> Antigen, Antibodies, ELISA, Western Blot > Primary Antibody > Polyclonal Antibodies > Galanin Receptor Type 2 AntibodyBrand |
Leading Biology | Catalog Number |
APG03317G |
Product Type |
Polyclonal Antibodies | Field of Research |
|
Product Overview |
We constantly strive to ensure we provide our customers with the best antibodies. As a result of this work we offer this antibody in purified format.
We are in the process of updating our datasheets. If you have any questions regarding this update, please feel free to contact our technical support team.
This product is a high quality Galanin Receptor Type 2 antibody.
|
||
Molecular Weight |
40516 Da
|
||
Host |
Rabbit
|
||
Species Reactivity |
Human, Mouse, Rat
|
||
Target |
Peptide(C)GSGSQRAKRKVTR, corresponding to amino acid residues 223-235 of mouse Galanin receptor type 2 (Accession O88854). 3rd intracellular loop.
|
||
GeneID |
|||
UniProt ID |
|||
Summary |
Galanin is a neuropeptide, consisting of 29-30 amino acid residues, involved in the regulation of cognition, mood, feeding, seizure activity and pain. Galanin exerts its action via three known Galanin Receptors, the Galanin Receptor Type 1 (GALR1), Galanin Receptor Type 2 (GALR2) and Galanin Receptor Type 3 (GALR3). The Galanin Receptors belong to the G-Protein Coupled Receptor superfamily.1-4 GALR2 is widely expressed in the brain (with highest levels of mRNA found in the hypothalamus, hippocampus, amygdala and pyriform cortex) and in peripheral tissues such as the small intestine, heart, kidney, and liver. GALR2 high levels of expression were also found in rat dorsal root ganglia.1 GALR2 activation increases inositol phosphate hydrolysis, mediates the release of Ca2+ into the cytoplasm from intracellular stores, and opens Ca2+-dependent chloride channels in a PTX-resistant manner, indicating that GALR2 couples to Gq/11 proteins.5 Abgent is pleased to offer a highly specific antibody directed against an intracellular epitope of mouse Galanin Receptor type 2 (GALR2). Anti-Galanin Receptor Type 2 antibody (#AG1240) can be used for Western blot analysis and immunohis
|
||
Form |
Affinity purified antibody, Liquid |
||
Storage & Stability |
Store at +4°C short term. For long-term storage, aliquot and store at -20°C or below. Stable for 12 months at -20°C. Avoid repeated freeze-thaw cycles.
|
||
Applications |
WB, IHC
|
||
Dilution |
WB~~1:200-1:2000
IHC~~1:100
|
||
Synonyms |
Galanin receptor type 2, GAL2-R, GALR-2, Galr2, Galnr2
|
||
Images |
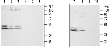
Western blot analysis of rat hippocampus, DRG (lanes 2 and 5), brain (lanes 3 and 6), mouse brain (lanes 7 and 9) and human prostate carcinoma LNCaP cell lysates: 1, 2, 3, 7, 8. Anti-Galanin Receptor Type 2 antibody ( APG03317G), (1:200). 4, 5, 6, 9, 10. Anti-Galanin Receptor Type 2 antibody, preincubated with the control peptide antigen
Expression of GALR2 in rat DRG Immunohistochemical staining of rat dorsal root ganglia (DRG) frozen sections using Anti-Galanin Receptor Type 2 antibody ( APG03317G), (1:100). GALR2 is expressed in the DRG neurons. Hoechst 33342 is used as the counterstain. |
||
Specification |
|||
Quantity |
|
||
| Select | Brand | Catalog No. | Product Name | Pack Size | Type | Field of Research | Specification | Quantity | Price(USD) | |
| 1 | Leading Biology | APR03440G | ITGA11 Antibody (N-term) | 100 μl | Polyclonal Antibodies |
|
$495.00 | Add Ask | ||
| 2 | Leading Biology | APR04537G | CMIP Antibody (C-term) | 100 μl | Polyclonal Antibodies |
|
$495.00 | Add Ask | ||
| 3 | Leading Biology | APR12422G | Human H4 Histamine Receptor (extracellular) Antibody | 50 μl | Polyclonal Antibodies |
|
$695.00 | Add Ask | ||
| 4 | Leading Biology | APR03844G | UBE2W Antibody (C-term) | 100 μl | Polyclonal Antibodies |
|
$495.00 | Add Ask | ||
| 5 | Leading Biology | APR04349G | HECTD2 Antibody (N-term) | 100 μl | Polyclonal Antibodies |
|
$495.00 | Add Ask | ||
| 6 | Leading Biology | APR03502G | IGHG1 Antibody (Center) | 100 μl | Polyclonal Antibodies |
|
$495.00 | Add Ask |
Leading Biology Inc.
2600 Hilltop DR, Building G, B Suite C138
Richmond, CA, 94806
Tel: 1-661-524(LBI)-0262
Email: info@leadingbiology.com
Complete this form and click send to ask us a question, request a quote or simply say hello.

You have 0 item in your cart

You have 0 item in your inquiry list