> Antigen, Antibodies, ELISA, Western Blot > Primary Antibody > Polyclonal Antibodies > ETV1 Polyclonal AntibodyBrand |
Leading Biology | Catalog Number |
APR19897N |
Product Type |
Polyclonal Antibodies | Field of Research |
Stem Cells>Hematopoietic Progenitors |
Product Overview |
We constantly strive to ensure we provide our customers with the best antibodies. As a result of this work we offer this antibody in purified format.
We are in the process of updating our datasheets. If you have any questions regarding this update, please feel free to contact our technical support team.
This product is a high quality ETV1 Polyclonal Antibody.
|
||
Molecular Weight |
Calculated MW:
43kDa/48kDa/50kDa/52kDa/53kDa/55kDa
Observed MW:
_
|
||
Species Reactivity |
Rabbit
|
||
Immunogen |
Recombinant fusion protein of human ETV1 (NP_004947.2).
|
||
Cross Reactivity |
Human,Mouse,Rat
|
||
Isotype |
IgG
|
||
GeneID |
|||
UniProt ID |
|||
Purity |
Affinity purification |
||
Storage & Stability |
Store at +4°C short term. For long-term storage, aliquot and store at -20°C or below. Stable for 12 months at -20°C. Avoid repeated freeze-thaw cycles.
|
||
Storage Buffer |
Buffer: PBS with 50% glycerol, pH7.3.
|
||
Applications |
IHC,IF
|
||
Dilution |
IHC 1:50 - 1:200
IF 1:50 - 1:200
|
||
Product Description |
This gene encodes a member of the ETS (E twenty-six) family of transcription factors. The ETS proteins regulate many target genes that modulate biological processes like cell growth, angiogenesis, migration, proliferation and differentiation. All ETS proteins contain an ETS DNA-binding domain that binds to DNA sequences containing the consensus 5'-CGGA[AT]-3'. The protein encoded by this gene contains a conserved short acidic transactivation domain (TAD) in the N-terminal region, in addition to the ETS DNA-binding domain in the C-terminal region. This gene is involved in chromosomal translocations, which result in multiple fusion proteins including EWS-ETV1 in Ewing sarcoma and at least 10 ETV1 partners (see PMID: 19657377, Table 1) in prostate cancer. In addition to chromosomal rearrangement, this gene is overexpressed in prostate cancer, melanoma and gastrointestinal stromal tumor. Multiple alternatively spliced transcript variants encoding different isoforms have been identified.
|
||
Synonyms |
ETV1; ER81; ETS variant 1
|
||
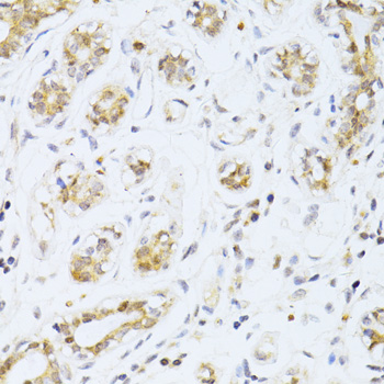
Images |
Immunohistochemistry of paraffin-embedded rat pancreas using ETV1 antibody.
Immunohistochemistry of paraffin-embedded human breast cancer using ETV1 antibody.
Immunohistochemistry of paraffin-embedded mouse pancreas using ETV1 antibody. |
||
Specification |
|||
Quantity |
|
||
| Select | Brand | Catalog No. | Product Name | Pack Size | Type | Field of Research | Specification | Quantity | Price(USD) | |
| 1 | Leading Biology | APR03440G | ITGA11 Antibody (N-term) | 100 μl | Polyclonal Antibodies |
|
$495.00 | Add Ask | ||
| 2 | Leading Biology | APR04537G | CMIP Antibody (C-term) | 100 μl | Polyclonal Antibodies |
|
$495.00 | Add Ask | ||
| 3 | Leading Biology | APR12422G | Human H4 Histamine Receptor (extracellular) Antibody | 50 μl | Polyclonal Antibodies |
|
$695.00 | Add Ask | ||
| 4 | Leading Biology | APR03844G | UBE2W Antibody (C-term) | 100 μl | Polyclonal Antibodies |
|
$495.00 | Add Ask | ||
| 5 | Leading Biology | APR04349G | HECTD2 Antibody (N-term) | 100 μl | Polyclonal Antibodies |
|
$495.00 | Add Ask | ||
| 6 | Leading Biology | APR03502G | IGHG1 Antibody (Center) | 100 μl | Polyclonal Antibodies |
|
$495.00 | Add Ask |
Leading Biology Inc.
2600 Hilltop DR, Building G, B Suite C138
Richmond, CA, 94806
Tel: 1-661-524(LBI)-0262
Email: info@leadingbiology.com
Complete this form and click send to ask us a question, request a quote or simply say hello.

You have 0 item in your cart

You have 0 item in your inquiry list