> Antigen, Antibodies, ELISA, Western Blot > Primary Antibody > Polyclonal Antibodies > PTHLH Polyclonal AntibodyBrand |
Leading Biology | Catalog Number |
APR23136N |
Product Type |
Polyclonal Antibodies | Field of Research |
Cell Biology & Developmental Biology>Cell Cycle |
Product Overview |
We constantly strive to ensure we provide our customers with the best antibodies. As a result of this work we offer this antibody in purified format.
We are in the process of updating our datasheets. If you have any questions regarding this update, please feel free to contact our technical support team.
This product is a high quality PTHLH Polyclonal Antibody.
|
||
Molecular Weight |
Calculated MW:
19kDa/20kDa/23kDa
Observed MW:
_
|
||
Species Reactivity |
Rabbit
|
||
Immunogen |
Recombinant fusion protein of human PTHLH (NP_945315.1).
|
||
Cross Reactivity |
Human,Mouse,Rat
|
||
Isotype |
IgG
|
||
GeneID |
|||
UniProt ID |
|||
Purity |
Affinity purification |
||
Storage & Stability |
Store at +4°C short term. For long-term storage, aliquot and store at -20°C or below. Stable for 12 months at -20°C. Avoid repeated freeze-thaw cycles.
|
||
Storage Buffer |
Buffer: PBS with 50% glycerol, pH7.3.
|
||
Applications |
IHC
|
||
Dilution |
IHC 1:50 - 1:200
|
||
Product Description |
The protein encoded by this gene is a member of the parathyroid hormone family. This hormone, via its receptor, PTHR1, regulates endochondral bone development and epithelial-mesenchymal interactions during the formation of the mammary glands and teeth. It is responsible for most cases of humoral hypercalcemia of malignancy, and mutations in this gene are associated with brachydactyly type E2 (BDE2). Alternatively spliced transcript variants have been found for this gene. There is also evidence for alternative translation initiation from non-AUG (CUG and GUG) start sites, downstream of the initiator AUG codon, resulting in nuclear forms of this hormone.
|
||
Synonyms |
PTHLH; BDE2; HHM; PLP; PTHR; PTHRP; parathyroid hormone like hormone
|
||
Images |
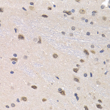
Immunohistochemistry of paraffin-embedded rat brain using PTHLH antibody.
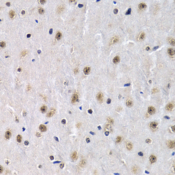
Immunohistochemistry of paraffin-embedded mouse brain using PTHLH antibody.
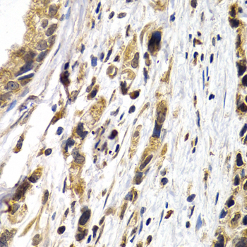
Immunohistochemistry of paraffin-embedded human gastric cancer using PTHLH antibody. |
||
Specification |
|||
Quantity |
|
||
| Select | Brand | Catalog No. | Product Name | Pack Size | Type | Field of Research | Specification | Quantity | Price(USD) | |
| 1 | Leading Biology | APR03440G | ITGA11 Antibody (N-term) | 100 μl | Polyclonal Antibodies |
|
$495.00 | Add Ask | ||
| 2 | Leading Biology | APR04537G | CMIP Antibody (C-term) | 100 μl | Polyclonal Antibodies |
|
$495.00 | Add Ask | ||
| 3 | Leading Biology | APR12422G | Human H4 Histamine Receptor (extracellular) Antibody | 50 μl | Polyclonal Antibodies |
|
$695.00 | Add Ask | ||
| 4 | Leading Biology | APR03844G | UBE2W Antibody (C-term) | 100 μl | Polyclonal Antibodies |
|
$495.00 | Add Ask | ||
| 5 | Leading Biology | APR04349G | HECTD2 Antibody (N-term) | 100 μl | Polyclonal Antibodies |
|
$495.00 | Add Ask | ||
| 6 | Leading Biology | APR03502G | IGHG1 Antibody (Center) | 100 μl | Polyclonal Antibodies |
|
$495.00 | Add Ask |
Leading Biology Inc.
2600 Hilltop DR, Building G, B Suite C138
Richmond, CA, 94806
Tel: 1-661-524(LBI)-0262
Email: info@leadingbiology.com
Complete this form and click send to ask us a question, request a quote or simply say hello.

You have 0 item in your cart

You have 0 item in your inquiry list