> Antigen, Antibodies, ELISA, Western Blot > Primary Antibody > Polyclonal Antibodies > SLC29A2 AntibodyBrand |
Leading Biology | Catalog Number |
AMM07844G |
Product Type |
Polyclonal Antibodies | Field of Research |
|
Product Overview |
We constantly strive to ensure we provide our customers with the best antibodies. As a result of this work we offer this antibody in purified format.
We are in the process of updating our datasheets. If you have any questions regarding this update, please feel free to contact our technical support team.
This product is a high quality SLC29A2 antibody.
|
||
Molecular Weight |
Predicted: 50 kDa; Observed: 50 kDa
|
||
Cellular Localization |
Antigen Cellular Localization:
Basolateral cell membrane; Multi-pass membrane protein. Nucleus membrane; Multi-pass membrane protein. Note=Localized at the basolateral cell membrane in polarized MDCK cells
|
||
Host |
Rabbit
|
||
Species Reactivity |
Human
|
||
Target |
SLC29A2; SLC29A2 antibody is human specific. SLC29A2 antibody is predicted to not cross-react with other SLC29 proteins.
|
||
Isotype |
IgG
|
||
Symbol |
DER12, ENT2, HNP36
|
||
GeneID |
|||
UniProt ID |
|||
Function |
Mediates equilibrative transport of purine, pyrimidine nucleosides and the purine base hypoxanthine. Very less sensitive than SLC29A1 to inhibition by nitrobenzylthioinosine (NBMPR), dipyridamole, dilazep and draflazine.
|
||
Summary |
SLC29A2 is a member of the equilibrative nucleoside transporter family which plays a key role in nucleoside and nucleobase uptake for salvage pathways of nucleotide synthesis (1,2). SLC29A2 is a transmembrane glycoprotein that mediates the cellular uptake of nucleosides from the surrounding medium (3). As a nucleoside transporter, SLC29A2 plays an important role in the uptake of nucleoside-based anti-cancer drugs; polymorphisms of point mutations in the gene encoding this protein may affect the efficacy of these drugs (4).
|
||
Form |
Liquid |
||
Storage & Stability |
Store at +4°C short term. For long-term storage, aliquot and store at -20°C or below. Stable for 12 months at -20°C. Avoid repeated freeze-thaw cycles.
|
||
Applications |
WB, IHC, IF, E
|
||
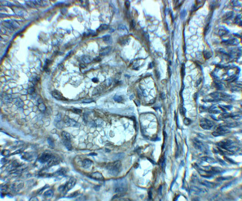
Images |
Western blot analysis of SLC29A2 in human bladder tissue lysate with SLC29A2 antibody at 1 μg/ml.
Immunohistochemistry of SLC29A2 in human bladder tissue with SLC29A2 antibody at 2.5 μg/mL.
Immunofluorescence of SLC29A2 in human bladder tissue with SLC29A2 antibody at 20 μg/ml. |
||
Specification |
|||
Quantity |
|
||
| Select | Brand | Catalog No. | Product Name | Pack Size | Type | Field of Research | Specification | Quantity | Price(USD) | |
| 1 | Leading Biology | APR03440G | ITGA11 Antibody (N-term) | 100 μl | Polyclonal Antibodies |
|
$495.00 | Add Ask | ||
| 2 | Leading Biology | APR04537G | CMIP Antibody (C-term) | 100 μl | Polyclonal Antibodies |
|
$495.00 | Add Ask | ||
| 3 | Leading Biology | APR12422G | Human H4 Histamine Receptor (extracellular) Antibody | 50 μl | Polyclonal Antibodies |
|
$695.00 | Add Ask | ||
| 4 | Leading Biology | APR03844G | UBE2W Antibody (C-term) | 100 μl | Polyclonal Antibodies |
|
$495.00 | Add Ask | ||
| 5 | Leading Biology | APR04349G | HECTD2 Antibody (N-term) | 100 μl | Polyclonal Antibodies |
|
$495.00 | Add Ask | ||
| 6 | Leading Biology | APR03502G | IGHG1 Antibody (Center) | 100 μl | Polyclonal Antibodies |
|
$495.00 | Add Ask |
Leading Biology Inc.
2600 Hilltop DR, Building G, B Suite C138
Richmond, CA, 94806
Tel: 1-661-524(LBI)-0262
Email: info@leadingbiology.com
Complete this form and click send to ask us a question, request a quote or simply say hello.

You have 0 item in your cart

You have 0 item in your inquiry list