5 | Leading Biology | APR04349G | HECTD2 Antibody (N-term) | 100 μl | Polyclonal Antibodies |
|
$495.00 | Add Ask | ||
| 6 | Leading Biology | APR03502G | IGHG1 Antibody (Center) | 100 μl | Polyclonal Antibodies |
|
$495.00 | Add Ask |
Leading Biology Inc.
2600 Hilltop DR, Building G, B Suite C138
Richmond, CA, 94806
Tel: 1-661-524(LBI)-0262
Email: info@leadingbiology.com
Complete this form and click send to ask us a question, request a quote or simply say hello.

You have 0 item in your cart

You have 0 item in your inquiry list