> Antigen, Antibodies, ELISA, Western Blot > Primary Antibody > Polyclonal Antibodies > [KO Validated] ADRBK1 Polyclonal AntibodyBrand |
Leading Biology | Catalog Number |
APR23223N |
Product Type |
Polyclonal Antibodies | Field of Research |
Signal Transduction>G protein signaling |
Product Overview |
We constantly strive to ensure we provide our customers with the best antibodies. As a result of this work we offer this antibody in purified format.
We are in the process of updating our datasheets. If you have any questions regarding this update, please feel free to contact our technical support team.
This product is a high quality [KO Validated] ADRBK1 Polyclonal Antibody.
|
||
Molecular Weight |
Calculated MW:
79kDa
Observed MW:
80kDa
|
||
Species Reactivity |
Rabbit
|
||
Immunogen |
Recombinant fusion protein of human ADRBK1 (NP_001610.2).
|
||
Cross Reactivity |
Human,Mouse,Rat
|
||
Isotype |
IgG
|
||
GeneID |
|||
UniProt ID |
|||
Purity |
Affinity purification |
||
Storage & Stability |
Store at +4°C short term. For long-term storage, aliquot and store at -20°C or below. Stable for 12 months at -20°C. Avoid repeated freeze-thaw cycles.
|
||
Storage Buffer |
Buffer: PBS with 50% glycerol, pH7.3.
|
||
Applications |
WB,IHC
|
||
Dilution |
WB 1:500 - 1:2000
IHC 1:50 - 1:200
|
||
Product Description |
The product of this gene phosphorylates the beta-2-adrenergic receptor and appears to mediate agonist-specific desensitization observed at high agonist concentrations. This protein is an ubiquitous cytosolic enzyme that specifically phosphorylates the activated form of the beta-adrenergic and related G-protein-coupled receptors. Abnormal coupling of beta-adrenergic receptor to G protein is involved in the pathogenesis of the failing heart.
|
||
Synonyms |
GRK2; ADRBK1; BARK1; BETA-ARK1; beta-adrenergic receptor kinase 1
|
||
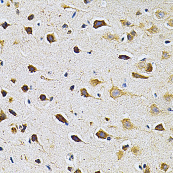
Images |
Western blot analysis of extracts of various cell lines, using ADRBK1 antibody.
Western blot analysis of extracts from normal (control) and ADRBK1 knockout (KO) 293T cells, using ADRBK1 antibody.
Immunohistochemistry of paraffin-embedded rat brain using ADRBK1 Antibody. |
||
Specification |
|||
Quantity |
|
||
| Select | Brand | Catalog No. | Product Name | Pack Size | Type | Field of Research | Specification | Quantity | Price(USD) | |
| 1 | Leading Biology | APR03440G | ITGA11 Antibody (N-term) | 100 μl | Polyclonal Antibodies |
|
$495.00 | Add Ask | ||
| 2 | Leading Biology | APR04537G | CMIP Antibody (C-term) | 100 μl | Polyclonal Antibodies |
|
$495.00 | Add Ask | ||
| 3 | Leading Biology | APR12422G | Human H4 Histamine Receptor (extracellular) Antibody | 50 μl | Polyclonal Antibodies |
|
$695.00 | Add Ask | ||
| 4 | Leading Biology | APR03844G | UBE2W Antibody (C-term) | 100 μl | Polyclonal Antibodies |
|
$495.00 | Add Ask | ||
| 5 | Leading Biology | APR04349G | HECTD2 Antibody (N-term) | 100 μl | Polyclonal Antibodies |
|
$495.00 | Add Ask | ||
| 6 | Leading Biology | APR03502G | IGHG1 Antibody (Center) | 100 μl | Polyclonal Antibodies |
|
$495.00 | Add Ask |
Leading Biology Inc.
2600 Hilltop DR, Building G, B Suite C138
Richmond, CA, 94806
Tel: 1-661-524(LBI)-0262
Email: info@leadingbiology.com
Complete this form and click send to ask us a question, request a quote or simply say hello.

You have 0 item in your cart

You have 0 item in your inquiry list