> Antigen, Antibodies, ELISA, Western Blot > Primary Antibody > Polyclonal Antibodies > NOX2 / gp91phox Polyclonal AntibodyBrand |
Leading Biology | Catalog Number |
APR22945N |
Product Type |
Polyclonal Antibodies | Field of Research |
Cell Biology & Developmental Biology>Ferroptosis |
Product Overview |
We constantly strive to ensure we provide our customers with the best antibodies. As a result of this work we offer this antibody in purified format.
We are in the process of updating our datasheets. If you have any questions regarding this update, please feel free to contact our technical support team.
This product is a high quality NOX2 / gp91phox Polyclonal Antibody.
|
||
Molecular Weight |
Calculated MW:
65kDa
Observed MW:
65kDa
|
||
Species Reactivity |
Rabbit
|
||
Immunogen |
Recombinant fusion protein of human NOX2 / gp91phox (NP_000388.2).
|
||
Cross Reactivity |
Human,Mouse,Rat
|
||
Isotype |
IgG
|
||
GeneID |
|||
UniProt ID |
|||
Purity |
Affinity purification |
||
Storage & Stability |
Store at +4°C short term. For long-term storage, aliquot and store at -20°C or below. Stable for 12 months at -20°C. Avoid repeated freeze-thaw cycles.
|
||
Storage Buffer |
Buffer: PBS with 50% glycerol, pH7.3.
|
||
Applications |
WB,IHC,IF
|
||
Dilution |
WB 1:500 - 1:2000
IHC 1:50 - 1:200
IF 1:50 - 1:200
|
||
Product Description |
Cytochrome b (-245) is composed of cytochrome b alpha (CYBA) and beta (CYBB) chain. It has been proposed as a primary component of the microbicidal oxidase system of phagocytes. CYBB deficiency is one of five described biochemical defects associated with chronic granulomatous disease (CGD). In this disorder, there is decreased activity of phagocyte NADPH oxidase; neutrophils are able to phagocytize bacteria but cannot kill them in the phagocytic vacuoles. The cause of the killing defect is an inability to increase the cell's respiration and consequent failure to deliver activated oxygen into the phagocytic vacuole.
|
||
Synonyms |
CYBB; AMCBX2; CGD; GP91-1; GP91-PHOX; GP91PHOX; IMD34; NOX2; p91-PHOX; cytochrome b-245 beta chain
|
||
Images |
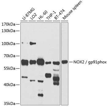
Western blot analysis of extracts of various cell lines, using NOX2 / gp91phox antibody.
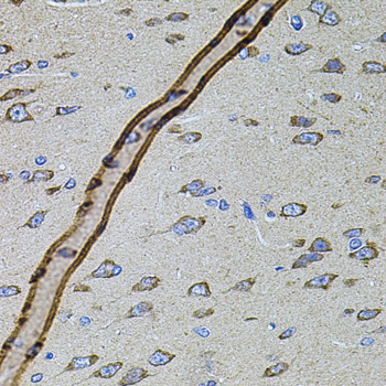
Immunohistochemistry of paraffin-embedded rat brain using NOX2 / gp91phox antibody.
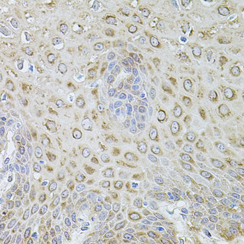
Immunohistochemistry of paraffin-embedded human esophagus using NOX2 / gp91phox antibody. |
||
Specification |
|||
Quantity |
|
||
| Select | Brand | Catalog No. | Product Name | Pack Size | Type | Field of Research | Specification | Quantity | Price(USD) | |
| 1 | Leading Biology | APR03440G | ITGA11 Antibody (N-term) | 100 μl | Polyclonal Antibodies |
|
$495.00 | Add Ask | ||
| 2 | Leading Biology | APR04537G | CMIP Antibody (C-term) | 100 μl | Polyclonal Antibodies |
|
$495.00 | Add Ask | ||
| 3 | Leading Biology | APR12422G | Human H4 Histamine Receptor (extracellular) Antibody | 50 μl | Polyclonal Antibodies |
|
$695.00 | Add Ask | ||
| 4 | Leading Biology | APR03844G | UBE2W Antibody (C-term) | 100 μl | Polyclonal Antibodies |
|
$495.00 | Add Ask | ||
| 5 | Leading Biology | APR04349G | HECTD2 Antibody (N-term) | 100 μl | Polyclonal Antibodies |
|
$495.00 | Add Ask | ||
| 6 | Leading Biology | APR03502G | IGHG1 Antibody (Center) | 100 μl | Polyclonal Antibodies |
|
$495.00 | Add Ask |
Leading Biology Inc.
2600 Hilltop DR, Building G, B Suite C138
Richmond, CA, 94806
Tel: 1-661-524(LBI)-0262
Email: info@leadingbiology.com
Complete this form and click send to ask us a question, request a quote or simply say hello.

You have 0 item in your cart

You have 0 item in your inquiry list