> Antigen, Antibodies, ELISA, Western Blot > Primary Antibody > Polyclonal Antibodies > MAP1LC3B AntibodyBrand |
Leading Biology | Catalog Number |
APR08313G |
Product Type |
Polyclonal Antibodies | Field of Research |
|
Product Overview |
We constantly strive to ensure we provide our customers with the best antibodies. As a result of this work we offer this antibody in purified format.
We are in the process of updating our datasheets. If you have any questions regarding this update, please feel free to contact our technical support team.
This product is a high quality MAP1LC3B antibody.
|
||
Molecular Weight |
Predicted: 14 kDa Observed: 14 kDa
|
||
Cellular Localization |
Antigen Cellular Localization:
Cytoplasm, cytoskeleton. Endomembrane system; Lipid-anchor. Cytoplasmic vesicle, autophagosome membrane; Lipid-anchor. Note=LC3-II binds to the autophagic membranes Localizes also to discrete punctae along the ciliary axoneme (By similarity).
|
||
Host |
Rabbit
|
||
Species Reactivity |
Human, Mouse, Rat
|
||
Target |
MAP1LC3B; MAP1LC3B antibody is human, mouse and rat reactive. Multiple isoforms MAP1LC3B are known to exist. MAP1LC3B antibody is predicted to not cross-react with MAP1LC3A or MAP1LC3C
|
||
Isotype |
IgG
|
||
Symbol |
MAP1ALC3
|
||
GeneID |
|||
UniProt ID |
|||
Function |
Ubiquitin-like modifier involved in formation of autophagosomal vacuoles (autophagosomes). Plays a role in mitophagy which contributes to regulate mitochondrial quantity and quality by eliminating the mitochondria to a basal level to fulfill cellular energy requirements and preventing excess ROS production. Whereas LC3s are involved in elongation of the phagophore membrane, the GABARAP/GATE-16 subfamily is essential for a later stage in autophagosome maturation. Promotes primary ciliogenesis by removing OFD1 from centriolar satellites via the autophagic pathway.
|
||
Summary |
Microtubule-associated proteins (MAPs) regulate microtubule stability and play critical roles in neuronal development and plasticity (1). MAP1LC3B belongs to the MAP1 LC3 family and it includes 3 different light chains, LC1, LC2 and LC3 (2). MAP1LC3B is involved in formation of autophagosomal vacuoles (autophagosomes) (3). It is most abundant in heart, brain, skeletal muscle and testis. MAP1LC3B is essential for autophagy and associated to the autophagosome membranes after processing (4).
|
||
Form |
Liquid |
||
Storage & Stability |
Store at +4°C short term. For long-term storage, aliquot and store at -20°C or below. Stable for 12 months at -20°C. Avoid repeated freeze-thaw cycles.
|
||
Applications |
WB, IHC-P, IF, E
|
||
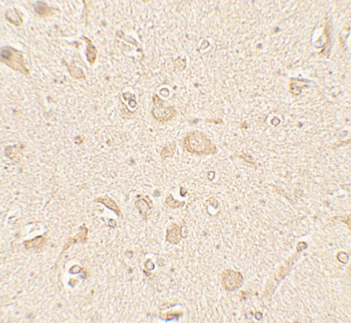
Images |
Western blot analysis of MAP1LC3B in human brain tissue lysate with MAP1LC3B antibody at 1 μg/ml.
Immunohistochemistry of MAP1LC3B in human brain tissue with MAP1LC3B antibody at 5 μg/mL.
Immunofluorescence of MAP1LC3B in human brain tissue with MAP1LC3B antibody at 20 μg/mL. |
||
Specification |
|||
Quantity |
|
||
| Select | Brand | Catalog No. | Product Name | Pack Size | Type | Field of Research | Specification | Quantity | Price(USD) | |
| 1 | Leading Biology | APR03440G | ITGA11 Antibody (N-term) | 100 μl | Polyclonal Antibodies |
|
$495.00 | Add Ask | ||
| 2 | Leading Biology | APR04537G | CMIP Antibody (C-term) | 100 μl | Polyclonal Antibodies |
|
$495.00 | Add Ask | ||
| 3 | Leading Biology | APR12422G | Human H4 Histamine Receptor (extracellular) Antibody | 50 μl | Polyclonal Antibodies |
|
$695.00 | Add Ask | ||
| 4 | Leading Biology | APR03844G | UBE2W Antibody (C-term) | 100 μl | Polyclonal Antibodies |
|
$495.00 | Add Ask | ||
| 5 | Leading Biology | APR04349G | HECTD2 Antibody (N-term) | 100 μl | Polyclonal Antibodies |
|
$495.00 | Add Ask | ||
| 6 | Leading Biology | APR03502G | IGHG1 Antibody (Center) | 100 μl | Polyclonal Antibodies |
|
$495.00 | Add Ask |
Leading Biology Inc.
2600 Hilltop DR, Building G, B Suite C138
Richmond, CA, 94806
Tel: 1-661-524(LBI)-0262
Email: info@leadingbiology.com
Complete this form and click send to ask us a question, request a quote or simply say hello.

You have 0 item in your cart

You have 0 item in your inquiry list