> Antigen, Antibodies, ELISA, Western Blot > Primary Antibody > Polyclonal Antibodies > alpha1D-Adrenoceptor (extracellular) AntibodyBrand |
Leading Biology | Catalog Number |
APR11386G |
Product Type |
Polyclonal Antibodies | Field of Research |
|
Product Overview |
We constantly strive to ensure we provide our customers with the best antibodies. As a result of this work we offer this antibody in purified format.
We are in the process of updating our datasheets. If you have any questions regarding this update, please feel free to contact our technical support team.
This product is a high quality alpha1D-Adrenoceptor (extracellular) antibody.
|
||
Molecular Weight |
59354 Da
|
||
Host |
Rabbit
|
||
Species Reactivity |
Human, Mouse, Rat
|
||
Target |
Peptide (C)EPVPPDERF*SGITEE, corresponding to amino acid residues? 231-245 of rat ?±1D-Adrenoceptor with replacement of cysteine 240? (C240) with serine (*S) (Accession P23944 ). 3rd extracellular loop.
|
||
GeneID |
|||
UniProt ID |
|||
Summary |
Adrenoceptors (also called Adrenergic receptors) are the receptors for the catecholamines adrenaline and noradrenaline (called epinephrine and norepinephrine in the United States).Adrenaline and noradrenaline play important roles in the control of blood pressure, myocardial contractile rate and force, airway reactivity, and a variety of metabolic and central nervous system functions. The Adrenoceptors are members of the G-protein coupled receptor (GPCR) superfamily of membrane proteins. They share a common structure of seven putative transmembrane domains, an extracellular amino terminus, and a cytoplasmic carboxyl terminus.The Adrenoceptors are divided into three types: α1, α2 and β-Adrenoceptors. Each type is further divided into at least three subtypes: α1A, α1B, α1D, α2A, α2B, α2C, β1, β2, β31,2. The Adrenoceptors are expressed in nearly all peripheral tissues and in the central nervous system1,2. α1-Adrenergic Receptors play an important role in the physiological response to epinephrine and norepinephrine, particularly in the cardiovascular system. All three cloned α1 receptors (α1A, α1B, and α1D) couple to Gq/11. While their cellular distribution is clear, their functional role is less so due to the lack of specific agonists/antagonists3. As these receptors lack specific agonists/antagonists knock-out mice studies have most significantly shed light on the cellular role of Adrenoceptors. Individual α1-Adrenoceptor knock-out mice do not display physical abnormalities in general. Similar knock-out studies indicate that all α1 subtypes seem to be involved in the regulation of blood pressure3. Also, studies indicate that α1D-Adrenoceptor seems to play an important role in aortic contraction4, renal function, nociception, basal locomotor activity3 as well as bladder contraction5. Abgent is pleased to offer a highly specific antibody directed against an extracellular epitope of rat α1D-Adrenoceptor. Anti-α1D-Adrenoceptor (extracellular) antibody (#AG1377) can be used in western blot, indirect flow cytometry and immunohistochemical applications. It has been designed to recognize α1D-Adrenoceptor from mouse, rat and human samples.
|
||
Form |
Affinity purified antibody, Liquid |
||
Storage & Stability |
Store at +4°C short term. For long-term storage, aliquot and store at -20°C or below. Stable for 12 months at -20°C. Avoid repeated freeze-thaw cycles.
|
||
Applications |
WB, IHC, FC
|
||
Dilution |
WB~~1:200-1:2000
IHC~~1:100
|
||
Synonyms |
Alpha-1D adrenergic receptor, Alpha-1A adrenergic receptor, Alpha-1D adrenoreceptor, Alpha-1D adrenoceptor, RA42, Adra1d, Adra1a
|
||
Images |
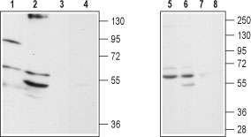
Western blot analysis of rat brain stem (lanes 1 and 3), mouse brain (lanes 2 and 4), SH-SY5Y (lanes 5 and 7) and Jurkat (lanes 6 and 8) lysates: 1, 2, 5, 6. Anti-α1D-Adrenoceptor (extracellular) antibody ( APR11386G), (1:200). 3, 4, 7, 8. Anti-α1D-Adrenoceptor (extracellular) antibody, preincubated with the control peptide antigen.
Expression of α1D-Adrenoceptor in rat heart Immunohistochemical staining of rat heart paraffin embedded sections using Anti-α1D-Adrenoceptor (extracellular) antibody ( APR11386G), (1:100). α1D-Adrenoceptor is expressed in cardiomyocytes of the myocardium and in the smooth muscle of the blood vessels (arrows). Hematoxilin is used as the counterstain.
Expression of α1D-Adrenoceptor in rat neocortex Immunohistochemical staining of α1D-Adrenoceptor in rat neocortex using Anti-α1D-Adrenoceptor (extracellular) antibody ( APR11386G). A. Most intense staining of α1D-Adrenoceptor (green) appears in apical dendrites (thin horizontal arrows) but also in the soma (thick horizontal arrow). Few cortical interneurons express α1D-Adrenoceptor. B. The same section was also stained for parvalbumin and one cell (marked with a vertical arrow) also expresses α1D-Adrenoceptor. |
||
Specification |
|||
Quantity |
|
||
| Select | Brand | Catalog No. | Product Name | Pack Size | Type | Field of Research | Specification | Quantity | Price(USD) | |
| 1 | Leading Biology | APR03440G | ITGA11 Antibody (N-term) | 100 μl | Polyclonal Antibodies |
|
$495.00 | Add Ask | ||
| 2 | Leading Biology | APR04537G | CMIP Antibody (C-term) | 100 μl | Polyclonal Antibodies |
|
$495.00 | Add Ask | ||
| 3 | Leading Biology | APR12422G | Human H4 Histamine Receptor (extracellular) Antibody | 50 μl | Polyclonal Antibodies |
|
$695.00 | Add Ask | ||
| 4 | Leading Biology | APR03844G | UBE2W Antibody (C-term) | 100 μl | Polyclonal Antibodies |
|
$495.00 | Add Ask | ||
| 5 | Leading Biology | APR04349G | HECTD2 Antibody (N-term) | 100 μl | Polyclonal Antibodies |
|
$495.00 | Add Ask | ||
| 6 | Leading Biology | APR03502G | IGHG1 Antibody (Center) | 100 μl | Polyclonal Antibodies |
|
$495.00 | Add Ask |
Leading Biology Inc.
2600 Hilltop DR, Building G, B Suite C138
Richmond, CA, 94806
Tel: 1-661-524(LBI)-0262
Email: info@leadingbiology.com
Complete this form and click send to ask us a question, request a quote or simply say hello.

You have 0 item in your cart

You have 0 item in your inquiry list