> Antigen, Antibodies, ELISA, Western Blot > Primary Antibody > Polyclonal Antibodies > KPNA1 Polyclonal AntibodyBrand |
Leading Biology | Catalog Number |
APR23700N |
Product Type |
Polyclonal Antibodies | Field of Research |
|
Product Overview |
We constantly strive to ensure we provide our customers with the best antibodies. As a result of this work we offer this antibody in purified format.
We are in the process of updating our datasheets. If you have any questions regarding this update, please feel free to contact our technical support team.
This product is a high quality KPNA1 Polyclonal Antibody.
|
||
Molecular Weight |
Calculated MW:
60kDa
Observed MW:
60kDa/70kDa
|
||
Species Reactivity |
Rabbit
|
||
Immunogen |
Recombinant fusion protein of human KPNA1 (NP_002255.3).
|
||
Cross Reactivity |
Human,Mouse,Rat
|
||
Isotype |
IgG
|
||
GeneID |
|||
UniProt ID |
|||
Purity |
Affinity purification |
||
Storage & Stability |
Store at +4°C short term. For long-term storage, aliquot and store at -20°C or below. Stable for 12 months at -20°C. Avoid repeated freeze-thaw cycles.
|
||
Storage Buffer |
Buffer: PBS with 50% glycerol, pH7.3.
|
||
Applications |
WB,IHC,IF
|
||
Dilution |
WB 1:500 - 1:2000
IHC 1:50 - 1:200
IF 1:50 - 1:200
|
||
Product Description |
The transport of molecules between the nucleus and the cytoplasm in eukaryotic cells is mediated by the nuclear pore complex (NPC), which consists of 60-100 proteins. Small molecules (up to 70 kD) can pass through the nuclear pore by nonselective diffusion while larger molecules are transported by an active process. The protein encoded by this gene belongs to the importin alpha family, and is involved in nuclear protein import. This protein interacts with the recombination activating gene 1 (RAG1) protein and is a putative substrate of the RAG1 ubiquitin ligase. Alternative splicing results in multiple transcript variants.
|
||
Synonyms |
KPNA1; IPOA5; NPI-1; RCH2; SRP1; importin subunit alpha-5
|
||
Images |
Western blot analysis of extracts of various cell lines, using KPNA1 antibody.
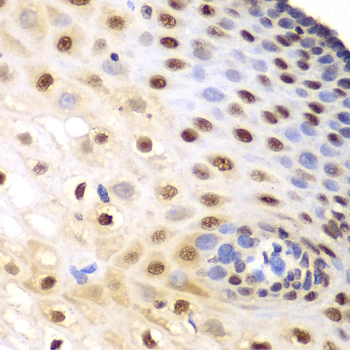
Immunohistochemistry of paraffin-embedded human lung cancer using KPNA1 antibody.
Immunohistochemistry of paraffin-embedded human esophagus using KPNA1 antibody. |
||
Specification |
|||
Quantity |
|
||
| Select | Brand | Catalog No. | Product Name | Pack Size | Type | Field of Research | Specification | Quantity | Price(USD) | |
| 1 | Leading Biology | APR03440G | ITGA11 Antibody (N-term) | 100 μl | Polyclonal Antibodies |
|
$495.00 | Add Ask | ||
| 2 | Leading Biology | APR04537G | CMIP Antibody (C-term) | 100 μl | Polyclonal Antibodies |
|
$495.00 | Add Ask | ||
| 3 | Leading Biology | APR12422G | Human H4 Histamine Receptor (extracellular) Antibody | 50 μl | Polyclonal Antibodies |
|
$695.00 | Add Ask | ||
| 4 | Leading Biology | APR03844G | UBE2W Antibody (C-term) | 100 μl | Polyclonal Antibodies |
|
$495.00 | Add Ask | ||
| 5 | Leading Biology | APR04349G | HECTD2 Antibody (N-term) | 100 μl | Polyclonal Antibodies |
|
$495.00 | Add Ask | ||
| 6 | Leading Biology | APR03502G | IGHG1 Antibody (Center) | 100 μl | Polyclonal Antibodies |
|
$495.00 | Add Ask |
Leading Biology Inc.
2600 Hilltop DR, Building G, B Suite C138
Richmond, CA, 94806
Tel: 1-661-524(LBI)-0262
Email: info@leadingbiology.com
Complete this form and click send to ask us a question, request a quote or simply say hello.

You have 0 item in your cart

You have 0 item in your inquiry list