> Antigen, Antibodies, ELISA, Western Blot > Primary Antibody > Polyclonal Antibodies > SESTRIN2 AntibodyBrand |
Leading Biology | Catalog Number |
AMR09887G |
Product Type |
Polyclonal Antibodies | Field of Research |
|
Product Overview |
We constantly strive to ensure we provide our customers with the best antibodies. As a result of this work we offer this antibody in purified format.
We are in the process of updating our datasheets. If you have any questions regarding this update, please feel free to contact our technical support team.
This product is a high quality SESTRIN2 antibody.
|
||
Molecular Weight |
Predicted: 54 kDa Observed: 53 kDa
|
||
Host |
Rabbit
|
||
Species Reactivity |
Human, Mouse, Rat
|
||
Target |
SESN2; SESTRIN2 antibody is human, mouse and rat reactive. At least two isoforms of SESTRIN2 are known to exist; this antibody will detect both isoforms. SESTRIN2 antibody is predicted to not cross-react with SESTRIN1.
|
||
Isotype |
IgG
|
||
Symbol |
SEST2
|
||
GeneID |
|||
UniProt ID |
|||
Function |
Involved in the reduction of peroxiredoxins.
|
||
Summary |
SESTRIN2, also known as Hi95, is a member of the sestrin family of PA26-related proteins and is induced following DNA damage or oxidative stress (1). SESTRIN2 and the related protein SESTRIN1 interact with the NRF2 suppressor KEAP1, the autophagy substrate p62 and the ubiquitin ligase RBX1 to protect cells against oxidative stress by activating NRF2 and promoting the p62-dependent autophagic degradation of KEAP1 (2). SESTRIN2 also negatively regulates TOR signaling by activating AMP-activated protein kinase (AMPK) and TSC2 phosphorylation (3), thereby protecting cells against energetic stress-induced death (4).
|
||
Form |
Liquid |
||
Storage & Stability |
Store at +4°C short term. For long-term storage, aliquot and store at -20°C or below. Stable for 12 months at -20°C. Avoid repeated freeze-thaw cycles.
|
||
Applications |
WB, IHC-P, IF, E
|
||
Images |
Western blot analysis of SESTRIN2 in mouse kidney tissue lysate with SESTRIN2 antibody at 1 μg/ml in (A) the absence and (B) the presence of blocking peptide.
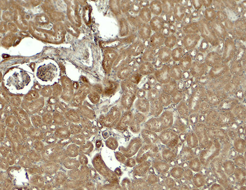
Immunohistochemistry of SESTRIN2 in mouse kidney tissue with SESTRIN2 antibody at 5 μg/ml.
Immunofluorescence of SESTRIN2 in mouse kidney tissue with SESTRIN2 antibody at 20 μg/ml. |
||
Specification |
|||
Quantity |
|
||
| Select | Brand | Catalog No. | Product Name | Pack Size | Type | Field of Research | Specification | Quantity | Price(USD) | |
| 1 | Leading Biology | APR03440G | ITGA11 Antibody (N-term) | 100 μl | Polyclonal Antibodies |
|
$495.00 | Add Ask | ||
| 2 | Leading Biology | APR04537G | CMIP Antibody (C-term) | 100 μl | Polyclonal Antibodies |
|
$495.00 | Add Ask | ||
| 3 | Leading Biology | APR12422G | Human H4 Histamine Receptor (extracellular) Antibody | 50 μl | Polyclonal Antibodies |
|
$695.00 | Add Ask | ||
| 4 | Leading Biology | APR03844G | UBE2W Antibody (C-term) | 100 μl | Polyclonal Antibodies |
|
$495.00 | Add Ask | ||
| 5 | Leading Biology | APR04349G | HECTD2 Antibody (N-term) | 100 μl | Polyclonal Antibodies |
|
$495.00 | Add Ask | ||
| 6 | Leading Biology | APR03502G | IGHG1 Antibody (Center) | 100 μl | Polyclonal Antibodies |
|
$495.00 | Add Ask |
Leading Biology Inc.
2600 Hilltop DR, Building G, B Suite C138
Richmond, CA, 94806
Tel: 1-661-524(LBI)-0262
Email: info@leadingbiology.com
Complete this form and click send to ask us a question, request a quote or simply say hello.

You have 0 item in your cart

You have 0 item in your inquiry list