> Antigen, Antibodies, ELISA, Western Blot > Primary Antibody > Polyclonal Antibodies > Bombesin Receptor 2 (extracellular) AntibodyBrand |
Leading Biology | Catalog Number |
AMM05633G |
Product Type |
Polyclonal Antibodies | Field of Research |
|
Product Overview |
We constantly strive to ensure we provide our customers with the best antibodies. As a result of this work we offer this antibody in purified format.
We are in the process of updating our datasheets. If you have any questions regarding this update, please feel free to contact our technical support team.
This product is a high quality Bombesin Receptor 2 (extracellular) antibody.
|
||
Molecular Weight |
43199 Da
|
||
Host |
Rabbit
|
||
Species Reactivity |
Human, Mouse, Rat
|
||
Target |
Peptide (C)RSYHYSEVDTSMLH, corresponding to amino??acid??residues 287-300 of human BB2 (Accession P30550). 3rd extracellular loop.
|
||
GeneID |
|||
UniProt ID |
|||
Summary |
Bombesin receptor 2 (BB2) is a member of a family of receptors that binds the 14 amino acid peptide, bombesin. Bombesin was first isolated from frog skin and it was later established that mammals express endogenous bombesin-like peptides such as gastrin-releasing peptide (GRP; a 27 amino acid homologue) and neuromedin B (NMB; a 10 amino acid homologue).BB2 is the preferred receptor for GRP and hence it is also referred to as GRP receptor or GRP-R.1 BB1 is the preferred receptor for NMB and therefore it is also known as NMB-R. A third member (called BB3) of the bombesin receptor family has been recognized but the endogenous mammalian ligand for this receptor remains to be identified.All three bombesin receptors are members of the seven-transmembrane domain, G protein-coupled receptor (GPCR) superfamily. BB2 is coupled to a Gq/11 protein that activates phospholipase C (PLC) and leads to production of inositol 1,4,5-trisphosphate (InsP3), intracellular Ca2+ mobilization, and cell growth.2GRP (through its binding to BB2) plays an essential role in the release of hormones in the intestinal tract, the regulation of smooth muscle contraction, and the secretion of pancreatic enzymes.2 In the brain, BB2 has been implicated in regulating feeding behavior, thermoregulation, and memory formation.3Finally, BB2 is overexpressed in several human tumors including breast, prostate, and lung, where it acts as a growth factor receptor inducing tumor growth. BB2 is considered a potential target for the development of both diagnostics and anti-cancer therapies.4Abgent is pleased to offer a highly specificantibody directed against an epitope located in the 3rd extracellular loop of the human BB2 receptor. Anti-Bombesin Receptor2 (extracellular)antibody(#AG1369) can be used in western blot analysis, as well asimmunocytochemical and immunohistochemical applications, and will recognize BB2 from human, rat, mouse, and dog samples.
|
||
Form |
Affinity purified antibody, Liquid |
||
Storage & Stability |
Store at +4°C short term. For long-term storage, aliquot and store at -20°C or below. Stable for 12 months at -20°C. Avoid repeated freeze-thaw cycles.
|
||
Applications |
WB, LCI
|
||
Dilution |
WB~~1:200-1:2000
IHC~~1:50
ICC~~1:100
|
||
Synonyms |
Gastrin-releasing peptide receptor, GRP-R, GRP-preferring bombesin receptor, GRPR
|
||
Images |
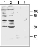
Western blot analysis of rat (lanes 1 and 3) and mouse (lanes 2 and 4) brain lysates: 1, 2. Anti-Bombesin Receptor 2 (extracellular) antibody ( AMM05633G), (1:500). 3, 4. Anti-Bombesin Receptor 2 (extracellular) antibody, preincubated with the control peptide antigen.
Western blot analysis of human DU-145 (lanes 1 and 3) and PC-3 (lanes 2 and 4) prostate carcinoma cell lines: 1, 2. Anti-Bombesin Receptor 2 (extracellular) antibody ( AMM05633G), (1:200). 3, 4. Anti-Bombesin Receptor 2 (extracellular) antibody, preincubated with the control peptide antigen.
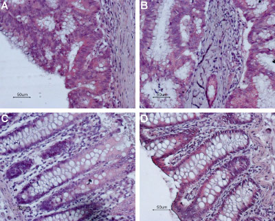
Expression of Bombesin Receptor 2 in human colon Immunohistochemical staining of paraffin-embedded human colon using Anti-Bombesin Receptor 2 (extracellular) antibody ( AMM05633G), (1:50). (A and B) Human colon showing malignant growth. Staining is specific for epithelium-derived malignant cells. (C and D) Normal colon, staining is specific for absorptive epithelial cells in the crypts of Lieberkuhn. Histofine (pink) is used for the color reaction. Hematoxilin is used as the counterstain. |
||
Specification |
|||
Quantity |
|
||
| Select | Brand | Catalog No. | Product Name | Pack Size | Type | Field of Research | Specification | Quantity | Price(USD) | |
| 1 | Leading Biology | APR03440G | ITGA11 Antibody (N-term) | 100 μl | Polyclonal Antibodies |
|
$495.00 | Add Ask | ||
| 2 | Leading Biology | APR04537G | CMIP Antibody (C-term) | 100 μl | Polyclonal Antibodies |
|
$495.00 | Add Ask | ||
| 3 | Leading Biology | APR12422G | Human H4 Histamine Receptor (extracellular) Antibody | 50 μl | Polyclonal Antibodies |
|
$695.00 | Add Ask | ||
| 4 | Leading Biology | APR03844G | UBE2W Antibody (C-term) | 100 μl | Polyclonal Antibodies |
|
$495.00 | Add Ask | ||
| 5 | Leading Biology | APR04349G | HECTD2 Antibody (N-term) | 100 μl | Polyclonal Antibodies |
|
$495.00 | Add Ask | ||
| 6 | Leading Biology | APR03502G | IGHG1 Antibody (Center) | 100 μl | Polyclonal Antibodies |
|
$495.00 | Add Ask |
Leading Biology Inc.
2600 Hilltop DR, Building G, B Suite C138
Richmond, CA, 94806
Tel: 1-661-524(LBI)-0262
Email: info@leadingbiology.com
Complete this form and click send to ask us a question, request a quote or simply say hello.

You have 0 item in your cart

You have 0 item in your inquiry list