> Antigen, Antibodies, ELISA, Western Blot > Primary Antibody > Polyclonal Antibodies > Melanocortin Receptor 1 AntibodyBrand |
Leading Biology | Catalog Number |
APR08418G |
Product Type |
Polyclonal Antibodies | Field of Research |
|
Product Overview |
We constantly strive to ensure we provide our customers with the best antibodies. As a result of this work we offer this antibody in purified format.
We are in the process of updating our datasheets. If you have any questions regarding this update, please feel free to contact our technical support team.
This product is a high quality Melanocortin Receptor 1 antibody.
|
||
Molecular Weight |
34706 Da
|
||
Host |
Rabbit
|
||
Species Reactivity |
Human, Rat
|
||
Target |
Peptide (C)HAQGIARLHKRQRPVH, corresponding to amino acid residues 217-232 of human MC1R (Accession Q01726). 3rd intracellular loop.Probably won?€?t recognize mouse.
|
||
GeneID |
|||
UniProt ID |
|||
Summary |
Melanocortin Receptor 1 (MC1R) belongs to a five-member receptor family known as the melanocortin receptors. The melanocortin receptors are members of the 7-transmembrane domain, G protein-coupled receptor (GPCR) superfamily.The receptors ligands, the melanocortins, are a group of structurally derived peptides consisting of α-, β- and γ-melanocyte stimulating hormone (α, β, γ-MSH) and the adrenocorticotropic hormone (ACTH) all of which are derived from the post-translational processing of a common precursor peptide, proopiomelanocortin (POMC).1,2,3One of the most salient features of the melanocortin signaling system is the presence of two endogenous antagonists, that is proteins that bind specifically to the receptor but instead of activating it have an inhibitory effect. The antagonist proteins are termed agouti (or agouti signaling protein, ASP) and agouti-related protein (AGRP).4All five melanocortin receptors bind their agonists (the melanocortins) and their endogenous antagonists (agouti and AGRP) with different affinities.MC1R was the first member of the melanocortin receptor family to be cloned. The receptor transduces signals via Gsresulting in the activation of adenylate cyclase and production of cAMP.MC1R binds its ligands with the following potency: α-MSH = ACTH > β-MSH > γ-MSH. MC1R also binds the endogenous antagonist agouti with high affinity.1, 2MC1R can be described as the “classical” melanocyte α-MSH receptor. The receptor is expressed in the skin where it has a key role in determining skin and hair pigmentation. In fur-bearing mammals, the local ratio between α-MSH and agouti will determine coat pigmentation as α-MSH stimulates and agouti inhibits melanin production.In humans, especially in Caucasians, the MC1R gene is highly polymorphic and several allelic variants have been correlated with red-hair, poor tanning ability and increased risk of melanoma.1,3,5In addition, MC1R expression in melanoma has been shown to be upregulated up to 20-fold when compared to normal melanocytes.The melanocortins and particularly α-MSH have significant anti-inflammatory properties. Since α-MSH binds to MC1R with the highest potency, it was proposed that the latter mediated the anti-inflammatory effects of α-MSH. Indeed, MC1R expression has been demonstrated in several cells of the immune system including macrophages and neutrophils.6
|
||
Form |
Affinity purified antibody, Liquid |
||
Storage & Stability |
Store at +4°C short term. For long-term storage, aliquot and store at -20°C or below. Stable for 12 months at -20°C. Avoid repeated freeze-thaw cycles.
|
||
Applications |
WB
|
||
Dilution |
WB~~1:200-1:2000
IHC~~1:100
ICC~~1:200
|
||
Synonyms |
Melanocyte-stimulating hormone receptor, MSH-R, Melanocortin receptor 1, MC1-R, MC1R, MSHR
|
||
Images |
Western blot analysis of human normal skin fibroblast cell line Malme-3 (lanes 1 and 4) and human malignant melanoma cell lines Malme-3M (lanes 2 and 5) and A875 (lanes 3 and 6): 1, 2, 3. Anti-Melanocortin Receptor 1 antibody ( APR08418G), (1:500). 4, 5, 6. Anti-Melanocortin Receptor 1 antibody, preincubated with the control peptide antigen
Western blot analysis of rat adrenal lysate: 1. Anti-Melanocortin Receptor 1 antibody ( APR08418G), (1:400). 2. Anti-Melanocortin Receptor 1 antibody, preincubated with the control peptide antigen.
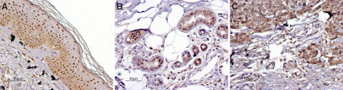
Expression of MC1R in normal skin and melanoma Immunohistochemical staining of paraffin embedded normal skin and melanoma sections using Anti-Melanocortin Receptor 1 antibody ( APR08418G) (1:100). MCR1 staining (red-brown color is highly specific in A. epidermal cells, B. eccrine sweat gland cells and C. melanoma cells. Color reaction was obtained with DAB. Hematoxilin is used as the counterstain. |
||
Specification |
|||
Quantity |
|
||
| Select | Brand | Catalog No. | Product Name | Pack Size | Type | Field of Research | Specification | Quantity | Price(USD) | |
| 1 | Leading Biology | APR03440G | ITGA11 Antibody (N-term) | 100 μl | Polyclonal Antibodies |
|
$495.00 | Add Ask | ||
| 2 | Leading Biology | APR04537G | CMIP Antibody (C-term) | 100 μl | Polyclonal Antibodies |
|
$495.00 | Add Ask | ||
| 3 | Leading Biology | APR12422G | Human H4 Histamine Receptor (extracellular) Antibody | 50 μl | Polyclonal Antibodies |
|
$695.00 | Add Ask | ||
| 4 | Leading Biology | APR03844G | UBE2W Antibody (C-term) | 100 μl | Polyclonal Antibodies |
|
$495.00 | Add Ask | ||
| 5 | Leading Biology | APR04349G | HECTD2 Antibody (N-term) | 100 μl | Polyclonal Antibodies |
|
$495.00 | Add Ask | ||
| 6 | Leading Biology | APR03502G | IGHG1 Antibody (Center) | 100 μl | Polyclonal Antibodies |
|
$495.00 | Add Ask |
Leading Biology Inc.
2600 Hilltop DR, Building G, B Suite C138
Richmond, CA, 94806
Tel: 1-661-524(LBI)-0262
Email: info@leadingbiology.com
Complete this form and click send to ask us a question, request a quote or simply say hello.

You have 0 item in your cart

You have 0 item in your inquiry list