> Antigen, Antibodies, ELISA, Western Blot > Primary Antibody > Polyclonal Antibodies > TMEM106B AntibodyBrand |
Leading Biology | Catalog Number |
APR13745G |
Product Type |
Polyclonal Antibodies | Field of Research |
|
Product Overview |
We constantly strive to ensure we provide our customers with the best antibodies. As a result of this work we offer this antibody in purified format.
We are in the process of updating our datasheets. If you have any questions regarding this update, please feel free to contact our technical support team.
This product is a high quality TMEM106B antibody.
|
||
Molecular Weight |
Predicted: 30 kDa Observed: 33 kDa
|
||
Cellular Localization |
Antigen Cellular Localization:
Late endosome membrane; Single-pass type II membrane protein. Lysosome membrane; Single-pass type II membrane protein
|
||
Host |
Rabbit
|
||
Species Reactivity |
Human
|
||
Target |
TMEM106B; This TMEM106B antibody is predicted to have no cross-reactivity to TMEM106A.
|
||
Isotype |
IgG
|
||
GeneID |
|||
UniProt ID |
|||
Function |
Involved in dendrite morphogenesis and maintenance by regulating lysosomal trafficking via its interaction with MAP6. May act by inhibiting retrograde transport of lysosomes along dendrites. Required for dendrite branching.
|
||
Summary |
TMEM106B Antibody: Transmembrane protein 106B (TMEM106B) is a single-pass transmembrane protein that is thought to be a novel risk factor for frontotemporal lobar degeneration (FTLD), a group of clinically, pathologically and genetically heterogeneous disorders associated with atrophy in the frontal lobe and temporal lobe of the brain. The actual role of TMEM106B, and that of the closely related protein TMEM106A are still undetermined.
|
||
Form |
Liquid |
||
Storage & Stability |
Store at +4°C short term. For long-term storage, aliquot and store at -20°C or below. Stable for 12 months at -20°C. Avoid repeated freeze-thaw cycles.
|
||
Applications |
WB, IHC-P, IF, E
|
||
Images |
Western blot analysis of TMEM106B in human brain tissue lysate with TMEM106B antibody at 1 μg/mL in (A) the absence and (B) the presence of blocking peptide.
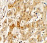
Immunohistochemistry of TMEM106B in human liver tissue with TMEM106B antibody at 2.5 μg/mL.
Immunofluorescence of TMEM106B in human liver tissue with TMEM106A antibody at 20 μg/mL. |
||
Specification |
|||
Quantity |
|
||
| Select | Brand | Catalog No. | Product Name | Pack Size | Type | Field of Research | Specification | Quantity | Price(USD) | |
| 1 | Leading Biology | APR03440G | ITGA11 Antibody (N-term) | 100 μl | Polyclonal Antibodies |
|
$495.00 | Add Ask | ||
| 2 | Leading Biology | APR04537G | CMIP Antibody (C-term) | 100 μl | Polyclonal Antibodies |
|
$495.00 | Add Ask | ||
| 3 | Leading Biology | APR12422G | Human H4 Histamine Receptor (extracellular) Antibody | 50 μl | Polyclonal Antibodies |
|
$695.00 | Add Ask | ||
| 4 | Leading Biology | APR03844G | UBE2W Antibody (C-term) | 100 μl | Polyclonal Antibodies |
|
$495.00 | Add Ask | ||
| 5 | Leading Biology | APR04349G | HECTD2 Antibody (N-term) | 100 μl | Polyclonal Antibodies |
|
$495.00 | Add Ask | ||
| 6 | Leading Biology | APR03502G | IGHG1 Antibody (Center) | 100 μl | Polyclonal Antibodies |
|
$495.00 | Add Ask |
Leading Biology Inc.
2600 Hilltop DR, Building G, B Suite C138
Richmond, CA, 94806
Tel: 1-661-524(LBI)-0262
Email: info@leadingbiology.com
Complete this form and click send to ask us a question, request a quote or simply say hello.

You have 0 item in your cart

You have 0 item in your inquiry list