> Antigen, Antibodies, ELISA, Western Blot > Primary Antibody > Polyclonal Antibodies > KV5.1 AntibodyBrand |
Leading Biology | Catalog Number |
AMM06228G |
Product Type |
Polyclonal Antibodies | Field of Research |
|
Product Overview |
We constantly strive to ensure we provide our customers with the best antibodies. As a result of this work we offer this antibody in purified format.
We are in the process of updating our datasheets. If you have any questions regarding this update, please feel free to contact our technical support team.
This product is a high quality KV5.1 antibody.
|
||
Molecular Weight |
55647 Da
|
||
Host |
Rabbit
|
||
Species Reactivity |
Human, Mouse, Rat
|
||
Target |
Peptide (C)K(S)VWKFLEKPESS, corresponding to amino acid residues 166- 178 of mouse KV5.1 (Accession Q7TSH7). Intracellular, N-terminus.
|
||
GeneID |
|||
UniProt ID |
|||
Summary |
Voltage-gated K+ channels are involved in maintaining membrane potential and regulating cell volume. They are also important for determining the cellular response to the external stimulus of neurotransmitters and neuro-peptides1. Their diverse functions include regulating neurotransmitter release, heart rate, insulin secretion, neuronal excitability, epithelial electrolyte transport, smooth muscle contraction, and cell volume.Voltage-gated K+ channels are transmembrane proteins consisting of four α-subunits arranged in radially symmetric fashion around a central aqueous pore. Each α-subunit consists of six transmembrane segments (S1–S6) with cytoplasmic NH2- and COOH-termini 2. In mammals, a large family of genes encodes α-subunits: KV1 (homologous to Drosophila Shaker), KV2 (Shab), KV3 (Shaw), KV4 (Shal), KV5, KV6, and KV8 3.New electrically silent α subunits have recently been cloned which constitute three new subfamilies: KV5.1, KV6.1, and KV8.1. These α subunits, although cannot generate K+ channel activity by themselves, can modulate in a specific way the function of KV2.1 and KV2.2 subunits. They inhibit the KV2.1 and KV2.2 channels when expressed at high concentrations4.KV5.1 is expressed in heart, skeletal muscle, brain, kidney, and pancreas. A recent study revealed the expression of KV5.1 in isolated urinary bladder smooth muscle (UBSM) myocytes5.
|
||
Form |
Affinity purified antibody, Liquid |
||
Storage & Stability |
Store at +4°C short term. For long-term storage, aliquot and store at -20°C or below. Stable for 12 months at -20°C. Avoid repeated freeze-thaw cycles.
|
||
Applications |
WB
|
||
Dilution |
WB~~1:200-1:2000
|
||
Synonyms |
Potassium voltage-gated channel subfamily F member 1, Voltage-gated potassium channel subunit Kv51, Kcnf1
|
||
Images |
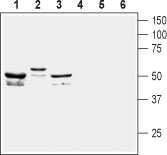
Western blot analysis of mouse brain lysate (lanes 1 and 4), human SHSY-5Y neuroblastoma cell line lysate (lanes 2 and 5) and rat brain membranes (lanes 3 and 6): 1-3. Anti- K 5.1 antibody ( AMM06228G), (1:400). 4-6. Anti-K 5.1 antibody, preincubated with the control peptide antigen. |
||
Specification |
|||
Quantity |
|
||
| Select | Brand | Catalog No. | Product Name | Pack Size | Type | Field of Research | Specification | Quantity | Price(USD) | |
| 1 | Leading Biology | APR03440G | ITGA11 Antibody (N-term) | 100 μl | Polyclonal Antibodies |
|
$495.00 | Add Ask | ||
| 2 | Leading Biology | APR04537G | CMIP Antibody (C-term) | 100 μl | Polyclonal Antibodies |
|
$495.00 | Add Ask | ||
| 3 | Leading Biology | APR12422G | Human H4 Histamine Receptor (extracellular) Antibody | 50 μl | Polyclonal Antibodies |
|
$695.00 | Add Ask | ||
| 4 | Leading Biology | APR03844G | UBE2W Antibody (C-term) | 100 μl | Polyclonal Antibodies |
|
$495.00 | Add Ask | ||
| 5 | Leading Biology | APR04349G | HECTD2 Antibody (N-term) | 100 μl | Polyclonal Antibodies |
|
$495.00 | Add Ask | ||
| 6 | Leading Biology | APR03502G | IGHG1 Antibody (Center) | 100 μl | Polyclonal Antibodies |
|
$495.00 | Add Ask |
Leading Biology Inc.
2600 Hilltop DR, Building G, B Suite C138
Richmond, CA, 94806
Tel: 1-661-524(LBI)-0262
Email: info@leadingbiology.com
Complete this form and click send to ask us a question, request a quote or simply say hello.

You have 0 item in your cart

You have 0 item in your inquiry list