> Antigen, Antibodies, ELISA, Western Blot > Primary Antibody > Polyclonal Antibodies > CCL2 AntibodyBrand |
Leading Biology | Catalog Number |
APG02471G |
Product Type |
Polyclonal Antibodies | Field of Research |
|
Product Overview |
We constantly strive to ensure we provide our customers with the best antibodies. As a result of this work we offer this antibody in purified format.
We are in the process of updating our datasheets. If you have any questions regarding this update, please feel free to contact our technical support team.
This product is a high quality CCL2 antibody.
|
||
Molecular Weight |
Predicted: 11 kDa
|
||
Cellular Localization |
Antigen Cellular Localization:
Secreted.
|
||
Host |
Rabbit
|
||
Species Reactivity |
Human, Mouse, Rat
|
||
Target |
CCL2;
|
||
Isotype |
IgG
|
||
Symbol |
MCP1, SCYA2
|
||
GeneID |
|||
UniProt ID |
|||
Function |
Chemotactic factor that attracts monocytes and basophils but not neutrophils or eosinophils. Augments monocyte anti-tumor activity. Has been implicated in the pathogenesis of diseases characterized by monocytic infiltrates, like psoriasis, rheumatoid arthritis or atherosclerosis. May be involved in the recruitment of monocytes into the arterial wall during the disease process of atherosclerosis.
|
||
Summary |
CCL2 Antibody: CCL2, also known as monocyte chemotactic protein 1 (MCP1), belongs to the intercrine beta (chemokine CC) family. It is produced by a variety of cell types and is a potent chemoattractant for monocytes, memory T lymphocytes, and natural killer (NK) cells. It is upregulated during infection and inflammation. CCL2 is a potent basophil activator but does not affect eosinophils, whereas the related protein MCP2 stimulates both eosinophils and basophils. MCP3 has been shown to have the broadest range of influence. CCL2 has been implicated in the pathogenesis of diseases characterized by monocytic infiltrates, like psoriasis, rheumatoid arthritis or atherosclerosis.
|
||
Form |
Liquid |
||
Storage & Stability |
Store at +4°C short term. For long-term storage, aliquot and store at -20°C or below. Stable for 12 months at -20°C. Avoid repeated freeze-thaw cycles.
|
||
Applications |
WB, IHC-P, IF, E
|
||
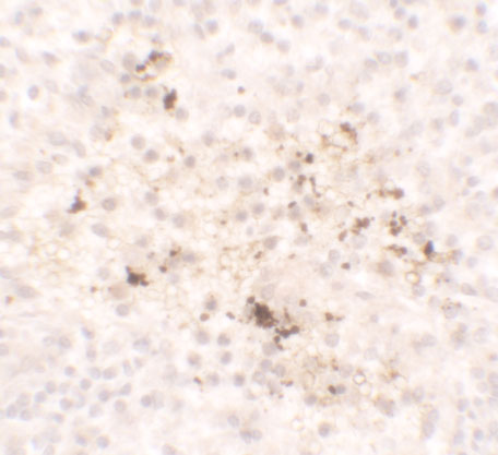
Images |
Western blot analysis of CCL2 in rat spleen tissue lysate with CCL2 antibody at 1 μg/mL.
Immunohistochemistry of CCL2 in spleen tissue with CCL2 antibody at 5 μg/ml.
Immunofluorescence of CCL2 in human spleen tissue with CCL2 antibody at 20 μg/ml. |
||
Specification |
|||
Quantity |
|
||
| Select | Brand | Catalog No. | Product Name | Pack Size | Type | Field of Research | Specification | Quantity | Price(USD) | |
| 1 | Leading Biology | APR03440G | ITGA11 Antibody (N-term) | 100 μl | Polyclonal Antibodies |
|
$495.00 | Add Ask | ||
| 2 | Leading Biology | APR04537G | CMIP Antibody (C-term) | 100 μl | Polyclonal Antibodies |
|
$495.00 | Add Ask | ||
| 3 | Leading Biology | APR12422G | Human H4 Histamine Receptor (extracellular) Antibody | 50 μl | Polyclonal Antibodies |
|
$695.00 | Add Ask | ||
| 4 | Leading Biology | APR03844G | UBE2W Antibody (C-term) | 100 μl | Polyclonal Antibodies |
|
$495.00 | Add Ask | ||
| 5 | Leading Biology | APR04349G | HECTD2 Antibody (N-term) | 100 μl | Polyclonal Antibodies |
|
$495.00 | Add Ask | ||
| 6 | Leading Biology | APR03502G | IGHG1 Antibody (Center) | 100 μl | Polyclonal Antibodies |
|
$495.00 | Add Ask |
Leading Biology Inc.
2600 Hilltop DR, Building G, B Suite C138
Richmond, CA, 94806
Tel: 1-661-524(LBI)-0262
Email: info@leadingbiology.com
Complete this form and click send to ask us a question, request a quote or simply say hello.

You have 0 item in your cart

You have 0 item in your inquiry list