> Antigen, Antibodies, ELISA, Western Blot > Primary Antibody > Polyclonal Antibodies > LPIN1 AntibodyBrand |
Leading Biology | Catalog Number |
APR08261G |
Product Type |
Polyclonal Antibodies | Field of Research |
|
Product Overview |
We constantly strive to ensure we provide our customers with the best antibodies. As a result of this work we offer this antibody in purified format.
We are in the process of updating our datasheets. If you have any questions regarding this update, please feel free to contact our technical support team.
This product is a high quality LPIN1 antibody.
|
||
Molecular Weight |
Predicted: 107 kDa Observed: 125 kDa
|
||
Cellular Localization |
Antigen Cellular Localization:
Nucleus membrane. Cytoplasm, cytosol. Endoplasmic reticulum membrane
|
||
Host |
Rabbit
|
||
Species Reactivity |
Human, Mouse, Rat
|
||
Target |
LPIN1; LPIN1 antibody is human and mouse reactive. At least four isoforms of LPIN1 are known to exist.
|
||
Isotype |
IgG
|
||
Symbol |
KIAA0188
|
||
GeneID |
|||
UniProt ID |
|||
Function |
Plays important roles in controlling the metabolism of fatty acids at differents levels. Acts as a magnesium-dependent phosphatidate phosphatase enzyme which catalyzes the conversion of phosphatidic acid to diacylglycerol during triglyceride, phosphatidylcholine and phosphatidylethanolamine biosynthesis in the reticulum endoplasmic membrane. Acts also as a nuclear transcriptional coactivator for PPARGC1A/PPARA to modulate lipid metabolism gene expression (By similarity). Is involved in adipocyte differentiation. May also be involved in mitochondrial fission by converting phosphatidic acid to diacylglycerol (By similarity).
|
||
Summary |
LPIN1 Antibody: LPIN1, also known as PAP1, is a magnesium-ion-dependent phosphatidic acid phosphohydrolase enzyme that catalyzes the penultimate step in triglyceride synthesis including the dephosphorylation of phosphatidic acid to yield diacylglycerol (reviewed in 1). LPIN1 is required for adipocyte differentiation and it also functions as a nuclear transcriptional coactivator with some peroxisome proliferator-activated receptors to modulate expression of other genes involved in lipid metabolism (1,2). Mutations in LPIN1 are associated with metabolic diseases such as type 2 diabetes and recurrent acute myoglobinuria (3,4) and it is also a candidate for several human lipodystrophy syndromes (5).
|
||
Form |
Liquid |
||
Storage & Stability |
Store at +4°C short term. For long-term storage, aliquot and store at -20°C or below. Stable for 12 months at -20°C. Avoid repeated freeze-thaw cycles.
|
||
Applications |
WB, IHC-P, IF, E
|
||
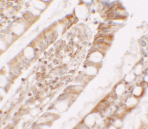
Images |
Western blot analysis of LPIN1 in K562 cell lysate with LPIN1 antibody at 1 μg/mL.
Immunohistochemistry of LPIN1 in human small intestine tissue with LPIN1 antibody at 5 μg/ml.
Immunofluorescence of LPIN1 in human small intestine tissue with LPIN1 antibody at 20 μg/ml. |
||
Specification |
|||
Quantity |
|
||
| Select | Brand | Catalog No. | Product Name | Pack Size | Type | Field of Research | Specification | Quantity | Price(USD) | |
| 1 | Leading Biology | APR03440G | ITGA11 Antibody (N-term) | 100 μl | Polyclonal Antibodies |
|
$495.00 | Add Ask | ||
| 2 | Leading Biology | APR04537G | CMIP Antibody (C-term) | 100 μl | Polyclonal Antibodies |
|
$495.00 | Add Ask | ||
| 3 | Leading Biology | APR12422G | Human H4 Histamine Receptor (extracellular) Antibody | 50 μl | Polyclonal Antibodies |
|
$695.00 | Add Ask | ||
| 4 | Leading Biology | APR03844G | UBE2W Antibody (C-term) | 100 μl | Polyclonal Antibodies |
|
$495.00 | Add Ask | ||
| 5 | Leading Biology | APR04349G | HECTD2 Antibody (N-term) | 100 μl | Polyclonal Antibodies |
|
$495.00 | Add Ask | ||
| 6 | Leading Biology | APR03502G | IGHG1 Antibody (Center) | 100 μl | Polyclonal Antibodies |
|
$495.00 | Add Ask |
Leading Biology Inc.
2600 Hilltop DR, Building G, B Suite C138
Richmond, CA, 94806
Tel: 1-661-524(LBI)-0262
Email: info@leadingbiology.com
Complete this form and click send to ask us a question, request a quote or simply say hello.

You have 0 item in your cart

You have 0 item in your inquiry list