> Antigen, Antibodies, ELISA, Western Blot > Primary Antibody > Polyclonal Antibodies > LAMTOR2 AntibodyBrand |
Leading Biology | Catalog Number |
APR17150G |
Product Type |
Polyclonal Antibodies | Field of Research |
|
Product Overview |
We constantly strive to ensure we provide our customers with the best antibodies. As a result of this work we offer this antibody in purified format.
We are in the process of updating our datasheets. If you have any questions regarding this update, please feel free to contact our technical support team.
This product is a high quality LAMTOR2 antibody.
|
||
Molecular Weight |
Predicted: 14 kDa Observed: 16 kDa
|
||
Cellular Localization |
Antigen Cellular Localization:
Late endosome membrane; Peripheral membrane protein; Cytoplasmic side. Lysosome membrane; Peripheral membrane protein; Cytoplasmic side
|
||
Host |
Rabbit
|
||
Species Reactivity |
Human, Mouse, Rat
|
||
Target |
LAMTOR2; LAMTOR2 antibody is human, mouse and rat reactive. At least two isoforms of LAMTOR2 are known to exist; this antibody will detect both isoforms. LAMTOR2 antibody is predicted to not cross-react with other LAMTOR family proteins.
|
||
Isotype |
IgG
|
||
Symbol |
MAPBPIP, ROBLD3
|
||
GeneID |
|||
UniProt ID |
|||
Function |
As part of the Ragulator complex it is involved in amino acid sensing and activation of mTORC1, a signaling complex promoting cell growth in response to growth factors, energy levels, and amino acids. Activated by amino acids through a mechanism involving the lysosomal V-ATPase, the Ragulator functions as a guanine nucleotide exchange factor activating the small GTPases Rag. Activated Ragulator and Rag GTPases function as a scaffold recruiting mTORC1 to lysosomes where it is in turn activated. Adapter protein that enhances the efficiency of the MAP kinase cascade facilitating the activation of MAPK2.
|
||
Summary |
The late endosomal/lysosomal adaptor MAPK and MTOR activator 2 (LAMTOR2) protein belongs to the LAMTOR family of proteins, and together with LAMTOR3 and the MAPK1 and ERK kinase 1 (MEK1) localizes to late endosomes where it is required for the efficient activation of ERK signaling (1,2). This complex is involved in the regulation of late endosomal traffic and cellular proliferation (3) and plays a role in cellular host defense against Salmonella infection (4).
|
||
Form |
Liquid |
||
Storage & Stability |
Store at +4°C short term. For long-term storage, aliquot and store at -20°C or below. Stable for 12 months at -20°C. Avoid repeated freeze-thaw cycles.
|
||
Applications |
WB, IHC-P, IF, E
|
||
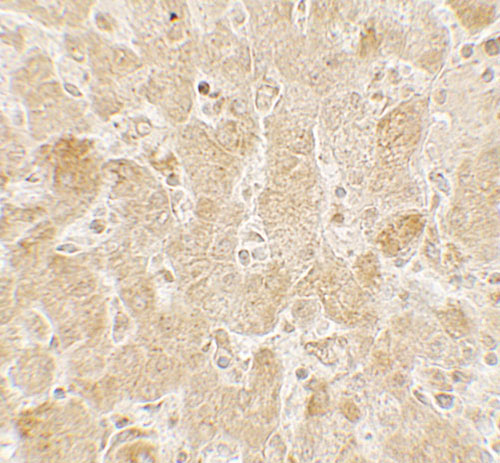
Images |
Western blot analysis of LAMTOR2 in HepG2 cell lysate with LAMTOR2 antibody at 1 μg/ml.
Immunohistochemistry of LAMTOR2 in human spleen tissue with LAMTOR2 antibody at 5 μg/mL.
Immunofluorescence of LAMTOR2 in human spleen tissue with LAMTOR2 antibody at 20 μg/mL. |
||
Specification |
|||
Quantity |
|
||
| Select | Brand | Catalog No. | Product Name | Pack Size | Type | Field of Research | Specification | Quantity | Price(USD) | |
| 1 | Leading Biology | APR03440G | ITGA11 Antibody (N-term) | 100 μl | Polyclonal Antibodies |
|
$495.00 | Add Ask | ||
| 2 | Leading Biology | APR04537G | CMIP Antibody (C-term) | 100 μl | Polyclonal Antibodies |
|
$495.00 | Add Ask | ||
| 3 | Leading Biology | APR12422G | Human H4 Histamine Receptor (extracellular) Antibody | 50 μl | Polyclonal Antibodies |
|
$695.00 | Add Ask | ||
| 4 | Leading Biology | APR03844G | UBE2W Antibody (C-term) | 100 μl | Polyclonal Antibodies |
|
$495.00 | Add Ask | ||
| 5 | Leading Biology | APR04349G | HECTD2 Antibody (N-term) | 100 μl | Polyclonal Antibodies |
|
$495.00 | Add Ask | ||
| 6 | Leading Biology | APR03502G | IGHG1 Antibody (Center) | 100 μl | Polyclonal Antibodies |
|
$495.00 | Add Ask |
Leading Biology Inc.
2600 Hilltop DR, Building G, B Suite C138
Richmond, CA, 94806
Tel: 1-661-524(LBI)-0262
Email: info@leadingbiology.com
Complete this form and click send to ask us a question, request a quote or simply say hello.

You have 0 item in your cart

You have 0 item in your inquiry list