> Antigen, Antibodies, ELISA, Western Blot > Primary Antibody > Polyclonal Antibodies > Melanocortin Receptor 5 AntibodyBrand |
Leading Biology | Catalog Number |
AMM06371G |
Product Type |
Polyclonal Antibodies | Field of Research |
|
Product Overview |
We constantly strive to ensure we provide our customers with the best antibodies. As a result of this work we offer this antibody in purified format.
We are in the process of updating our datasheets. If you have any questions regarding this update, please feel free to contact our technical support team.
This product is a high quality Melanocortin Receptor 5 antibody.
|
||
Molecular Weight |
36953 Da
|
||
Host |
Rabbit
|
||
Species Reactivity |
Mouse, Rat
|
||
Target |
Peptide (C)RYNSVRQRTSMKG,??corresponding to amino acid residues 224-236 of mouse Melanocortin Receptor 5 (Accession P41149). 3rd??intracellular loop.
|
||
GeneID |
|||
UniProt ID |
|||
Summary |
Melanocortin Receptor 5 (MC5R) is one of five members of the melanocortin receptor family, which belongs to the 7-transmembrane domain, G-Protein Coupled Receptor (GPCR) superfamily.The ligands of these receptors, the melanocortins, are a group of structurally-related peptides comprising the α-, β-, and γ-melanocyte-stimulating hormone (α-, β-, γ-MSH) and the adrenocorticotropic hormone (ACTH), all of which are derived from post-translational processing of a common precursor peptide, proopiomelanocortin (POMC)1,2,3.One of the salient features of the melanocortin signaling system is the existence of two endogenous antagonists, proteins that bind specifically to the receptor and have an inhibitory effect. These antagonist proteins are termed agouti (or agouti signaling protein, ASP) and agouti-related protein (AGRP)1.All five melanocortin receptors bind their agonists (the melanocortins) and their endogenous antagonists (agouti/ASP and AGRP) with differing affinities. The order of potency for MC5R activation is α-MSH > ACTH = β-MSH >> γ-MSH while AGRP works as an endogenous antagonists of MC5R1,2,3.MC5R is mostly expressed in peripheral tissues such as skeletal muscle, bone marrow, skin tissues particularly in sebaceous glands and exocrine glands such as salivary glands1.The best understood function of Melanocortin Receptor 5 is in the regulation of exocrine glands since MC5R-deficient mice exhibit severely defective water repulsion and thermoregulation due to decreased production of sebaceous lipids4.
|
||
Form |
Affinity purified antibody, Liquid |
||
Storage & Stability |
Store at +4°C short term. For long-term storage, aliquot and store at -20°C or below. Stable for 12 months at -20°C. Avoid repeated freeze-thaw cycles.
|
||
Applications |
WB
|
||
Dilution |
WB~~1:200-1:2000
IHC~~1:100
|
||
Synonyms |
Melanocortin receptor 5, MC5-R, Mc5r
|
||
Images |
Western blot analysis of rat (lanes 1 and 3) and mouse (lanes 2 and 4) brain membranes: 1, 2. Anti-Melanocortin Receptor 5 antibody ( AMM06371G), (1:200). 3, 4. Anti-Melanocortin Receptor 5 antibody, preincubated with the control peptide antigen.
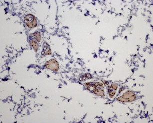
Expression of MC5R in rat skin Immunohistochemical staining of paraffin embedded rat skin section using Anti-Melanocortin Receptor 5 antibody ( AMM06371G), (1:100). MC5R staining is present in sebaceous glands. Hematoxilin is used as the counterstain. |
||
Specification |
|||
Quantity |
|
||
| Select | Brand | Catalog No. | Product Name | Pack Size | Type | Field of Research | Specification | Quantity | Price(USD) | |
| 1 | Leading Biology | APR03440G | ITGA11 Antibody (N-term) | 100 μl | Polyclonal Antibodies |
|
$495.00 | Add Ask | ||
| 2 | Leading Biology | APR04537G | CMIP Antibody (C-term) | 100 μl | Polyclonal Antibodies |
|
$495.00 | Add Ask | ||
| 3 | Leading Biology | APR12422G | Human H4 Histamine Receptor (extracellular) Antibody | 50 μl | Polyclonal Antibodies |
|
$695.00 | Add Ask | ||
| 4 | Leading Biology | APR03844G | UBE2W Antibody (C-term) | 100 μl | Polyclonal Antibodies |
|
$495.00 | Add Ask | ||
| 5 | Leading Biology | APR04349G | HECTD2 Antibody (N-term) | 100 μl | Polyclonal Antibodies |
|
$495.00 | Add Ask | ||
| 6 | Leading Biology | APR03502G | IGHG1 Antibody (Center) | 100 μl | Polyclonal Antibodies |
|
$495.00 | Add Ask |
Leading Biology Inc.
2600 Hilltop DR, Building G, B Suite C138
Richmond, CA, 94806
Tel: 1-661-524(LBI)-0262
Email: info@leadingbiology.com
Complete this form and click send to ask us a question, request a quote or simply say hello.

You have 0 item in your cart

You have 0 item in your inquiry list