> Antigen, Antibodies, ELISA, Western Blot > Primary Antibody > Polyclonal Antibodies > IGHMBP2 Polyclonal AntibodyBrand |
Leading Biology | Catalog Number |
APR22640N |
Product Type |
Polyclonal Antibodies | Field of Research |
Neuroscience>Neurodegenerative Diseases |
Product Overview |
We constantly strive to ensure we provide our customers with the best antibodies. As a result of this work we offer this antibody in purified format.
We are in the process of updating our datasheets. If you have any questions regarding this update, please feel free to contact our technical support team.
This product is a high quality IGHMBP2 Polyclonal Antibody.
|
||
Molecular Weight |
Calculated MW:
109kDa
Observed MW:
Refer to figures
|
||
Species Reactivity |
Rabbit
|
||
Immunogen |
Recombinant fusion protein of human IGHMBP2 (NP_002171.2).
|
||
Cross Reactivity |
Human,Mouse,Rat
|
||
Isotype |
IgG
|
||
GeneID |
|||
UniProt ID |
|||
Purity |
Affinity purification |
||
Storage & Stability |
Store at +4°C short term. For long-term storage, aliquot and store at -20°C or below. Stable for 12 months at -20°C. Avoid repeated freeze-thaw cycles.
|
||
Storage Buffer |
Buffer: PBS with 50% glycerol, pH7.3.
|
||
Applications |
WB,IHC,IF
|
||
Dilution |
WB 1:500 - 1:2000
IHC 1:50 - 1:100
IF 1:50 - 1:100
|
||
Product Description |
This gene encodes a helicase superfamily member that binds a specific DNA sequence from the immunoglobulin mu chain switch region. Mutations in this gene lead to spinal muscle atrophy with respiratory distress type 1.
|
||
Synonyms |
IGHMBP2; CATF1; CMT2S; HCSA; HMN6; SMARD1; SMUBP2; ZFAND7; DNA-binding protein SMUBP-2
|
||
Images |
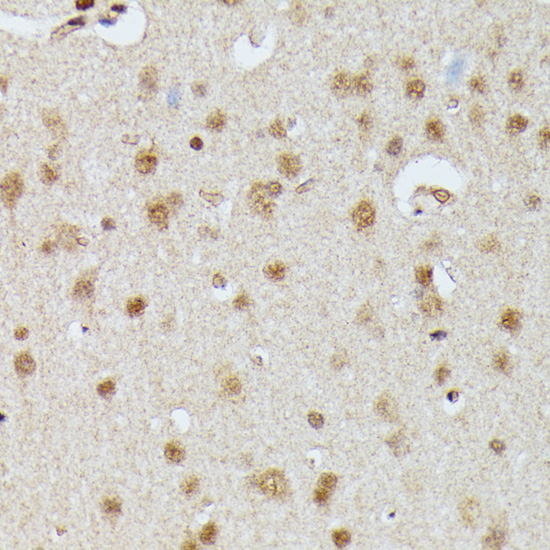
Immunohistochemistry of paraffin-embedded rat brain using IGHMBP2 antibody.
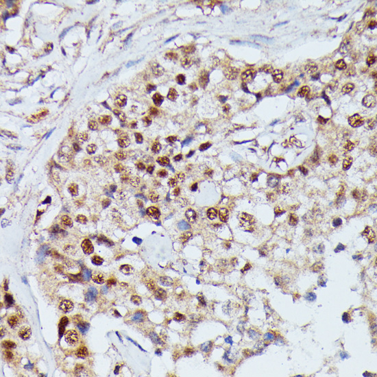
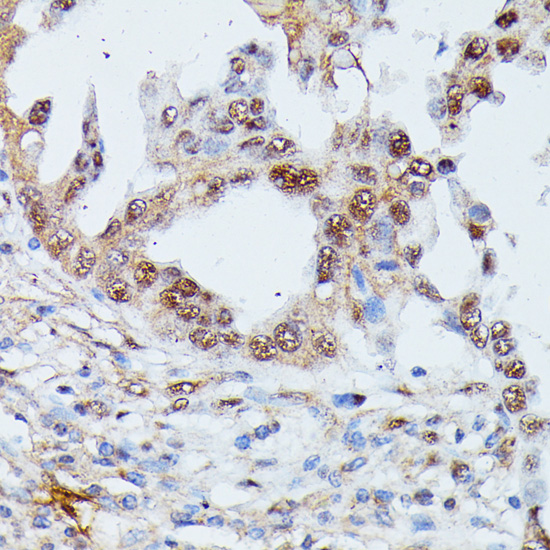
Immunohistochemistry of paraffin-embedded human lung cancer using IGHMBP2 antibody.
Immunohistochemistry of paraffin-embedded human mammary cancer using IGHMBP2 antibody. |
||
Specification |
|||
Quantity |
|
||
| Select | Brand | Catalog No. | Product Name | Pack Size | Type | Field of Research | Specification | Quantity | Price(USD) | |
| 1 | Leading Biology | APR03440G | ITGA11 Antibody (N-term) | 100 μl | Polyclonal Antibodies |
|
$495.00 | Add Ask | ||
| 2 | Leading Biology | APR04537G | CMIP Antibody (C-term) | 100 μl | Polyclonal Antibodies |
|
$495.00 | Add Ask | ||
| 3 | Leading Biology | APR12422G | Human H4 Histamine Receptor (extracellular) Antibody | 50 μl | Polyclonal Antibodies |
|
$695.00 | Add Ask | ||
| 4 | Leading Biology | APR03844G | UBE2W Antibody (C-term) | 100 μl | Polyclonal Antibodies |
|
$495.00 | Add Ask | ||
| 5 | Leading Biology | APR04349G | HECTD2 Antibody (N-term) | 100 μl | Polyclonal Antibodies |
|
$495.00 | Add Ask | ||
| 6 | Leading Biology | APR03502G | IGHG1 Antibody (Center) | 100 μl | Polyclonal Antibodies |
|
$495.00 | Add Ask |
Leading Biology Inc.
2600 Hilltop DR, Building G, B Suite C138
Richmond, CA, 94806
Tel: 1-661-524(LBI)-0262
Email: info@leadingbiology.com
Complete this form and click send to ask us a question, request a quote or simply say hello.

You have 0 item in your cart

You have 0 item in your inquiry list