> Antigen, Antibodies, ELISA, Western Blot > Primary Antibody > Polyclonal Antibodies > AVP Polyclonal AntibodyBrand |
Leading Biology | Catalog Number |
APR23589N |
Product Type |
Polyclonal Antibodies | Field of Research |
Cell Biology & Developmental Biology>Growth factors |
Product Overview |
We constantly strive to ensure we provide our customers with the best antibodies. As a result of this work we offer this antibody in purified format.
We are in the process of updating our datasheets. If you have any questions regarding this update, please feel free to contact our technical support team.
This product is a high quality AVP Polyclonal Antibody.
|
||
Molecular Weight |
Calculated MW:
17kDa
Observed MW:
17kDa
|
||
Species Reactivity |
Rabbit
|
||
Immunogen |
Recombinant fusion protein of human AVP (NP_000481.2).
|
||
Cross Reactivity |
Human,Mouse,Rat
|
||
Isotype |
IgG
|
||
GeneID |
|||
UniProt ID |
|||
Purity |
Affinity purification |
||
Storage & Stability |
Store at +4°C short term. For long-term storage, aliquot and store at -20°C or below. Stable for 12 months at -20°C. Avoid repeated freeze-thaw cycles.
|
||
Storage Buffer |
Buffer: PBS with 50% glycerol, pH7.3.
|
||
Applications |
WB,IHC
|
||
Dilution |
WB 1:500 - 1:2000
IHC 1:50 - 1:200
|
||
Product Description |
This gene encodes a member of the vasopressin/oxytocin family and preproprotein that is proteolytically processed to generate multiple protein products. These products include the neuropeptide hormone arginine vasopressin, and two other peptides, neurophysin 2 and copeptin. Arginine vasopressin is a posterior pituitary hormone that is synthesized in the supraoptic nucleus and paraventricular nucleus of the hypothalamus. Along with its carrier protein, neurophysin 2, it is packaged into neurosecretory vesicles and transported axonally to the nerve endings in the neurohypophysis where it is either stored or secreted into the bloodstream. The precursor is thought to be activated while it is being transported along the axon to the posterior pituitary. Arginine vasopressin acts as a growth factor by enhancing pH regulation through acid-base transport systems. It has a direct antidiuretic action on the kidney, and also causes vasoconstriction of the peripheral vessels. This hormone can contract smooth muscle during parturition and lactation. It is also involved in cognition, tolerance, adaptation and complex sexual and maternal behaviour, as well as in the regulation of water excretion and cardiovascular functions. Mutations in this gene cause autosomal dominant neurohypophyseal diabetes insipidus (ADNDI). This gene is present in a gene cluster with the related gene oxytocin on chromosome 20.
|
||
Synonyms |
AVP; ADH; ARVP; AVP-NPII; AVRP; VP; arginine vasopressin
|
||
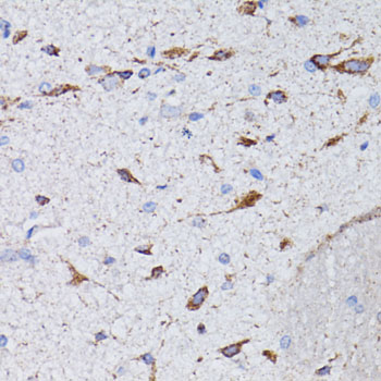
Images |
Western blot analysis of extracts of various cell lines, using AVP antibody.
Immunohistochemistry of paraffin-embedded rat brain using AVP antibody. |
||
Specification |
|||
Quantity |
|
||
| Select | Brand | Catalog No. | Product Name | Pack Size | Type | Field of Research | Specification | Quantity | Price(USD) | |
| 1 | Leading Biology | APR03440G | ITGA11 Antibody (N-term) | 100 μl | Polyclonal Antibodies |
|
$495.00 | Add Ask | ||
| 2 | Leading Biology | APR04537G | CMIP Antibody (C-term) | 100 μl | Polyclonal Antibodies |
|
$495.00 | Add Ask | ||
| 3 | Leading Biology | APR12422G | Human H4 Histamine Receptor (extracellular) Antibody | 50 μl | Polyclonal Antibodies |
|
$695.00 | Add Ask | ||
| 4 | Leading Biology | APR03844G | UBE2W Antibody (C-term) | 100 μl | Polyclonal Antibodies |
|
$495.00 | Add Ask | ||
| 5 | Leading Biology | APR04349G | HECTD2 Antibody (N-term) | 100 μl | Polyclonal Antibodies |
|
$495.00 | Add Ask | ||
| 6 | Leading Biology | APR03502G | IGHG1 Antibody (Center) | 100 μl | Polyclonal Antibodies |
|
$495.00 | Add Ask |
Leading Biology Inc.
2600 Hilltop DR, Building G, B Suite C138
Richmond, CA, 94806
Tel: 1-661-524(LBI)-0262
Email: info@leadingbiology.com
Complete this form and click send to ask us a question, request a quote or simply say hello.

You have 0 item in your cart

You have 0 item in your inquiry list