> Antigen, Antibodies, ELISA, Western Blot > Primary Antibody > Polyclonal Antibodies > NCSTN Polyclonal AntibodyBrand |
Leading Biology | Catalog Number |
APR23530N |
Product Type |
Polyclonal Antibodies | Field of Research |
Signal Transduction>ErbB-HER Signaling Pathway |
Product Overview |
We constantly strive to ensure we provide our customers with the best antibodies. As a result of this work we offer this antibody in purified format.
We are in the process of updating our datasheets. If you have any questions regarding this update, please feel free to contact our technical support team.
This product is a high quality NCSTN Polyclonal Antibody.
|
||
Molecular Weight |
Calculated MW:
76kDa/78kDa
Observed MW:
Refer to figures
|
||
Species Reactivity |
Rabbit
|
||
Immunogen |
Recombinant fusion protein of human NCSTN (NP_056146.1).
|
||
Cross Reactivity |
Human
|
||
Isotype |
IgG
|
||
GeneID |
|||
UniProt ID |
|||
Purity |
Affinity purification |
||
Storage & Stability |
Store at +4°C short term. For long-term storage, aliquot and store at -20°C or below. Stable for 12 months at -20°C. Avoid repeated freeze-thaw cycles.
|
||
Storage Buffer |
Buffer: PBS with 50% glycerol, pH7.3.
|
||
Applications |
WB,IHC
|
||
Dilution |
WB 1:500 - 1:2000
IHC 1:50 - 1:200
|
||
Product Description |
This gene encodes a type I transmembrane glycoprotein that is an integral component of the multimeric gamma-secretase complex. The encoded protein cleaves integral membrane proteins, including Notch receptors and beta-amyloid precursor protein, and may be a stabilizing cofactor required for gamma-secretase complex assembly. The cleavage of beta-amyloid precursor protein yields amyloid beta peptide, the main component of the neuritic plaque and the hallmark lesion in the brains of patients with Alzheimer's disease; however, the nature of the encoded protein's role in Alzheimer's disease is not known for certain. Mutations in this gene are associated with familial acne inversa. A pseudogene of this gene is present on chromosome 21. Alternatively spliced transcript variants of this gene have been described, but the full-length nature of some of these variants has not been determined.
|
||
Synonyms |
NCSTN; ATAG1874; nicastrin
|
||
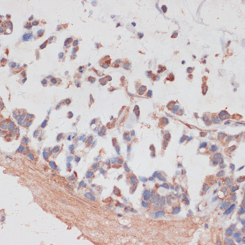
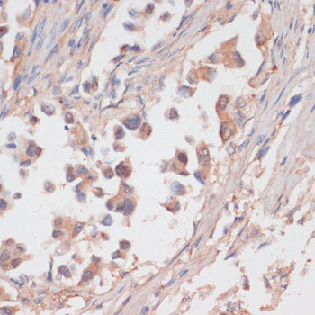
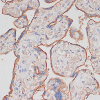
Images |
Immunohistochemistry of paraffin-embedded human lung cancer using NCSTN antibody.
Immunohistochemistry of paraffin-embedded human placenta using NCSTN antibody.
Immunohistochemistry of paraffin-embedded human gastric cancer using NCSTN antibody. |
||
Specification |
|||
Quantity |
|
||
| Select | Brand | Catalog No. | Product Name | Pack Size | Type | Field of Research | Specification | Quantity | Price(USD) | |
| 1 | Leading Biology | APR03440G | ITGA11 Antibody (N-term) | 100 μl | Polyclonal Antibodies |
|
$495.00 | Add Ask | ||
| 2 | Leading Biology | APR04537G | CMIP Antibody (C-term) | 100 μl | Polyclonal Antibodies |
|
$495.00 | Add Ask | ||
| 3 | Leading Biology | APR12422G | Human H4 Histamine Receptor (extracellular) Antibody | 50 μl | Polyclonal Antibodies |
|
$695.00 | Add Ask | ||
| 4 | Leading Biology | APR03844G | UBE2W Antibody (C-term) | 100 μl | Polyclonal Antibodies |
|
$495.00 | Add Ask | ||
| 5 | Leading Biology | APR04349G | HECTD2 Antibody (N-term) | 100 μl | Polyclonal Antibodies |
|
$495.00 | Add Ask | ||
| 6 | Leading Biology | APR03502G | IGHG1 Antibody (Center) | 100 μl | Polyclonal Antibodies |
|
$495.00 | Add Ask |
Leading Biology Inc.
2600 Hilltop DR, Building G, B Suite C138
Richmond, CA, 94806
Tel: 1-661-524(LBI)-0262
Email: info@leadingbiology.com
Complete this form and click send to ask us a question, request a quote or simply say hello.

You have 0 item in your cart

You have 0 item in your inquiry list